Issue navigation
Volume 2019, Issue 5, May 2019
CASE REPORTS
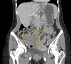
Stone fragments migration into subcapsular renal hematoma post flexible ureterorenoscopy (unique presentation)
Ahmed Nazer and others
Journal of Surgical Case Reports, Volume 2019, Issue 5, May 2019, rjz125, https://doi.org/10.1093/jscr/rjz125
Combined treatment using Mohs’ paste and neoadjuvant chemotherapy for giant gluteal soft tissue sarcoma with malignant fungating wound: a case report
Kazuaki Nemoto and others
Journal of Surgical Case Reports, Volume 2019, Issue 5, May 2019, rjz137, https://doi.org/10.1093/jscr/rjz137
Non-implant associated primary cutaneous anaplastic large cell lymphoma of the breast
Tova M Bergsten and others
Journal of Surgical Case Reports, Volume 2019, Issue 5, May 2019, rjz139, https://doi.org/10.1093/jscr/rjz139
Implantation of amniotic membrane over pancreatic anastomosis after pancreaticoduodenectomy: report of the first case
Isabella Frigerio and others
Journal of Surgical Case Reports, Volume 2019, Issue 5, May 2019, rjz097, https://doi.org/10.1093/jscr/rjz097
Catheter-based local analgesia for the fractured mandible in a patient with a history of hereditary angioedema
Douglas Hammond and others
Journal of Surgical Case Reports, Volume 2019, Issue 5, May 2019, rjz126, https://doi.org/10.1093/jscr/rjz126
Ascending aortic aneurysm exposed to direct impingement of eccentric flow jets through a tilting-disc valve prosthesis
Hiroshi Nagamine and others
Journal of Surgical Case Reports, Volume 2019, Issue 5, May 2019, rjz127, https://doi.org/10.1093/jscr/rjz127
Surviving complete gastric infarction in remote Australia
Andrew Gray and David Lewis
Journal of Surgical Case Reports, Volume 2019, Issue 5, May 2019, rjz133, https://doi.org/10.1093/jscr/rjz133
Anterior mediastinal teratoma with pericardial effusion. Rare presentation
Moaath Al Smady and others
Journal of Surgical Case Reports, Volume 2019, Issue 5, May 2019, rjz136, https://doi.org/10.1093/jscr/rjz136
Spontaneous choledochoduodenal fistula in a patient with a bile duct injury following laparoscopic cholecystectomy
Shea P Gallagher and David K Imagawa
Journal of Surgical Case Reports, Volume 2019, Issue 5, May 2019, rjz141, https://doi.org/10.1093/jscr/rjz141
Poroid hidradenoma of the scalp in an immunosuppressed patient
Matthew T Grant and Michael M Awad
Journal of Surgical Case Reports, Volume 2019, Issue 5, May 2019, rjz146, https://doi.org/10.1093/jscr/rjz146
Surgical management of compound skull fracture with exposed brain matter in a third-world country
Young Kim and others
Journal of Surgical Case Reports, Volume 2019, Issue 5, May 2019, rjz147, https://doi.org/10.1093/jscr/rjz147
Pancreaticoduodenectomy in a patient with a rare celiac trunk and hepatic artery anomaly, a case report from Syria
Basel Ahmad and others
Journal of Surgical Case Reports, Volume 2019, Issue 5, May 2019, rjz148, https://doi.org/10.1093/jscr/rjz148
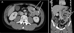
Right Iliac fossa pain due to torsion and ischaemia of accessory liver lobe
Shahinda Al-Anwar and others
Journal of Surgical Case Reports, Volume 2019, Issue 5, May 2019, rjz101, https://doi.org/10.1093/jscr/rjz101
Laparoscopic enteropexy for intussusception at Roux-en-Y anastomosis
Christopher L Kalmar and Tananchai A Lucktong
Journal of Surgical Case Reports, Volume 2019, Issue 5, May 2019, rjz152, https://doi.org/10.1093/jscr/rjz152
Pancreas graft salvage after successful endovascular treatment of Y graft pseudoaneurysm
V A L Huurman and J H P Lardenoye
Journal of Surgical Case Reports, Volume 2019, Issue 5, May 2019, rjz124, https://doi.org/10.1093/jscr/rjz124
De Garengeot’s hernia with appendicitis—a rare cause of an acutely painful groin swelling
Adam O’Connor and Peter Asaad
Journal of Surgical Case Reports, Volume 2019, Issue 5, May 2019, rjz142, https://doi.org/10.1093/jscr/rjz142
Glycogen rich clear cell carcinoma of the breast: a rare subtype with good prognosis
Budoor Mohamed Al-Musaifer and others
Journal of Surgical Case Reports, Volume 2019, Issue 5, May 2019, rjz150, https://doi.org/10.1093/jscr/rjz150
Diverticulitis of isolated jejunal diverticulum complicated by small bowel obstruction secondary to de novo enterolith formation
Ivan O Aispuro and Nazhone P Yazzie
Journal of Surgical Case Reports, Volume 2019, Issue 5, May 2019, rjz151, https://doi.org/10.1093/jscr/rjz151
Cases of low anterior resection and ileostomy for rectal cancer that required more than 18 months for stoma closure
Yutaka Kojima and others
Journal of Surgical Case Reports, Volume 2019, Issue 5, May 2019, rjz153, https://doi.org/10.1093/jscr/rjz153
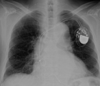
Dramatic improvement of left ventricular function after switching the ventricular pacing site from the right ventricular apex to the left ventricular free wall via a left mini thoracotomy: a case report
Masahiro Tsutsui and others
Journal of Surgical Case Reports, Volume 2019, Issue 5, May 2019, rjz155, https://doi.org/10.1093/jscr/rjz155
Acute abdomen due to an infected urachal cyst in a 5-year-old female: case report
Aghyad Kudra Danial and others
Journal of Surgical Case Reports, Volume 2019, Issue 5, May 2019, rjz156, https://doi.org/10.1093/jscr/rjz156
Nothing is impossible: radiation induced angiosarcoma of breast in a male patient
Nikolaos Tsapralis and others
Journal of Surgical Case Reports, Volume 2019, Issue 5, May 2019, rjz158, https://doi.org/10.1093/jscr/rjz158
Internal jugular vein aneurysm: a case report
Waleed Mohammed Alshehri and others
Journal of Surgical Case Reports, Volume 2019, Issue 5, May 2019, rjz159, https://doi.org/10.1093/jscr/rjz159
Multiple intestinal intussusceptions caused by highly impaired gastrointestinal motility in a patient with chronic cannabis consumption
Olga Prokopchuk and others
Journal of Surgical Case Reports, Volume 2019, Issue 5, May 2019, rjz160, https://doi.org/10.1093/jscr/rjz160
Jejunal intussusception in an adult due to multiple lipomas: a rare case report from Syria
Esraa Kabawe and others
Journal of Surgical Case Reports, Volume 2019, Issue 5, May 2019, rjz162, https://doi.org/10.1093/jscr/rjz162
Granular cell tumor of the gallbladder: case report and review of the literature
Walid E Abdelrahim and others
Journal of Surgical Case Reports, Volume 2019, Issue 5, May 2019, rjz145, https://doi.org/10.1093/jscr/rjz145
A 10-year follow-up of asymptomatic Charcot hip joints caused by CIPA syndrome (congenital insensitivity to pain with anhidrosis) with failure of any surgical reconstructive treatment
Ioannis Delniotis and Benedikt Leidinger
Journal of Surgical Case Reports, Volume 2019, Issue 5, May 2019, rjz154, https://doi.org/10.1093/jscr/rjz154
Laparoscopic approach for a spontaneous posterior rectus sheath hernia
Rita Loureiro and others
Journal of Surgical Case Reports, Volume 2019, Issue 5, May 2019, rjz161, https://doi.org/10.1093/jscr/rjz161
A snake in the grass: retroperitoneal abscess due to perforated appendicitis—management, approach and recommendations
Ahmad Nahhas and others
Journal of Surgical Case Reports, Volume 2019, Issue 5, May 2019, rjz163, https://doi.org/10.1093/jscr/rjz163
The clavipectoral fascia as the unique anatomical criteria for distinguishing breast parenchymal lesions from axillary lymph node metastasis
Antonios Patrinos and others
Journal of Surgical Case Reports, Volume 2019, Issue 5, May 2019, rjz135, https://doi.org/10.1093/jscr/rjz135
Monosegmental ALPPS: a long-term survival alternative to liver transplant in PRETEXT IV hepatoblastoma
Eloy Francisco Ruiz Figueroa and others
Journal of Surgical Case Reports, Volume 2019, Issue 5, May 2019, rjz144, https://doi.org/10.1093/jscr/rjz144
Advertisement
Advertisement