-
PDF
- Split View
-
Views
-
Cite
Cite
Boubacar Efared, Asmae Mazti, Gabrielle Atsame-Ebang, Layla Tahiri, Hicham El Bouhaddouti, Nawal Hammas, Hind El Fatemi, Laila Chbani, An unusual site of metastasis: splenic metastastasis from a colon cancer, Journal of Surgical Case Reports, Volume 2016, Issue 11, November 2016, rjw175, https://doi.org/10.1093/jscr/rjw175
Close - Share Icon Share
Abstract
Splenic metastasis from colorectal cancers is a very rare occurrence. Few cases have been reported in the literature. We report herein an additionnal case of metachronous splenic metastasis from adenocarcinoma of the sigmoid colon, 3 years after the diagnosis of the primary tumor. A 62-year old woman presented for regular follow-up after colectomy for sigmoid colon adenocarcinoma. A computed tomography-scan found two splenic metastatic nodules for which splenectomy had been performed. The histological analysis of the resected spleen showed a well-differentiated metastatic adenocarcinoma from colon. The patient recovered well after surgery, and 10 months after, she had no signs of the disease.
INTRODUCTION
Splenic secondary tumors are very rare, few datas are available in the literature regarding their clinical and biological behavior [1]. The main primary sites of these tumors are breast, lung, skin, ovary or colon/rectum [2, 3]. Metastasis from colon are very uncommon, and the left colon is usually the source of these tumors [1–3]. Despite its rich vasculature, the spleen is very rarely involved by metastasis. The explanation to this uncommon property is unclear, but the particular anatomical and immunological features of the spleen may be the reason of the rarity of splenic secondary tumors [2, 4].
CASE PRESENTATION
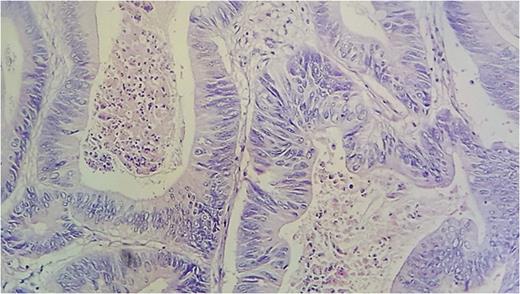
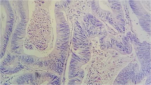
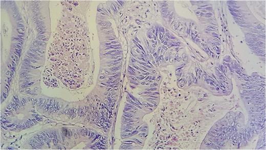
A 59-year-old wowan was referred for intestinal occlusion for 2 days. She had a history of appendicectomy. The computed tomography (CT)-scan found an obstructed colon, above a wall-thickening of the sigmoid colon. A colonoscopy was performed and showed an ulcerated and budding tumor located in the sigmoid colon, and an ulcerated stenosis in the coecum. But, after the colonoscopy, the patient presented with abdominal pain and tenderness, consistent with peritonitis due to perforation of the tumor; she underwent emergency ileostomy. After that, ileocolectomy has been performed. Histopathological examination of the specimen revealed a well-differentiad adenocarcinoma of the sigmoid, perforating the serosa (pT4), with perineural invasion. The margins were negative, two lymph nodes of the 12, were invaded by the tumor. Therefore, the tumor was classified, stage IIIC (pT4bN1b, AJCC 2009). The patient has been discharged from hospital and adjuvant chemotherapy (Capecitabine) was prescribed for her. The laparascopic reversal has been performed few months later. Three years later, a CT-scan performed during a follow-up found two nodules in the spleen, the first was located in the superior pole measuring 37 × 32 mm2 ; the other nodule was located in the middle part of the spleen, and measured 22 × 18 mm2 ; there was no other suspected location. Splenectomy for metastastatic colon cancer has been decided. The resected spleen measured 15 × 9 × 3 cm3, with two round subcapsular whitish tumors, respectively in the upper pole and in the hilum, 6 × 6 × 4 cm3 and 3 × 3 × 2 cm3 in dimension (Fig. 1). The histological examination found that these nodules are metastasis from a well-differentiated adenocarcinoma of the colon, without any capsular invasion. The tumor was composed of large glands lined by irregular columnar cells with eosinophilic abondant cytoplasm. Large focis of necrosis in the lumen of the tumoral glands were seen (Figs 2 and 3). The patient recovered well after surgery, and a pseudo-adjuvant chemotherapy (secondary adjuvant chemotherapy) was decided after multidisciplinary meeting.

The macroscopic view of the resected spleen with two nodular and subcapsular tumors.

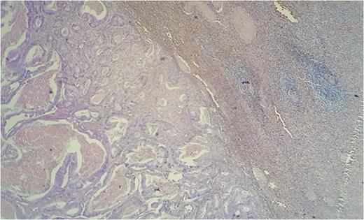
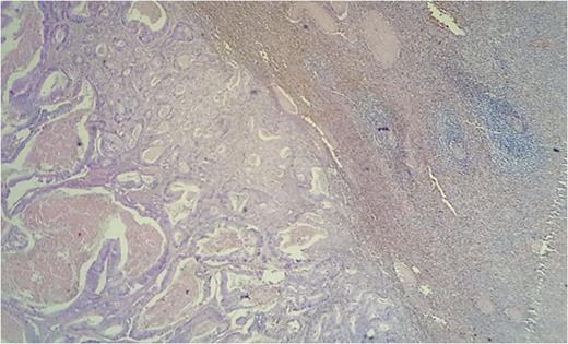
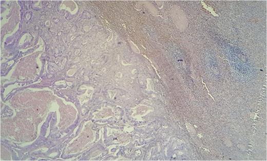
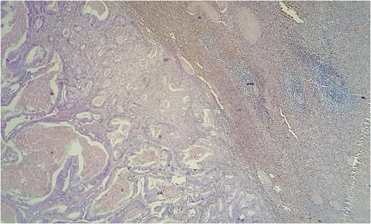
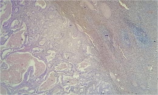
Histological aspect of the tumor showing a glandular pattern with large focis of necrosis (HES×10).

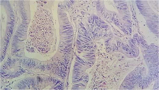
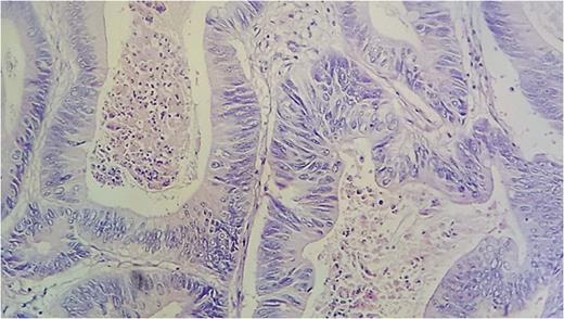
High power view of the tumoral glands lined by columnar cells with abundant eosinophilic cytoplasm and irregular nucleis (HES×40).
DISCUSSION
Metastasis to spleen from non-hematological diseases are very uncommon, old autopsy series reported prevalence between 0% and 34%, but according to more recent series, the prevalence ranges between 3% and 7% [1–5]. The main sites of primary tumors that metastasize to spleen are lung, colon and rectum, ovary, malignant melanoma or breast [3, 5].
Secondary splenic tumors from colorectal cancers occured mostly at an advanced stage with other organs involved [6, 7]. Isoled spleen metastasis from colorectal cancers are very rare. Since the first description by Dunder et al., few cases have been reported [2, 8–10]. These tumors are often metachronous, found during follow-up, rarely they can be encountered synchronously with the primary tumor [2, 8]. In most reported cases, the left colon is the main location of the primary tumor, especially the splenic flexture, the sigmoid or the rectum, suggesting that tumor cells invade the spleen through the mesenteric vein [2, 8]. Primary tumors diagnosed at advanced stage, often stage III or IV, have tendency to metastasise to spleen [2, 8]. In fact, our patient had advanced sigmoid tumor, stage III, with perforated colon and lymph nodes invasion, in accordance to most reported cases in the littérature. In our case, three years after the initial diagnosis of sigmoid colon adenocarcinoma, the CT-scan performed during follow-up period found the secondary location of the tumor in the spleen. The median disease-free interval reported recently in a review of a litterature of splenic metastasis from colorectal cancer, by Abi Saad et al. was 40 months with a range of 3–144 months [2]. The disease is usually asymptomatic, the diagnosis of metastatic disease was suspected on imaging technics, mainly CT-scan or when CEA level rises during follow-up [2, 10].
The prognosis of spleen metastasis from colorectal cancers seems to be improved by splenectomy. The rupture of the metastatic spleen may occur if not removed, justifying the practice of splenectomy widely described in most reported cases [2, 8–10]. Patients with metachronous metastasis have more favorable outcomes [2]. But, these datas are based on few reported cases because of the rarity of the disease, and more large studies are needed.
The spleen is one of the well vascularised organs but strikingly, is very rarely involved by metastasis. The spleen appears to be a very hostile place for establishment of neoplastic cells from other organs [1–4]. Several hypotheses have been postulated to understand this astonishing and paradoxical property of the spleen. Anatomical, physiological and immunological features of the spleen are believed to play a major role in the low prevalence of metastasis [2, 8]. The sharp angle between the splenic artery and the coeliac axis, makes difficult for tumor cells to reach the spleen. The splenic parenchyma lacks afferent lymphatic vessels, only some scarce lymphatics are limited in the splenic capsule, this is a reason why most metastic tumors reside in the subcapsular region. The rhythmic contraction of the splenic sinusoids may prevent the implantation of tumor cells on vascular endothelial cells. The fact that most metastasis are from the left colon suggest that tumor cells reach the spleen via the mesenteric vein by a blood retrograde flux. Also, the spleen capsule constitutes a solid physical barrier to prevent tumor cells from invading the spleen. It is speculated that the immunological property of the spleen is another protecting factor against metastasis. In fact, the spleen is a large reticuloendothelial organ with numerous lymphocytes and macrophages that produces diverse chemical substances that can destroy tumor cells [2, 10].
CONCLUSION
Splenic metastasis from colorectal cancers are uncommon, little is known about their epidemiological aspects and biological behavior. The follow-up of patients with colorectal cancers should pay attention to any suspected splenic mass, as splenectomy seems to improve outcomes in patients with metachronous tumors. More studies are needed to better understand this rare entity.
CONFLICT OF INTEREST STATEMENT
Authors declare no conflict of interest.
FUNDING SOURCE
None.