Issue navigation
Volume 2020, Issue 7, July 2020
Case Report
Large mucinous cystic neoplasm of the pancreas during pregnancy: a case report
Lúcia Carvalho and others
Journal of Surgical Case Reports, Volume 2020, Issue 7, July 2020, rjaa085, https://doi.org/10.1093/jscr/rjaa085
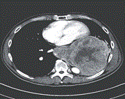
Posterior retroperitoneoscopic resection of recurrent nonseminomatous tumor mass: a case report of the surgical procedure
Çiğdem Öztürk and others
Journal of Surgical Case Reports, Volume 2020, Issue 7, July 2020, rjaa122, https://doi.org/10.1093/jscr/rjaa122
An unexpected diagnosis of paediatric subcutaneous sacrococcygeal extraspinal ependymoma: lessons learnt and review of the literature
Tanya Gupta and others
Journal of Surgical Case Reports, Volume 2020, Issue 7, July 2020, rjaa177, https://doi.org/10.1093/jscr/rjaa177
A real ball ache: a case report of acute pancreatitis with an unusual sequelae of events
Sabrina Brar and Carolina Watters
Journal of Surgical Case Reports, Volume 2020, Issue 7, July 2020, rjaa199, https://doi.org/10.1093/jscr/rjaa199
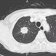
Unusual pulmonary vein variant in a patient with right upper lobe lung cancer
Rika Tobita and others
Journal of Surgical Case Reports, Volume 2020, Issue 7, July 2020, rjaa113, https://doi.org/10.1093/jscr/rjaa113
Seizure as the first manifestation of transitional cell carcinoma of the renal pelvis
Mohamad Moussa and others
Journal of Surgical Case Reports, Volume 2020, Issue 7, July 2020, rjaa126, https://doi.org/10.1093/jscr/rjaa126
A rare case of duplicated appendix presenting as perforated appendicitis
Ashwin Raja A and Tamilarasy Vasanthakumaran
Journal of Surgical Case Reports, Volume 2020, Issue 7, July 2020, rjaa133, https://doi.org/10.1093/jscr/rjaa133
Delayed presentation of a traumatic descending thoracic aorta aneurysm as an aorto-oesophageal fistula
Saifullah Mohamed and others
Journal of Surgical Case Reports, Volume 2020, Issue 7, July 2020, rjaa135, https://doi.org/10.1093/jscr/rjaa135
Osteosarcoma of the frontal bone: a study of a rare case in a 17-year-old female
Farah Mohanna and others
Journal of Surgical Case Reports, Volume 2020, Issue 7, July 2020, rjaa138, https://doi.org/10.1093/jscr/rjaa138
A rare case of signet ring cell carcinoma of the appendix
Shannon Caesar-Peterson and others
Journal of Surgical Case Reports, Volume 2020, Issue 7, July 2020, rjaa139, https://doi.org/10.1093/jscr/rjaa139
Chilaiditi syndrome: an unusual presentation in elderly man
Aqdas A Al Omran and others
Journal of Surgical Case Reports, Volume 2020, Issue 7, July 2020, rjaa141, https://doi.org/10.1093/jscr/rjaa141
Prophylaxis and treatment of acute and chronic postoperative inguinal pain (CPIP)—association of pain with compression neuropathy
René Gordon Holzheimer and Nikolai Gaschütz
Journal of Surgical Case Reports, Volume 2020, Issue 7, July 2020, rjaa143, https://doi.org/10.1093/jscr/rjaa143
Perianal basal cell carcinoma: a common cancer in an uncommon location
Edward R Hagen and others
Journal of Surgical Case Reports, Volume 2020, Issue 7, July 2020, rjaa151, https://doi.org/10.1093/jscr/rjaa151
Thoracoabdominal resection of giant malignant esophageal solitary fibrous tumor
Samuel Jacob and others
Journal of Surgical Case Reports, Volume 2020, Issue 7, July 2020, rjaa152, https://doi.org/10.1093/jscr/rjaa152
The use of dorsoradial forearm flap for the treatment of dorsal hand defect
Perçin Karakol and others
Journal of Surgical Case Reports, Volume 2020, Issue 7, July 2020, rjaa153, https://doi.org/10.1093/jscr/rjaa153
A unique case report of a high-pressure paint injection injury of the hand with associated carbapenemase resistant Pseudomonas aeruginosa infection
Kurt Barger and others
Journal of Surgical Case Reports, Volume 2020, Issue 7, July 2020, rjaa154, https://doi.org/10.1093/jscr/rjaa154
Pancreatic neuroendocrine tumor featuring growth into the main pancreatic duct and tumor thrombus within the splenic vein: a case report
Takashi Miyata and others
Journal of Surgical Case Reports, Volume 2020, Issue 7, July 2020, rjaa155, https://doi.org/10.1093/jscr/rjaa155
Colonic lavage in treatment of refractory Clostridium difficile infection: an adaptation of the Pittsburgh protocol
Maura Morgan and others
Journal of Surgical Case Reports, Volume 2020, Issue 7, July 2020, rjaa159, https://doi.org/10.1093/jscr/rjaa159
Closed traumatic avulsion of both ring finger flexors with successful primary repair more than 4 weeks after injury and a review of the literature
Miguel A Johnson and James Colville
Journal of Surgical Case Reports, Volume 2020, Issue 7, July 2020, rjaa160, https://doi.org/10.1093/jscr/rjaa160
Aspergillus-related lung mass masquerading as a lung tumour
Saifullah Mohamed and others
Journal of Surgical Case Reports, Volume 2020, Issue 7, July 2020, rjaa169, https://doi.org/10.1093/jscr/rjaa169
Indeterminate dendritic cell tumor in the pancreas
Rosita Sortino and others
Journal of Surgical Case Reports, Volume 2020, Issue 7, July 2020, rjaa208, https://doi.org/10.1093/jscr/rjaa208
Adrenocortical sarcomatoid carcinoma: a case report and review of the literature
Derqaoui Sabrine and others
Journal of Surgical Case Reports, Volume 2020, Issue 7, July 2020, rjaa211, https://doi.org/10.1093/jscr/rjaa211
A gastric duplication cyst incidentally discovered during an obesity surgery for a 55-year-old female: a rare case report from Syria
Marah Mansour and others
Journal of Surgical Case Reports, Volume 2020, Issue 7, July 2020, rjaa215, https://doi.org/10.1093/jscr/rjaa215
Type B aortic dissection repair using a Thoraflex hybrid prosthesis in a setting of aberrant left vertebral artery
Saifullah Mohamed and others
Journal of Surgical Case Reports, Volume 2020, Issue 7, July 2020, rjaa218, https://doi.org/10.1093/jscr/rjaa218
Spontaneous jejunoileal perforation as a manifestation of celiac disease—a rare entity: a case report
Alex Paul Guachilema Ribadeneira and others
Journal of Surgical Case Reports, Volume 2020, Issue 7, July 2020, rjaa219, https://doi.org/10.1093/jscr/rjaa219
Esophageal stent migration to the transverse colon, entrapped within a hiatal hernia status post esophagectomy
Mark E Mahan and others
Journal of Surgical Case Reports, Volume 2020, Issue 7, July 2020, rjaa221, https://doi.org/10.1093/jscr/rjaa221
Diagnosing gastric volvulus in chest X-ray: report of three cases
Narendra Pandit and others
Journal of Surgical Case Reports, Volume 2020, Issue 7, July 2020, rjaa229, https://doi.org/10.1093/jscr/rjaa229
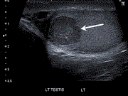
Loss of libido in a man with an incidental Leydig cell tumour of the testis: a rare tumour discovered following an isolated common complaint
Dominic Brown and Georgios Tsampoukas
Journal of Surgical Case Reports, Volume 2020, Issue 7, July 2020, rjaa241, https://doi.org/10.1093/jscr/rjaa241
Acute appendicitis with four appendicoliths: a first case report in the English literature
Patrick Lafleche and Yagan Pillay
Journal of Surgical Case Reports, Volume 2020, Issue 7, July 2020, rjaa173, https://doi.org/10.1093/jscr/rjaa173
Gastric outlet obstruction secondary to peptic ulcer disease, previously misdiagnosed as idiopathic hypertrophic pyloric stenosis in a 16-year-old girl: a case report
Yves Alain Notue and others
Journal of Surgical Case Reports, Volume 2020, Issue 7, July 2020, rjaa232, https://doi.org/10.1093/jscr/rjaa232
Tailgut cyst: from differential diagnosis to surgical resection—case report and literature review
Gustavo de Castro Gouveia and others
Journal of Surgical Case Reports, Volume 2020, Issue 7, July 2020, rjaa205, https://doi.org/10.1093/jscr/rjaa205
Operative consideration in patient with cryoglobulinaemia undergoing cardiac surgery with use of cardiopulmonary bypass
Saifullah Mohamed and others
Journal of Surgical Case Reports, Volume 2020, Issue 7, July 2020, rjaa214, https://doi.org/10.1093/jscr/rjaa214
Mucinous cystic neoplasm of the liver: a case report
John Yeh and Pranavan Palamuthusingam
Journal of Surgical Case Reports, Volume 2020, Issue 7, July 2020, rjaa220, https://doi.org/10.1093/jscr/rjaa220
Gastric heterotopia with perforation mimicking neoplastic process in ileum
Quinlan Carlson and others
Journal of Surgical Case Reports, Volume 2020, Issue 7, July 2020, rjaa224, https://doi.org/10.1093/jscr/rjaa224
Resection of a colonic mass following trauma: a diagnostic dilemma
Paul Burchard and Alan A Thomay
Journal of Surgical Case Reports, Volume 2020, Issue 7, July 2020, rjaa226, https://doi.org/10.1093/jscr/rjaa226
Diagnosis of primary osteosarcoma of the urinary bladder in a resource-limited setting: a case report and review of the literature
Alex Mremi and others
Journal of Surgical Case Reports, Volume 2020, Issue 7, July 2020, rjaa236, https://doi.org/10.1093/jscr/rjaa236
Thoracic aortic aneurysm causing aorto-esophageal fistula—our experience with a rare disease
Aakriti Yadav and others
Journal of Surgical Case Reports, Volume 2020, Issue 7, July 2020, rjaa242, https://doi.org/10.1093/jscr/rjaa242
Two bladders, two colons and two uteruses
Luke Geoghegan and others
Journal of Surgical Case Reports, Volume 2020, Issue 7, July 2020, rjaa260, https://doi.org/10.1093/jscr/rjaa260
Asymptomatic colonic intussusception in ulcerative colitis: a case report
Taro Tanabe and others
Journal of Surgical Case Reports, Volume 2020, Issue 7, July 2020, rjaa050, https://doi.org/10.1093/jscr/rjaa050
Multiple peritoneal dissemination of T2 colorectal cancer without lymph node metastases: a case report
Yosuke Namba and others
Journal of Surgical Case Reports, Volume 2020, Issue 7, July 2020, rjaa118, https://doi.org/10.1093/jscr/rjaa118
Minimally invasive approach to esophageal lipoma
Daniele Bernardi and others
Journal of Surgical Case Reports, Volume 2020, Issue 7, July 2020, rjaa123, https://doi.org/10.1093/jscr/rjaa123
Small bowel obstruction caused by 18FDG-negative ileocecal metastasis of lobular breast carcinoma
Jorn P Meekel and others
Journal of Surgical Case Reports, Volume 2020, Issue 7, July 2020, rjaa167, https://doi.org/10.1093/jscr/rjaa167
Xanthogranulomatous cholecystitis complicated by a cholecysto-colonic fistula and liver abscesses
Nolitha Morare and others
Journal of Surgical Case Reports, Volume 2020, Issue 7, July 2020, rjaa176, https://doi.org/10.1093/jscr/rjaa176
Cystic lymphangioma in adult: a case report and a review of the literature
Walter Colangeli and others
Journal of Surgical Case Reports, Volume 2020, Issue 7, July 2020, rjaa179, https://doi.org/10.1093/jscr/rjaa179
Unusual presentation of rare complication following endoscopic gastroplasty: case report
Awadh Alqahtani and Emad Aljohani
Journal of Surgical Case Reports, Volume 2020, Issue 7, July 2020, rjaa184, https://doi.org/10.1093/jscr/rjaa184
Ventricular septal perforation followed by papillary muscle rupture with acute myocardial infarction: efficacy of venoarterial extracorporeal membrane oxygenation
Ryohei Ushioda and others
Journal of Surgical Case Reports, Volume 2020, Issue 7, July 2020, rjaa188, https://doi.org/10.1093/jscr/rjaa188
Successful use of ligamentum teres hepatis for perforated duodenal ulcer following omentectomy: a case report
Yusuke Takahashi and others
Journal of Surgical Case Reports, Volume 2020, Issue 7, July 2020, rjaa196, https://doi.org/10.1093/jscr/rjaa196
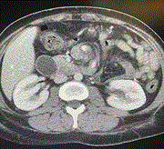
Pararenal aortic aneurysm in situs inversus totalis: open repair with right retroperitoneal approach
Emanuele Gatta and others
Journal of Surgical Case Reports, Volume 2020, Issue 7, July 2020, rjaa197, https://doi.org/10.1093/jscr/rjaa197
Metastatic pleural mesothelioma presenting initially as multiple gastric and colonic polyps
Ahmed Alhumidi and Abdulmalik Alqahtani
Journal of Surgical Case Reports, Volume 2020, Issue 7, July 2020, rjaa203, https://doi.org/10.1093/jscr/rjaa203
An unusual combination of persistent silent truncus arteriosus Type-II with ascending aortic aneurysm
Mohamed Farah Yusuf Mohamud and others
Journal of Surgical Case Reports, Volume 2020, Issue 7, July 2020, rjaa216, https://doi.org/10.1093/jscr/rjaa216
Repair of a recurrent symptomatic hernia through the foramen of Morgagni: a case study and review of the literature
Almog Ben-Yaacov and others
Journal of Surgical Case Reports, Volume 2020, Issue 7, July 2020, rjaa230, https://doi.org/10.1093/jscr/rjaa230
Right lumbar abscess containing a gallstone—an unexpected late complication of laparoscopic cholecystectomy
André Marçal and others
Journal of Surgical Case Reports, Volume 2020, Issue 7, July 2020, rjaa248, https://doi.org/10.1093/jscr/rjaa248
Laparoscopic sigmoidectomy for sigmoid colon cancer with left-sided inferior vena cava and persistent descending mesocolon
Masayo Kawakami and others
Journal of Surgical Case Reports, Volume 2020, Issue 7, July 2020, rjaa259, https://doi.org/10.1093/jscr/rjaa259
Advertisement
Advertisement