Issue navigation
Volume 2019, Issue 1, January 2019
Case Reports
Testicular necrosis due to complicated epididymitis and ruptured sperm granuloma in a 13-year-old boy
Konstantinos Velaoras and others
Journal of Surgical Case Reports, Volume 2019, Issue 1, January 2019, rjy349, https://doi.org/10.1093/jscr/rjy349
Small bowel obstruction due to internal hernia through sigmoid epiploica
Eugene Wang and others
Journal of Surgical Case Reports, Volume 2019, Issue 1, January 2019, rjy342, https://doi.org/10.1093/jscr/rjy342
Primary hydatid cyst localized in soft tissue during pregnancy
Ahmet Akbaş and others
Journal of Surgical Case Reports, Volume 2019, Issue 1, January 2019, rjy324, https://doi.org/10.1093/jscr/rjy324
A nail in the appendix, accidental discovery on an asymptomatic patient
Jaime M Cevallos and others
Journal of Surgical Case Reports, Volume 2019, Issue 1, January 2019, rjy335, https://doi.org/10.1093/jscr/rjy335
Complete duplication of left and right external iliac vein: two case reports and review of the literature
Burak Sezgin and others
Journal of Surgical Case Reports, Volume 2019, Issue 1, January 2019, rjy343, https://doi.org/10.1093/jscr/rjy343
Madelung’s disease: long-term follow-up
Motomu Suito and others
Journal of Surgical Case Reports, Volume 2019, Issue 1, January 2019, rjy356, https://doi.org/10.1093/jscr/rjy356
Spontaneous regression as a ‘burned-out’ non-seminomatous testicular germ cell tumor: a case report and literature review
Rita Dorantes-Heredia and others
Journal of Surgical Case Reports, Volume 2019, Issue 1, January 2019, rjy358, https://doi.org/10.1093/jscr/rjy358
Literature review and case series of haemorrhagic cholecystitis
M Tarazi and others
Journal of Surgical Case Reports, Volume 2019, Issue 1, January 2019, rjy360, https://doi.org/10.1093/jscr/rjy360
Colonic lymphangioma presenting with intermittent pain and intussusception
Mark M G Ly and others
Journal of Surgical Case Reports, Volume 2019, Issue 1, January 2019, rjy336, https://doi.org/10.1093/jscr/rjy336
Is pneumatosis cystoides intestinalis a lymphatic pathology?: A case of small bowel lymphangioma and subsequent development of pneumatosis cystoides intestinalis in a 57-year-old female
Emily Harris and Giovanni Giannotti
Journal of Surgical Case Reports, Volume 2019, Issue 1, January 2019, rjy334, https://doi.org/10.1093/jscr/rjy334
Adenoid cystic carcinoma of the breast
Devon N Thomas and others
Journal of Surgical Case Reports, Volume 2019, Issue 1, January 2019, rjy355, https://doi.org/10.1093/jscr/rjy355
Aberrant mediastinal trunk of pulmonary artery
Shinsuke Uchida and others
Journal of Surgical Case Reports, Volume 2019, Issue 1, January 2019, rjy359, https://doi.org/10.1093/jscr/rjy359
Benign multicystic mesothelioma arising from the tunica vaginalis
Andrew Lang and Preeti Chaudhri
Journal of Surgical Case Reports, Volume 2019, Issue 1, January 2019, rjy361, https://doi.org/10.1093/jscr/rjy361
ELITE: a diode laser minimal invasive technique for hemorrhoids during the surgical treatment for anal fissure
George Bachtsetzis and others
Journal of Surgical Case Reports, Volume 2019, Issue 1, January 2019, rjy363, https://doi.org/10.1093/jscr/rjy363
Chylothorax secondary to a pleuroperitoneal communication and chylous ascites after pancreatic resection
Kazuki Hayashi and others
Journal of Surgical Case Reports, Volume 2019, Issue 1, January 2019, rjy364, https://doi.org/10.1093/jscr/rjy364
Mantle cell lymphoma—rare differential diagnosis of a tumor in the vermiform appendix
Stephanie Taha-Mehlitz and others
Journal of Surgical Case Reports, Volume 2019, Issue 1, January 2019, rjy367, https://doi.org/10.1093/jscr/rjy367
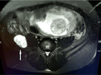
Giant mesenteric cyst from the small bowel mesentery in a young adult patient
S Vicente Aguirre and others
Journal of Surgical Case Reports, Volume 2019, Issue 1, January 2019, rjz002, https://doi.org/10.1093/jscr/rjz002
Perforation of Meckel's diverticulum by a swallowed fish bone: case report and literature review
Bruno Santos and others
Journal of Surgical Case Reports, Volume 2019, Issue 1, January 2019, rjz003, https://doi.org/10.1093/jscr/rjz003
Incidental discovery of follicular lymphoma by sentinel lymph node biopsy and skin-sparing mastectomy for Paget’s disease associated with invasive breast cancer
Atsushi Fushimi and others
Journal of Surgical Case Reports, Volume 2019, Issue 1, January 2019, rjz008, https://doi.org/10.1093/jscr/rjz008
Rare occurrence of small bowel volvulus following laparoscopic appendicectomy for perforated appendicitis
Shrenik Hegde and others
Journal of Surgical Case Reports, Volume 2019, Issue 1, January 2019, rjz009, https://doi.org/10.1093/jscr/rjz009
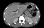
Unclassified autoimmune pancreatitis mimicking pancreatic cancer
Rui Marinho and others
Journal of Surgical Case Reports, Volume 2019, Issue 1, January 2019, rjy340, https://doi.org/10.1093/jscr/rjy340
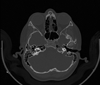
A tale of 1 year: a case of bilateral conductive hearing loss due to bilateral ossicular chain disruption post head trauma
Mariam Aljehani and Mansour Alshamani
Journal of Surgical Case Reports, Volume 2019, Issue 1, January 2019, rjy353, https://doi.org/10.1093/jscr/rjy353
A novel case of late left ventricular outflow tract obstruction post mitral valve surgery
Andrew Jones and Steven Livesey
Journal of Surgical Case Reports, Volume 2019, Issue 1, January 2019, rjy357, https://doi.org/10.1093/jscr/rjy357
Myogenic fibrosis of the flexor tendons after amphetamine drug abuse
Stefan Tserovski and others
Journal of Surgical Case Reports, Volume 2019, Issue 1, January 2019, rjy366, https://doi.org/10.1093/jscr/rjy366
Small bowel intussusception and concurrent sigmoid polyp with malignant transformation in Peutz–Jeghers syndrome
Maidah Algarni and others
Journal of Surgical Case Reports, Volume 2019, Issue 1, January 2019, rjz004, https://doi.org/10.1093/jscr/rjz004
Jejunal diverticulitis
Haley Prough and others
Journal of Surgical Case Reports, Volume 2019, Issue 1, January 2019, rjz005, https://doi.org/10.1093/jscr/rjz005
Combination of laparoscopy and endoscopy as an option for treatment patients with gastric neuroendocrine tumors
A G Kriger and others
Journal of Surgical Case Reports, Volume 2019, Issue 1, January 2019, rjz007, https://doi.org/10.1093/jscr/rjz007
Anterior mediastinal mass 4 years after type A aortic dissection
Alison Wallace and others
Journal of Surgical Case Reports, Volume 2019, Issue 1, January 2019, rjz010, https://doi.org/10.1093/jscr/rjz010
Proceed or palliate: Surgicel® mimicking tumor recurrence and causing a small bowel obstruction
Jacqueline Bakhit and others
Journal of Surgical Case Reports, Volume 2019, Issue 1, January 2019, rjz012, https://doi.org/10.1093/jscr/rjz012
Coexistence of intracranial solitary fibrous tumor/hemangiopericytoma and right middle cerebral artery aneurysm
Chi-Man Yip and others
Journal of Surgical Case Reports, Volume 2019, Issue 1, January 2019, rjz013, https://doi.org/10.1093/jscr/rjz013
Advertisement
Advertisement