Issue navigation
Volume 2016, Issue 10, October 2016
Case Report
Extensive upper extremity deep venous thrombosis following brief application of an operative arm tourniquet
Reshma Ghedia and others
Journal of Surgical Case Reports, Volume 2016, Issue 10, October 2016, rjw136, https://doi.org/10.1093/jscr/rjw136
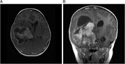
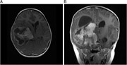
BRAF V600D mutation in a paediatric high-grade glioma
Aisling Ní Nualláin and others
Journal of Surgical Case Reports, Volume 2016, Issue 10, October 2016, rjw150, https://doi.org/10.1093/jscr/rjw150
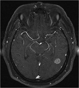
Cerebral metastases from Merkel cell carcinoma: long-term survival
S. Honeybul
Journal of Surgical Case Reports, Volume 2016, Issue 10, October 2016, rjw165, https://doi.org/10.1093/jscr/rjw165
Spontaneous resolution of symptomatic lumbar synovial cyst
Priyank Sinha and others
Journal of Surgical Case Reports, Volume 2016, Issue 10, October 2016, rjw166, https://doi.org/10.1093/jscr/rjw166
Total colectomy for colon perforation after kayexalate administration: a case report and literature review of a rare complication
Robert Hunt Dunlap and Ryan Martinez
Journal of Surgical Case Reports, Volume 2016, Issue 10, October 2016, rjw167, https://doi.org/10.1093/jscr/rjw167
Perforated jejunal diverticulum: a rare case of acute abdomen
Rishabh Sehgal and others
Journal of Surgical Case Reports, Volume 2016, Issue 10, October 2016, rjw169, https://doi.org/10.1093/jscr/rjw169
Acute rectal ischaemia following emergency abdominal aortic aneurysm surgery
Frances R. Mosley and others
Journal of Surgical Case Reports, Volume 2016, Issue 10, October 2016, rjw172, https://doi.org/10.1093/jscr/rjw172
Protracted refractory pain post-TEVAR: post-implantation syndrome?
Peter Waweru and others
Journal of Surgical Case Reports, Volume 2016, Issue 10, October 2016, rjw173, https://doi.org/10.1093/jscr/rjw173
Utility of human amniotic membrane allograft in re-epithelialization of the nasal tip
D'Antonio C. Dennis and others
Journal of Surgical Case Reports, Volume 2016, Issue 10, October 2016, rjw174, https://doi.org/10.1093/jscr/rjw174
Advertisement
Advertisement






