-
PDF
- Split View
-
Views
-
Cite
Cite
Shrenik Hegde, Preet Gosal, Rajith Amaratunga, Neil Meulman, Rare occurrence of small bowel volvulus following laparoscopic appendicectomy for perforated appendicitis, Journal of Surgical Case Reports, Volume 2019, Issue 1, January 2019, rjz009, https://doi.org/10.1093/jscr/rjz009
Close - Share Icon Share
Abstract
Intestinal volvulus is a rare complication following laparoscopic surgery. We present the case of a young boy who had developed a small bowel obstruction following laparoscopic appendicectomy for perforated appendicitis. He had no evidence of any congenital malrotation on initial laparoscopy, yet was subsequently found to have a midgut volvulus requiring emergency laparotomy. No resection was required and subsequent convalescence was uncomplicated. This case highlights the importance of recognition of this uncommon but potential early complication of laparoscopy that warrants urgent surgical intervention.
INTRODUCTION
Small bowel volvulus is well documented in the paediatric population as being associated with congenital malrotation. It is estimated that 1 in 6000 live births result in symptomatic malrotation [1]. Laparoscopic appendicectomy is a common general surgical operation often preferred due to reduced pain, shorter recovery time and improved cosmesis [2], however, infrequent life threatening complications do exist. Small bowel volvulus following recent laparoscopy, in the absence of congenital malrotation or history of previous surgery is exceedingly rare and its predisposing factors are still unknown. We present a case of small bowel volvulus in a young boy following laparoscopic appendicectomy.
CASE REPORT
A 10-year-old boy presented unwell with generalized peritonitis after 3 days of abdominal pain, nausea and anorexia. He had a low-grade fever but all other vitals were within normal limits. Blood tests showed a raised white cell count of 16 × 109 with neutrophilia and raised C-Reactive Protein of 127 mg/l. Laparoscopy revealed generalized purulent peritonitis secondary to perforated appendicitis. Appendicectomy was performed and the appendiceal stump was secured. Lavage of the abdomen was performed with a minimum of four litres of warmed normal saline. Fluid was suctioned, an abdominal drain was placed and the pneumoperitoneum was deflated. By the second postoperative day, he developed an ileus with persistent vomiting (Fig. 1). This was managed conservatively with nasogastric intubation, bowel rest, electrolyte replacement and fluid therapy. It became clear by the fifth postoperative day that the patient had intestinal obstruction. On examination, he had a distended abdomen, with intractable nausea and vomiting. Blood tests revealed a normal white cell count and potassium remained at 3.3 despite supplemental intravenous replacement. Abdominal X-ray revealed a small bowel obstruction and he was taken back to theatre for an emergency laparotomy (Figs 2 and 3). A small bowel volvulus was discovered, with no evidence of intestinal malrotation. The volvulus involved a segment of distal jejunum to proximal ileum causing complete small bowel obstruction.

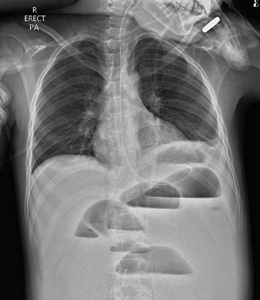
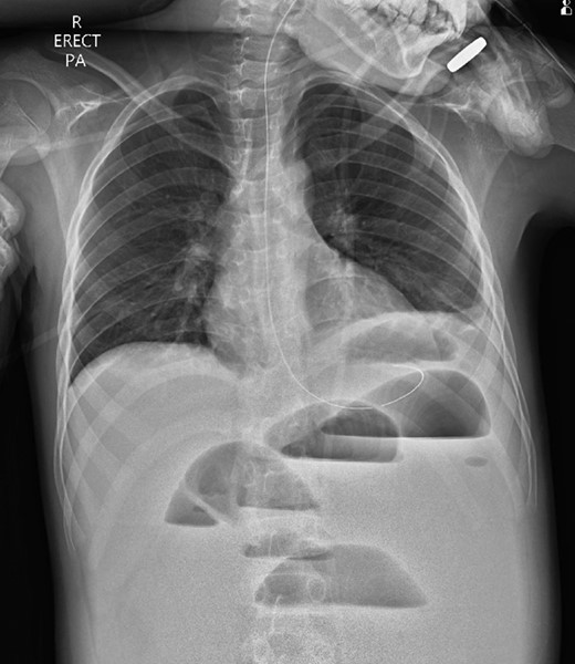
Erect chest radiograph on postoperative day 2 suggestive of small bowel ileus.

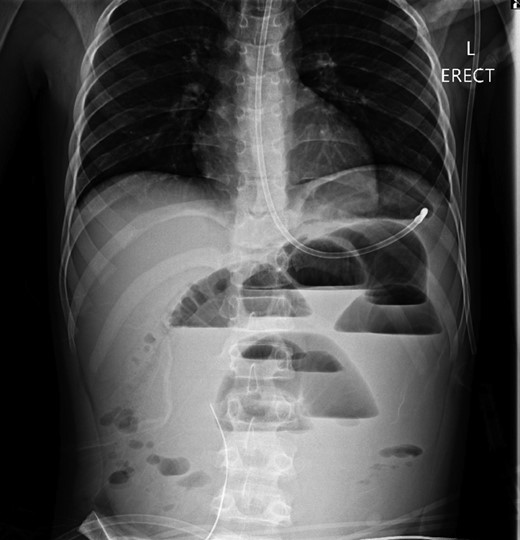
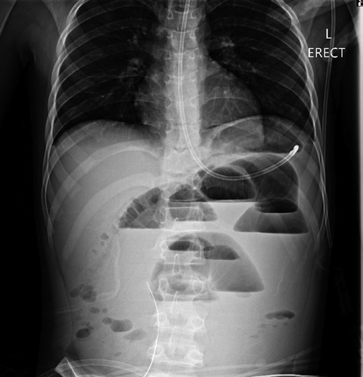
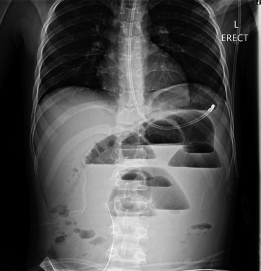
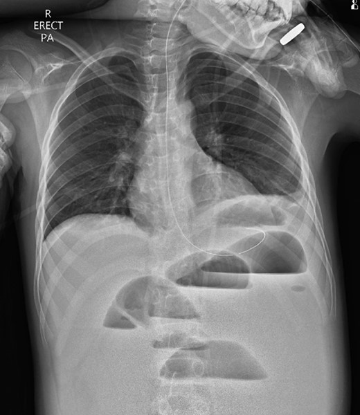
Erect chest radiograph on day 5 more consistent with small bowel obstruction.

Supine abdominal radiograph on day 5 showing dilated small bowel loops with no bowel gas evident in the colon.
There was no short mesenteric root, no features of ongoing infection and no intra-operative finding to explain the cause of the volvulus. Detorsion of the volvulus was performed and the small bowel appeared viable. An enterotomy was made to decompress the bowel followed by stapled closure and oversew of the staple line. An enteropexy was not performed. Post-operatively, he recovered well and passed a bowel motion on the third postoperative day.
DISCUSSION
This case presents a rare short-term complication of laparoscopy with small bowel obstruction from mid-gut volvulus in the absence of congenital malrotation. In the early postoperative period, there were multiple components to the nausea and vomiting experienced in our patient. This includes side effects from multiple opioid analgesics, intravenous antibiotics as well as an expected period of paralytic ileus. Regular clinical review and serial chest and abdominal radiographs were key in diagnosing small bowel obstruction requiring operative intervention. Similar cases are scarcely reported in the literature. Cuadra et al. [3] reported a case in an older 30-year-old gentleman who developed a small bowel volvulus, without congenital malrotation, eight days after laparoscopic appendicectomy. Al Beteddini et al. [4] described small bowel volvulus in a 17-year-old girl on the third postoperative day after laparoscopic appendicectomy for acute appendicitis. The 10-year-old boy in our case had clinical and radiological intestinal obstruction by the fifth postoperative day, which seems in line with the other reported cases. Mecedo and Velhote [5] reported a case where a 13-year-old boy developed obstruction on the second postoperative day following laparoscopic appendicectomy. In this case, however, laparoscopy revealed volvulus of the terminal ileum with associated necrosis of bowel requiring resection. In addition to congenital malrotation and a history of previous surgery, Ferguson et al. [6] proposed that patient positioning, inclination, bowel mobilization and changes in pneumoperitoneum are suggested aetiological factors for intestinal volvulus after laparoscopy. They published a literature review in 2008 incorporating 12 laparoscopic cases, of which only 3 were following laparoscopic appendicectomy. Although the aforementioned intra-operative factors are suggested to contribute to the risk of developing small bowel volvulus after laparoscopy, there is no definitive evidence to support this. The exact mechanism of volvulus in this context is still not known and continued review of similar cases may help to delineate its aetiology. Despite the rare occurrence of postoperative intestinal volvulus, laparoscopic appendicectomy remains one of the most commonly performed general surgical operations. This case therefore highlights the importance of early recognition of small bowel volvulus. We recommend repeated clinical review and a low threshold for investigation to allow prompt surgical intervention.
Conflict of Interest statement
The authors declare no conflict of interest.