-
PDF
- Split View
-
Views
-
Cite
Cite
V A L Huurman, J H P Lardenoye, Pancreas graft salvage after successful endovascular treatment of Y graft pseudoaneurysm, Journal of Surgical Case Reports, Volume 2019, Issue 5, May 2019, rjz124, https://doi.org/10.1093/jscr/rjz124
Close - Share Icon Share
Abstract
Pancreas transplantation is the most successful treatment option for patients with autoimmune type 1 diabetes. However, the surgical procedure is associated with high morbidity rates. The present case report describes a patient receiving simultaneous pancreas/kidney transplantation. After initial success, he develops a pseudoaneurysm of the iliac Y graft reconstruction, necessitating elective transplantectomy to avoid rupture. While on the waiting list for this operation, the patient is admitted to another hospital with acute bleeding from the pseudoaneurysm. An endovascular stent is successfully placed into the Y graft, stopping the bleeding with preserved pancreas function. Close follow-up using CT angiography shows successful treatment of the aneurysm. Pancreas graft function remains excellent. Although most experts until now have advised transplantectomy in the case of Y graft aneurysms, this case report advocates stent placement and close monitoring to preserve the pancreatic graft.
INTRODUCTION
Pancreas transplantation is the most successful treatment option for patients with autoimmune type 1 diabetes. The use of pancreatic grafts has remained limited over the years due to the shortage of good quality donor organs and the high morbidity associated with this complex surgical procedure. As a consequence, only relatively young patients with limited comorbidity are eligible for transplantation [1].
In pancreas transplantation, meticulous pre-operative preparation of the graft is necessary. As the pancreas is vascularized from both the superior mesenteric and the splenic artery, in most cases an arterial reconstruction is performed and these vessels are anastomosed with a Y-shaped piece of donor iliac artery (Fig. 1), ensuring single arterial blood supply.

Graphic representation of a pancreas prepared for transplantation. A Y-shaped piece of iliac donor artery is used to facilitate arterial vascular anastomosis (picture courtesy of Leiden University Medical Center).
The exocrine drainage of pancreatic fluid is most often secured using enteric anastomosis very close to this vascular reconstruction. Therefore sentinel bleeding and (pseudo)aneurysm formation due to infection are known complications of pancreas transplantation. The literature on treatment of such complications is limited [2–4].
Most reports understandably advocate urgent removal of bleeding grafts to prevent life-threatening haemorrhagic shock. Less is known about elective treatment of Y graft (pseudo)aneurysms. No diameter or growth pace is identified that would necessitate graft removal, and limited data are available on endovascular treatment [2, 5, 6]. This report describes a case where an emergency stent placement led to a well-controlled situation without the need for graft removal.
CASE REPORT
Patient M, a 55-year-old male, received a simultaneous pancreas-kidney (SPK) transplant from a 44-year-old brain-dead donor. The operative procedure was performed as usual in our institute: a midline incision, with the kidney placed in the left and the pancreas in the right iliac fossa, using enteric pancreatic drainage to the distal ileum. The pancreas was prepared in a regular fashion with an 8–10 cm duodenal segment, removal of surrounding fat and the spleen. Arterial reconstruction consisted of an iliac Y graft reconstruction with the splenic and superior mesenteric artery using 6.0 non-absorbable monofilament sutures (Surgipro™, Medtronic Inc., Heerlen, The Netherlands).
The postoperative course was initially uneventful with good function of both pancreas and kidney. On a routine CT scan, a small thrombus was seen in the distal splenic vein, which was treated with oral vitamin K antagonists. After initial discharge, he was readmitted repeatedly because of multiple peripancreatic abscesses that warranted percutaneous drainage and supportive antibiotics.
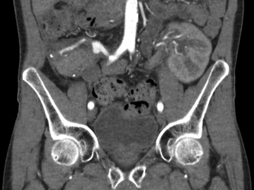
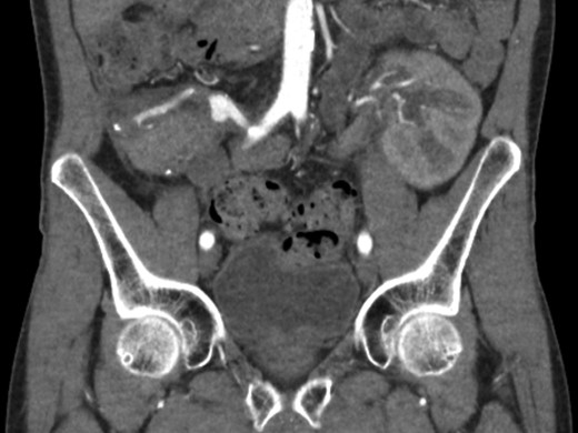
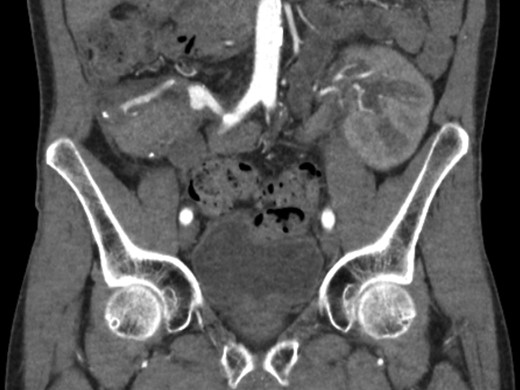
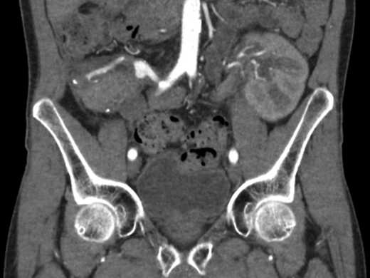
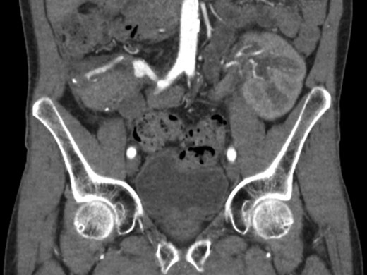
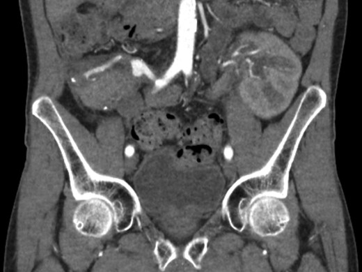
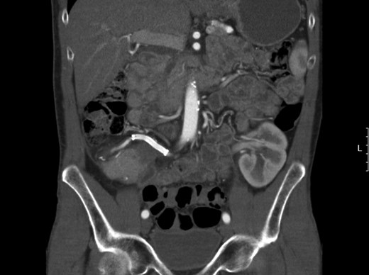
Eventually the patient recovered and could be discharged in good condition. An outpatient follow-up CT, however, showed an aneurysm of the pancreatic graft’s arterial reconstruction, most likely at the site of the anastomosis of the iliac Y graft with the splenic artery (Fig. 2), with the peripancreatic abscess as the most likely cause. Because of its size and growth, consent was given for removal of the pancreas, with subsequent pancreatic islet isolation and transplantation to retain beta cell function.

Elective CT scan showing pseudoaneurysm of the vascular reconstruction, most likely at the site of the anastomosis between Y graft and splenic artery.
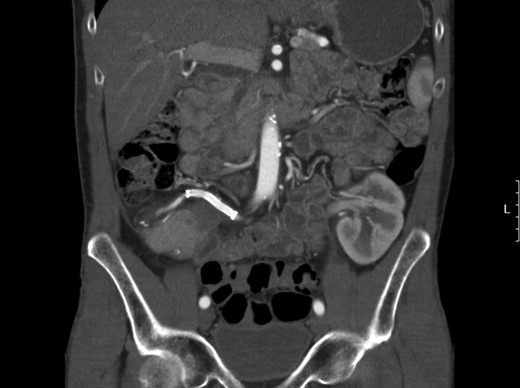
Whilst on the waiting list for this elective procedure, the patient was urgently admitted to a teaching hospital >1 hour away with acute hemodynamic instability. He was suffering from gastrointestinal haemorrhage after an overdose of vitamin K antagonists (International Normalized Ratio > 9), with a possible arterio-enteric fistula. An emergency angiography was performed and the large aneurysm identified (Fig. 3A). No blush was seen nor contrast in the splenic artery. A metal covered stent (Viabahn6 mm in diameter, length of 50 mm, Gore Medical, Tilburg, Netherlands) was placed covering in the Y graft and graft superior mesenteric artery (SMA), covering the origin of the splenic artery but ensuring adequate perfusion of the pancreas head (Fig. 3B). The patient was transferred to our Transplant Center and remained stable during several days of observation. CT angiography showed obstruction of the splenic artery, but a well perfused pancreas. Function remained excellent.

(A) Emergency angiography showing increased Y graft aneurysm. The splenic artery is not perfused. (B) Stent placed through the Y graft and SMA, covering the aneurysm and origin of the splenic artery.
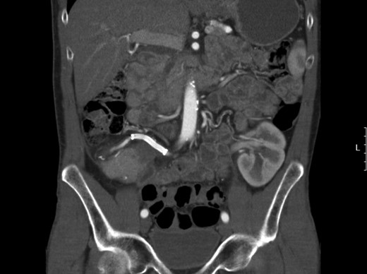
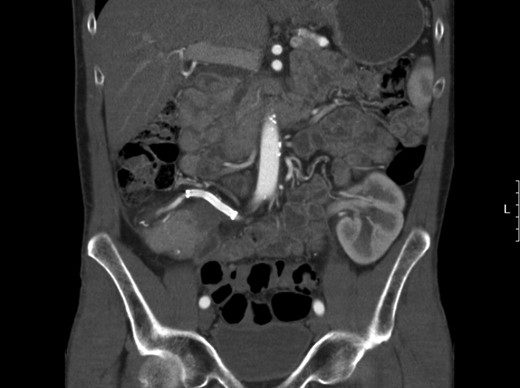
Because of the patient’s stability and desire to keep his well-functioning pancreatic graft, a close-monitoring policy was followed and the graft was left in place. Several follow-up CT angiographies showed no sign of endoleak or recurrent aneurysm (Fig. 4). Vitamin K antagonists were stopped and replaced with acetyl salicylic acid prophylaxis. After 12 months of follow-up, the patient is still well with excellent kidney and pancreas graft function.

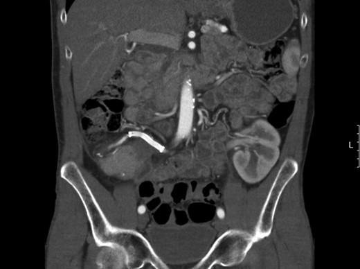
Follow-up CT scan showing a patent SMA tract with stent in position and no signs of endoleak.
DISCUSSION
Pancreas transplantation is a complex surgical procedure with considerable morbidity. Next to known donor and recipient risk factors, surgical technique and organ quality are important in determining eventual success.
Although pancreas transplantation is not an immediately life-saving procedure, its long-term effects do have profound impact on long-term patient survival and health care cost [7]. Infectious complications are frequent and can be accompanied by life-threatening vascular complications and sentinel bleedings. Direct anastomosis of the transplanted pancreas to the recipient’s bowel may increase the chance of infectious complications compared the alternative, primary urinary bladder drainage. However, overall results of direct enteric anastomosis seem superior [8].
Potentially life-threatening complications of pancreas transplantation such as bleeding, thrombosis, or severe abdominal infection, are generally treated by complete removal of the graft. The presence of an islet transplantation programme gives the opportunity of re-using the beta cells, but this is not always possible and less effective.
In recent years, endovascular treatment has become the less invasive standard of care for many vascular and bleeding complications. Especially in patients suffering from haemorrhagic shock due to rupture of native aneurysms, the use of acute minimal invasive endovascular therapy is well established. Multiple randomized controlled trails comparing open and endovascular therapies have been published in patients with ruptured aortic aneurysms [9]. Also, in patient with ruptured visceral aneurysms such as splanchnic or renal artery aneurysms, the endovascular placement of life saving covered stents has been described frequently [10]. This case report shows that the endovascular principle is also applicable in transplantation surgery. Although a classical approach was initially taken, the course of events showed that graft preservation is possible under close monitoring, taking possible risk of re-bleeding into account. In selected cases, endovascular treatment of graft aneurysms may provide an additional option to improve transplant survival and quality of life.
INFORMED CONSENT
Informed consent was obtained from the patient for publication of this Case Report and any accompanying images. A copy is available for review.
CONFLICT OF INTEREST STATEMENT
None declared.
REFERENCES
- stents
- pseudoaneurysm
- hemorrhage
- aneurysm
- diabetes mellitus, type 1
- autoimmunity
- follow-up
- ilium
- pancreas transplantation
- reconstructive surgical procedures
- rupture
- surgical procedures, operative
- tissue transplants
- waiting lists
- morbidity
- pancreas
- computed tomographic angiography
- renal and pancreas transplantation
- acute hemorrhage
- pancreatic function
- endovascular procedures