-
PDF
- Split View
-
Views
-
Cite
Cite
Walid E Abdelrahim, Salwa O Mekki, Fatima M A Ali, Sarra Ahmed H Mukhtar, Kamal E Elssidig, Elthir A G Khalil, Omer Alfarog, Granular cell tumor of the gallbladder: case report and review of the literature, Journal of Surgical Case Reports, Volume 2019, Issue 5, May 2019, rjz145, https://doi.org/10.1093/jscr/rjz145
Close - Share Icon Share
Abstract
Granular cell tumors (GCTs) are rare benign tumors, which originate in the tongue, ovary, oropharynx, GIT and respiratory tract. Biliary GCTs are rarities. Clinical presentations depend on tumor site.
A 62-year-old male, presented with acute and severe abdominal pain for fifteen days. He was in pain, not pale or jaundiced. Abdominal imaging showed thick-walled gallbladder with multiple stones suggestive of calcular cholecystitis and liver cirrhosis. The diagnosis of acute-on-chronic cholecystitis was made. Following informed consent open cholecystectomy showed a cirrhotic liver with enlarged Calot’s lymph node and thick adhesions. Histopathology revealed a benign GCT of the gallbladder. The patient recovered uneventfully. The patient was well with no tumor recurrence after one year follow up.
GCT of the gallbladder should be considered in patients presenting as acute-on-chronic cholecystitis without imaging evidence of tumor. Surgical removal with wide safety margins should be contemplated.
INTRODUCTION
Granular cell tumors (GCTs, Abrikossoff tumors) are rare benign soft tissue tumors that were first described in 1962. It was believed to originate from muscles and so were named myoblastenmyoma. Some evidence suggests that it originates from Schwann cells, with positivity for S-100 protein. Common GCTs sites include: the tongue, oropharynx, GIT, respiratory tract, breast, skin and subcutaneous tissue. GCTs of the biliary tract typically occur in young African-American females with a mean age of 34 years. Clinical presentations depend on tumor location. Common bile duct GCTs usually present with painless jaundice mimicking cholangiocarcinoma or focal sclerosing cholingitis. On the other hand, patients with GCT of the gallbladder and cystic duct usually present with billiary colic or symptoms of acute cholecystitis [1–6].
CASE REPORT
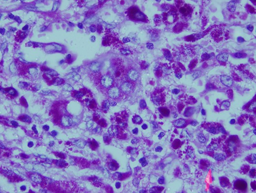
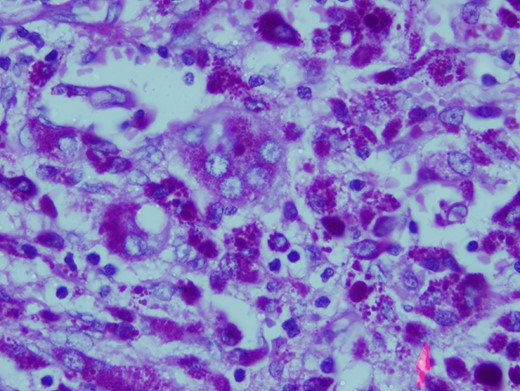
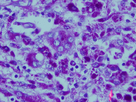
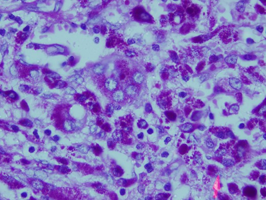
A 62-year-old male, who is a known diabetic presented with sudden, acute severe abdominal pain with vomiting for fifteen days. He was in pain, not pale or jaundiced. Abdominal examination revealed positive Murphy’s sign, but no palpable gallbladder. Abdominal ultrasound showed thick-walled gallbladder with multiple stones and thick bile content with fluid level suggesting chronic cholycystitis. CT abdomen showed distended gallbladder, thick enhanced wall with peri-cholycystic inflammatory changes and a large stone at the gallbladder neck. Adjacent liver parenchyma showed ill-defined hypo-density, focal inflammatory changes in the right lobe indicating calcular cholecystitis with element of hepatitis (star sky appearance). MRI showed features of acute calcular cholecystitis with markedly dilated gall bladder. Blood analysis showed hemoglobin concentration of 11.0 grams/dl, total white cells count of 8 000 cells/Cumm, total bilirubin of 1.1 mg/dl, albumin concentration of 3.2 grams/dl, AST and ALT levels of 50 IU/dl and 33 IU/dl, respectively. HBs Ag/HCV serology was non-reactive. CA19-9 level was 914.8 U/ml. Following informed consent, open cholecystectomy was done using inverted L-shaped incision. Intra-operatively, the liver was cirrhotic, Calot’s node was enlarged and adhesions were found in the hepatic flexure, duodenum, gallbladder and colon. Neither, ascites nor peritoneal lesions were seen. The right hepatic artery was encased by the tumor. Intra-operative cholangiogram and Doppler ultrasound was used to assess the patency of the right hepatic artery. The cystic artery was identified and ligated. The patient recovered uneventfully. Macroscopically, the specimen was yellow-white with thick-walled and ulcerated gallbladder. Microscopically, the gallbladder wall was infiltrated by sheets of polygonal cells showing eccentric nuclei, abundant eosinophilic cytoplasm with some multinucleated (PAS+) cells (Fig. 1). There was no evidence of malignancy. The tumor cells were positive for S-100 protein (Fig. 2). The tumor was diagnosed as a benign granular cell tumor of the gallbladder (Fig. 2). The patient was well with no surgical complications or tumor recurrences after one year follow up. The patient consented to the publication of his case.

Sheets of polygonal cells with eccentric nuclei, abundant eosinophilic cytoplasm with PAS+ multinucleated cells. High power 20X H&E section.

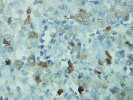
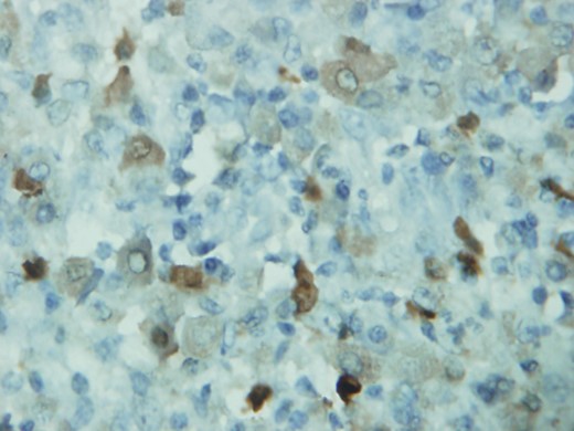
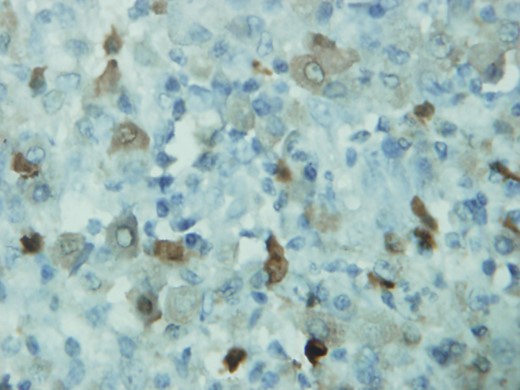
Polygonal tumor cells are positive for S-100 protein (immunohistochemistry).
DISCUSSION
GCTs of the gallbladder are benign rare tumors that accounts for a small per centage of GCTs of the billiary tract with only six cases reported so far. The tumors tend to behave malignantly. Cholangio-carcinoma, adenomas, primary sclerosing cholangitis, biliary stricture, choledocal cyst should be considered in the differential diagnosis [3–8]. Some GCT patients may also present with acute hepatitis and the tumor incidentally appears as a gallbladder mass in abdominal ultrasound [8]. Encasing of the right hepatic artery seen with this patient’s tumor is common behavior of malignant tumors. The release of the encased right hepatic artery was difficult, but right lobe blood supply was preserved. Although, there was doubt about the nature of the tumor but, no evidence liver invasion was seen, so radical resection was not done. Fortunately, the tumor was reported as benign on histopathology. The patient presented with symptoms of acute cholecystitis with an initial diagnosis of acute-on-chronic cholecystitis based on clinical findings and abdominal ultrasound. GCTs are not easy to visualize by ultra-sonography and CT because is it usually of a small in size. Since GCTs are very rare, the tumor may mimic several other more common conditions, so a high index of suspicion has to be exercised. Histologically, the presence of S-100 protein suggests that GCTs originate from Schwann cells as previously described. To our knowledge 83 cases of biliary tract GCTs have been reported in the English literate to date. As in our case the main presenting complaints were jaundice and abdominal pain. A pre-operative clinico-radiological diagnosis of acute on chronic cholecystitis and not cholangiocarcinoma as was previously reported [8–10].
In conclusion, GCTs of the gallbladder should be considered in the differential diagnosis in patients presenting as acute-on-chronic cholecystitis without imaging evidence of tumors. GCTs can mimic cholangiocarcinoma and it is difficult to diagnose pre-operatively. Surgical removal with wide safety margins should always be considered.
CONFLICT OF INTEREST STATEMENT
None declared.
REFERENCES
- cholecystitis
- informed consent
- abdominal pain
- liver cirrhosis
- adhesions
- follow-up
- granular cell tumor
- jaundice
- oropharynx
- pain
- pallor
- respiratory system
- safety
- diagnosis
- diagnostic imaging
- gallbladder
- liver
- lymph nodes
- neoplasms
- ovary
- tongue
- benign neoplasms
- cholecystectomy, open
- excision
- abdominal imaging
- histopathology tests