-
PDF
- Split View
-
Views
-
Cite
Cite
Shea P Gallagher, David K Imagawa, Spontaneous choledochoduodenal fistula in a patient with a bile duct injury following laparoscopic cholecystectomy, Journal of Surgical Case Reports, Volume 2019, Issue 5, May 2019, rjz141, https://doi.org/10.1093/jscr/rjz141
Close - Share Icon Share
Abstract
We report a 67-year-old female that had a laparoscopic cholecystectomy complicated by common bile duct (CBD) and right hepatic artery injuries. A catheter was placed into the proximal common bile duct to create an external biliary fistula. The catheter eroded into the edge of the CBD and that irritation caused a choledochoduodenal fistula to form. To our knowledge, this is the first reported case in which an external biliary catheter caused the formation of a choledochoduodenal fistula after a bile duct injury from a laparoscopic cholecystectomy.
INTRODUCTION
Laparoscopic cholecystectomy has become the gold standard treatment for cholelithiasis [1]. Despite its many advantages over the open approach, the laparoscopic approach has a higher rate of bile duct injury [2–5]. This case report presents a bile duct transection during a laparoscopic cholecystectomy, and eventual ceasing of biliary drainage through an external biliary catheter due to a spontaneous choledochoduodenal fistula formation. Biliary-enteric fistulas are rare complications that typically occur from a duodenal ulcer, common bile duct (CBD) tumors, biliary stones or blunt trauma to the duodenum and/or biliary tract [6].
CASE REPORT
A 67-year-old female underwent a laparoscopic cholecystectomy complicated by injury to the CBD at an outside hospital. The proximal bile duct was cannulated with a 12 French red Robinson catheter, which was brought out through the right lateral abdominal wall. The patient was transferred to our facility for management of the CBD injury.
The patient was afebrile and hemodynamically stable. On physical exam her abdomen was soft, appropriately tender, non-distended and no rebound or guarding. A complete metabolic panel (CMP) and complete blood count (CBC) were within normal limits. A total bilirubin of 0.8 mg/dL was normal (reference normal 0.0–1.4 mg/dL). An abdominal computed tomography (CT) scan revealed a CBD injury 2 cm below the confluence of the right and left hepatic ducts, and a drain in the proximal CBD. There was also evidence of a right hepatic artery (RHA) injury. Due to the RHA injury, a definitive surgery was to be delayed for approximately six weeks to allow for collateralization of the CBD.
The patient noted that the biliary drain produced approximately 100 mL of daily bilious output since her discharge. However, she returned 1 month after her discharge noting that there was no biliary drain output for two weeks. She had no systemic complaints. She was anicteric and her abdomen was soft, non-tender and non-distended with no rebound or guarding. The patient was admitted to the hospital for evaluation of drain patency.
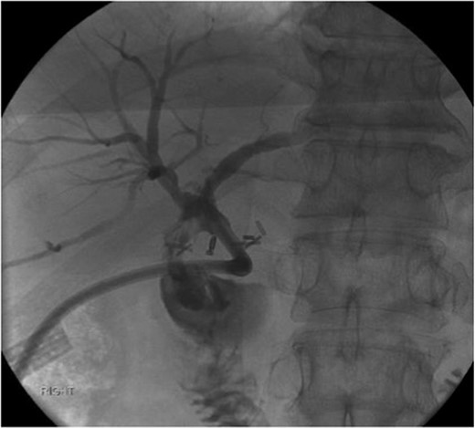
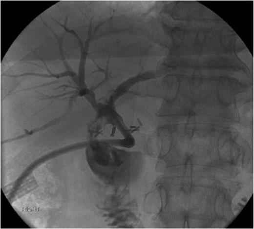
The labs on admission revealed a normal CMP and CBC, a slightly elevated alkaline phosphatase of 171 U/L (reference normal 34–104 U/L), normal aspartate transaminase and alanine transaminase levels, and a normal direct and total bilirubin of 0.2 and 0.5 mg/dL, respectively. A CT of the patient’s abdomen showed the external biliary drain within the CBD and no intra-abdominal fluid collections or intrahepatic biliary dilations. A cholangiogram showed a fistulous connection between the proximal CBD and the duodenum (Fig. 1). An elective choledochoduodenal fistula takedown and Roux-en-Y hepaticojejunostomy were performed.

Cholangiogram through the external catheter demonstrating a fistula between the common bile duct, just below the confluence of the right and left hepatic ducts at the terminal end of the catheter, and the duodenum.
DISCUSSION
This case report presents a spontaneous choledochoduodenal fistula formation after a bile duct and right hepatic artery injury and the subsequent placement of an external biliary catheter, during a laparoscopic cholecystectomy.
Bile duct injuries are classified using the Strasberg–Bismuth system [7]. Class E injuries, which are the most common major bile duct injury types, are circumferential injuries to the major hepatic ducts, and are further sub divided by Bismuth Classifications 1–5. This case reports a Class E1 bile duct injury, given that the injury was circumferential and occurred ≥2 cm below the confluence of the right and left hepatic ducts.
When the right hepatic artery injury was discovered, our team decided to keep the drains in place and plan for a definitive surgery at a later date to allow for collateralization of the bile duct. Injury to the right hepatic artery extends the biliary injury to a higher level than the grossly observed injury, and increases the failure rate of bile duct reconstruction if it is attempted in the early period following the injury [8]. Therefore, consideration should be given to delaying repair of a biliary injury in a patient with concomitant right hepatic artery injury.
The fistula formed between the duodenum and the common hepatic duct at the terminal end of the external catheter. The mechanism of fistula formation was irritation from the catheter since it eroded into the edge of the bile duct and small bowel. To our knowledge, this is the first reported case in which an external biliary catheter caused the formation of a choledochoduodenal fistula after a bile duct injury from a laparoscopic cholecystectomy.
A case reported by Yilmaz et al. [9] presented a spontaneous choledochoduodenal fistula after bile duct injury following laparoscopic cholecystectomy. However, this fistula formed due to the inflammation caused by bile leak. Macedo et al. [10] reported a case of post-cholecystectomy biliary transection that resulted in a biliary-colonic fistula caused by internal biliary collection, which eroded into the colon.
The fistula had a high probability of developing an obstructive stricture given its long length and avascular nature. Therefore, the patient received definitive surgery to avoid these complications and any need for emergent surgery. The patient presented by Macedo et al. [10] received elective biliary reconstruction under the same rationale. The patient presented by Yilmaz et al. [9] was left untreated for the fistula because she was asymptomatic, but returned with recurrent cholangitis symptoms due to fistula stricture requiring surgery.
In conclusion, choledochoduodenal fistula is a rare complication following bile duct transection during a laparoscopic cholecystectomy. The mechanism of fistula formation in this case was due to the erosion of the proximal common hepatic duct caused by the external biliary catheter. Consideration should be given to delay reconstruction of a biliary injury with a concomitant right hepatic artery injury to allow for collateralization. Biliary-enteric fistulas after bile duct injuries should be obliterated during elective biliary reconstruction surgery to avoid fistula stricture and its complications.
CONFLICT OF INTEREST STATEMENT
None declared.