Issue navigation
Volume 2020, Issue 3, March 2020
Multiple concurrent complications of Roux-en-Y gastric bypass with MiniMizer gastric ring—alimentary limb intussusception through slipped ring into pouch, with remnant stomach internal herniation
Yao C Huang and David Mitchell
Journal of Surgical Case Reports, Volume 2020, Issue 3, March 2020, rjaa033, https://doi.org/10.1093/jscr/rjaa033
A novel technique for fabricating antibiotic-coated intramedullary nails using an antibiotic-loaded calcium sulphate hydroxyapatite bio-composite, Cerament-V
Anoop Anugraha and others
Journal of Surgical Case Reports, Volume 2020, Issue 3, March 2020, rjaa075, https://doi.org/10.1093/jscr/rjaa075
Case Report
Primary mesenchymal chondrosarcoma of the orbit in a young female: imaging and histopathological features
Lorenzo D’Alì and others
Journal of Surgical Case Reports, Volume 2020, Issue 3, March 2020, rjaa037, https://doi.org/10.1093/jscr/rjaa037
Surgical resection for advanced bisphosphonate-related osteonecrosis of the jaw associated with fibrous dysplasia: a case report
Yurika Murase and others
Journal of Surgical Case Reports, Volume 2020, Issue 3, March 2020, rjaa061, https://doi.org/10.1093/jscr/rjaa061
Thrombolysis for acute graft occlusion during elective endovascular aortic aneurysm repair
Jared M Wohlgemut and others
Journal of Surgical Case Reports, Volume 2020, Issue 3, March 2020, rjaa056, https://doi.org/10.1093/jscr/rjaa056
Primary mesenteric vein thrombosis: a case series
Roberto Marconato and others
Journal of Surgical Case Reports, Volume 2020, Issue 3, March 2020, rjaa016, https://doi.org/10.1093/jscr/rjaa016
The use of decompressive segmental sublaminoplasty to treat myelopathy caused by lumbar stenosis in tethered cord syndrome
Jeffrey M Breton and others
Journal of Surgical Case Reports, Volume 2020, Issue 3, March 2020, rjaa041, https://doi.org/10.1093/jscr/rjaa041
Traumatic arteriovenous fistula: a 25-year delay in presentation
Alexandra Stathis and John Gan
Journal of Surgical Case Reports, Volume 2020, Issue 3, March 2020, rjaa042, https://doi.org/10.1093/jscr/rjaa042
Gallbladder necrosis and small bowel ischaemia following fenestrated endovascular aneurysm repair for juxtarenal abdominal aortic aneurysm: a case report
Alvin Yuan Liang Ng and others
Journal of Surgical Case Reports, Volume 2020, Issue 3, March 2020, rjaa046, https://doi.org/10.1093/jscr/rjaa046
The CT gap sign, a case of failure to seat the polythene component in total ankle replacement (infinity)
Anoop Anugraha and others
Journal of Surgical Case Reports, Volume 2020, Issue 3, March 2020, rjz363, https://doi.org/10.1093/jscr/rjz363
Pulmonary artery banding for initial treatment of ventricular septal rupture
Yuta Koichi and others
Journal of Surgical Case Reports, Volume 2020, Issue 3, March 2020, rjaa010, https://doi.org/10.1093/jscr/rjaa010
Rare presentation of sepsis caused by necrotizing scalp infection
Katrina Tulla and others
Journal of Surgical Case Reports, Volume 2020, Issue 3, March 2020, rjaa024, https://doi.org/10.1093/jscr/rjaa024
Torsion of intestinal parasitic myoma after laparoscopic morcellation: a case report
Sofoudis Chrisostomos and others
Journal of Surgical Case Reports, Volume 2020, Issue 3, March 2020, rjaa032, https://doi.org/10.1093/jscr/rjaa032
Presentation and management of IVC and iliac vein encroachment by lumbar pedicle screws: a case-report
Keith George and others
Journal of Surgical Case Reports, Volume 2020, Issue 3, March 2020, rjaa040, https://doi.org/10.1093/jscr/rjaa040
Fumarase-deficient uterine leiomyoma: a case of a rare entity and surgical innovation
Hong Lee and others
Journal of Surgical Case Reports, Volume 2020, Issue 3, March 2020, rjaa044, https://doi.org/10.1093/jscr/rjaa044
A case of successful surgical management of primary retroperitoneal mucinous cystadenoma
Zeeshan Afzal and others
Journal of Surgical Case Reports, Volume 2020, Issue 3, March 2020, rjaa045, https://doi.org/10.1093/jscr/rjaa045
Parapharyngeal schwannoma—a challenging case report
Ângela Ferreira and others
Journal of Surgical Case Reports, Volume 2020, Issue 3, March 2020, rjaa048, https://doi.org/10.1093/jscr/rjaa048
Transmesocolon internal hernia masking as simple sigmoid volvulus
Han N Beh and others
Journal of Surgical Case Reports, Volume 2020, Issue 3, March 2020, rjaa017, https://doi.org/10.1093/jscr/rjaa017
Massive megarectum secondary to constipation in institutionalized patient
Dawit Ayalew and others
Journal of Surgical Case Reports, Volume 2020, Issue 3, March 2020, rjaa047, https://doi.org/10.1093/jscr/rjaa047
Intersphincteric epidermoid inclusion cyst: report of a rare case
James Ashcroft and others
Journal of Surgical Case Reports, Volume 2020, Issue 3, March 2020, rjaa004, https://doi.org/10.1093/jscr/rjaa004
Paraduodenal mass as initial presentation of burned-out testicular tumour: case report and literature review
Miguel Almeida and others
Journal of Surgical Case Reports, Volume 2020, Issue 3, March 2020, rjaa006, https://doi.org/10.1093/jscr/rjaa006
Bilateral giant inguinoscrotal hernia. Presentation of a novel combined two-stage repair approach
Charalambos Menenakos and others
Journal of Surgical Case Reports, Volume 2020, Issue 3, March 2020, rjaa012, https://doi.org/10.1093/jscr/rjaa012
Adhesive small bowel obstruction in pregnancy and the use of oral contrast media: a case report
Rachel Robertson and Linus Wu
Journal of Surgical Case Reports, Volume 2020, Issue 3, March 2020, rjaa018, https://doi.org/10.1093/jscr/rjaa018
Angioleiomyoma presenting as a lateral neck lump: a diagnostic dilemma
Tyson A Moore and others
Journal of Surgical Case Reports, Volume 2020, Issue 3, March 2020, rjaa021, https://doi.org/10.1093/jscr/rjaa021
A case of peeping testis moving from the inguinal position into the abdomen
Yukihiro Tatekawa
Journal of Surgical Case Reports, Volume 2020, Issue 3, March 2020, rjaa027, https://doi.org/10.1093/jscr/rjaa027
A unique case of a double common bile duct with ectopic drainage into the gastric antrum: a case report and review of the literature on double duct variants
Li Lian Kuan and others
Journal of Surgical Case Reports, Volume 2020, Issue 3, March 2020, rjaa028, https://doi.org/10.1093/jscr/rjaa028
A bael (Aegle marmelos) in rectum presenting with bowel obstruction in an elderly man
Mahendra Pratap Singh and others
Journal of Surgical Case Reports, Volume 2020, Issue 3, March 2020, rjaa043, https://doi.org/10.1093/jscr/rjaa043
Subcutaneous emphysema and hypercarbia as a complication of laparoscopic procedure: case report
Sadal K Aldakhil and others
Journal of Surgical Case Reports, Volume 2020, Issue 3, March 2020, rjz415, https://doi.org/10.1093/jscr/rjz415
A rare case of a closed loop obstruction due to epiploic appendage of the sigmoid colon
Rathin Gosavi and Ee Ban
Journal of Surgical Case Reports, Volume 2020, Issue 3, March 2020, rjaa008, https://doi.org/10.1093/jscr/rjaa008
Dynamic myelopathy as a result of C1 posterior arch aplasia and os odontoideum. A case report
Wen Jie Choy and others
Journal of Surgical Case Reports, Volume 2020, Issue 3, March 2020, rjaa019, https://doi.org/10.1093/jscr/rjaa019
A benign, low-grade myofibroblastic lesion mimicking a sarcoma
Veena Abigale Patel and others
Journal of Surgical Case Reports, Volume 2020, Issue 3, March 2020, rjaa020, https://doi.org/10.1093/jscr/rjaa020
Neuroma of the appendix, a rare cause of appendicitis and an important reason for close follow-up
Gabriel A Molina and others
Journal of Surgical Case Reports, Volume 2020, Issue 3, March 2020, rjaa023, https://doi.org/10.1093/jscr/rjaa023
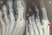
A case report of osteochondritis dissecans of the first metatarsophalangeal joint treated with autologous cancellous bone and chondral flap reconstruction
Ioannis Delniotis and Benedikt Leidinger
Journal of Surgical Case Reports, Volume 2020, Issue 3, March 2020, rjaa026, https://doi.org/10.1093/jscr/rjaa026
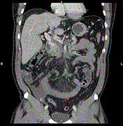
Internal herniation of the caecum and the ascending colon through the foramen of Winslow
Mina Azer and others
Journal of Surgical Case Reports, Volume 2020, Issue 3, March 2020, rjaa029, https://doi.org/10.1093/jscr/rjaa029
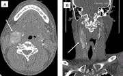
A multidisciplinary approach to carotid body tumors surgical management
David Fan and others
Journal of Surgical Case Reports, Volume 2020, Issue 3, March 2020, rjaa030, https://doi.org/10.1093/jscr/rjaa030
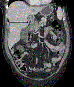
Internal double omental hernia: a rare cause of acute abdomen
André C Pacheco and others
Journal of Surgical Case Reports, Volume 2020, Issue 3, March 2020, rjaa038, https://doi.org/10.1093/jscr/rjaa038
Duodenal neuroendocrine tumour in a young patient with von Recklinghausen disease
Cláudia Leite and others
Journal of Surgical Case Reports, Volume 2020, Issue 3, March 2020, rjaa039, https://doi.org/10.1093/jscr/rjaa039
Severe heterotopic ossification post total knee arthroplasty in a patient with rheumatoid arthritis: a case report
Abdullah A Alturki and others
Journal of Surgical Case Reports, Volume 2020, Issue 3, March 2020, rjz390, https://doi.org/10.1093/jscr/rjz390
Advertisement
Advertisement