Issue navigation
Volume 2016, Issue 11, November 2016
Case Reports
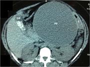
Gastric glomus tumor
Alexandria Papadelis and others
Journal of Surgical Case Reports, Volume 2016, Issue 11, November 2016, rjw183, https://doi.org/10.1093/jscr/rjw183
An unusual presentation of a rare disease: posterior reversible encephalopathy syndrome following abdominal sepsis
Carly R.N. Richards and others
Journal of Surgical Case Reports, Volume 2016, Issue 11, November 2016, rjw184, https://doi.org/10.1093/jscr/rjw184
Case report: successful open resection of a symptomatic giant liver haemangioma during the second trimester of pregnancy
Angus Hann and others
Journal of Surgical Case Reports, Volume 2016, Issue 11, November 2016, rjw185, https://doi.org/10.1093/jscr/rjw185
Inferior vena caval filter strut perforation causing intramural duodenal haematoma
Zoheb Berry Williams and others
Journal of Surgical Case Reports, Volume 2016, Issue 11, November 2016, rjw170, https://doi.org/10.1093/jscr/rjw170
Case report: imaging the clinical course of FOPE—a cause of adolescent knee pain
Thomas Bochmann and others
Journal of Surgical Case Reports, Volume 2016, Issue 11, November 2016, rjw178, https://doi.org/10.1093/jscr/rjw178
First case of penile metastasis following abdominoperineal resection with VRAM flap reconstruction
Andrei A. Kozan and others
Journal of Surgical Case Reports, Volume 2016, Issue 11, November 2016, rjw182, https://doi.org/10.1093/jscr/rjw182
An unusual site of metastasis: splenic metastastasis from a colon cancer
Boubacar Efared and others
Journal of Surgical Case Reports, Volume 2016, Issue 11, November 2016, rjw175, https://doi.org/10.1093/jscr/rjw175
Pancreatic pseudocyst: combined single incision laparoscopic cystogastrostomy and cholecystectomy in a resource poor setting
Yardesh Singh and others
Journal of Surgical Case Reports, Volume 2016, Issue 11, November 2016, rjw176, https://doi.org/10.1093/jscr/rjw176
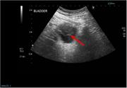
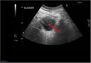
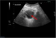
Inflammatory myofibroblastic tumour of the urinary bladder managed with partial cystectomy: a case report & literature review
Nkwam Nkwam and others
Journal of Surgical Case Reports, Volume 2016, Issue 11, November 2016, rjw181, https://doi.org/10.1093/jscr/rjw181
A case of primary intracardiac yolk sac tumour with extracardiac extension
Moosa Kunhi and others
Journal of Surgical Case Reports, Volume 2016, Issue 11, November 2016, rjw187, https://doi.org/10.1093/jscr/rjw187
Insulinoma or non-insulinoma pancreatogenous hypoglycemia? A diagnostic dilemma
Blaire Anderson and others
Journal of Surgical Case Reports, Volume 2016, Issue 11, November 2016, rjw188, https://doi.org/10.1093/jscr/rjw188
Massive seminoma presenting with inguinal lymph node metastases only
Benjamin C Norton and others
Journal of Surgical Case Reports, Volume 2016, Issue 11, November 2016, rjw177, https://doi.org/10.1093/jscr/rjw177
Large primary leiomyoma causing progressive cervical deformity
Amro Al-Habib and others
Journal of Surgical Case Reports, Volume 2016, Issue 11, November 2016, rjw190, https://doi.org/10.1093/jscr/rjw190
Epididymal papillary cystadenocarcinoma metastasising to the testis in a patient with infertility managed with Onco-microTeSE
Nisha Pindoria and others
Journal of Surgical Case Reports, Volume 2016, Issue 11, November 2016, rjw191, https://doi.org/10.1093/jscr/rjw191
Spontaneous proximal ureteric rupture secondary to ureterolithiasis
Keith Pace and others
Journal of Surgical Case Reports, Volume 2016, Issue 11, November 2016, rjw192, https://doi.org/10.1093/jscr/rjw192
Primary ectopic breast carcinoma of the axilla in a male patient
Daniel Ching and Giles Davies
Journal of Surgical Case Reports, Volume 2016, Issue 11, November 2016, rjw193, https://doi.org/10.1093/jscr/rjw193
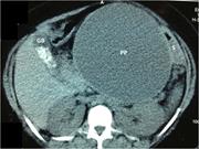
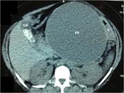
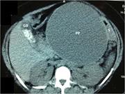
Rare liver tumor: symptomatic giant von Meyenburg complex
Yardesh Singh and others
Journal of Surgical Case Reports, Volume 2016, Issue 11, November 2016, rjw195, https://doi.org/10.1093/jscr/rjw195
Severe cervical spondylotic myelopathy with complete neurological and neuroradiological recovery within a month after surgery
Theologou Marios and others
Journal of Surgical Case Reports, Volume 2016, Issue 11, November 2016, rjw202, https://doi.org/10.1093/jscr/rjw202
Intra-abdominal myositis ossificans in an asymptomatic patient during closure of a Hartmann's colostomy
Georgios Sahsamanis and others
Journal of Surgical Case Reports, Volume 2016, Issue 11, November 2016, rjw203, https://doi.org/10.1093/jscr/rjw203
Uncommon cause for ileocolic fistulation and caecal perforation following multiple magnet ingestion in an adult
Dave Fok Nam Fung and Venkatesh Shanmugam
Journal of Surgical Case Reports, Volume 2016, Issue 11, November 2016, rjw204, https://doi.org/10.1093/jscr/rjw204
A pituitary tumour with an unexpected cause
Duncan Henderson and others
Journal of Surgical Case Reports, Volume 2016, Issue 11, November 2016, rjw196, https://doi.org/10.1093/jscr/rjw196
A rare case of extensive cranial Langerhans cell histiocytosis, synchronously presenting as otitis externa and giant cell arteritis
Adnan Darr and others
Journal of Surgical Case Reports, Volume 2016, Issue 11, November 2016, rjw094, https://doi.org/10.1093/jscr/rjw094
L-shaped mini-sternotomy combined with videoscopic approach for thymoma with invasion of major veins
Atsushi Suga and others
Journal of Surgical Case Reports, Volume 2016, Issue 11, November 2016, rjw199, https://doi.org/10.1093/jscr/rjw199
Innovation in Surgery
Technical note: rapid, large-volume resuscitation at resuscitative thoracotomy by intra-cardiac catheterization
Shamir O Cawich and Vijay Naraynsingh
Journal of Surgical Case Reports, Volume 2016, Issue 11, November 2016, rjw189, https://doi.org/10.1093/jscr/rjw189
Advertisement
Advertisement


