Issue navigation
Volume 2022, Issue 9, September 2022
Case Reports
Presentation and evaluation of an atypical, supraclavicular mass in a pediatric patient
Austin D Schafer and others
Journal of Surgical Case Reports, Volume 2022, Issue 9, September 2022, rjac340, https://doi.org/10.1093/jscr/rjac340
Amyand’s hernia: non incarcerated, inflamed appendix in inguinal sac case report
Faranak Olamaeian and others
Journal of Surgical Case Reports, Volume 2022, Issue 9, September 2022, rjac382, https://doi.org/10.1093/jscr/rjac382
Primary cavernous hemangioma of the thyroid mimicking an ectopic cervical thymoma
Alberto Díaz-García and others
Journal of Surgical Case Reports, Volume 2022, Issue 9, September 2022, rjac411, https://doi.org/10.1093/jscr/rjac411
Application of self-made rubber drainage strip in the operation of giant lipoma
Qing Chen and Ping Shao
Journal of Surgical Case Reports, Volume 2022, Issue 9, September 2022, rjac449, https://doi.org/10.1093/jscr/rjac449
Multifocal synchronous renal cell carcinoma of three different histologic subtypes: unusual findings and literature review
Martha Chavez and others
Journal of Surgical Case Reports, Volume 2022, Issue 9, September 2022, rjac452, https://doi.org/10.1093/jscr/rjac452
Recurrent vaginal vault dehiscence and evisceration following total laparoscopic hysterectomy, successfully repaired with polypropylene mesh and sacrocolpopexy
R Rathigashini and others
Journal of Surgical Case Reports, Volume 2022, Issue 9, September 2022, rjac453, https://doi.org/10.1093/jscr/rjac453
Multiple gallstones causing ileus twenty years after cholecystectomy
Peter Petrillo and others
Journal of Surgical Case Reports, Volume 2022, Issue 9, September 2022, rjac415, https://doi.org/10.1093/jscr/rjac415
Surgical resection of arteriovenous malformation of the pancreatic head with acute pancreatitis: a case report
Hiroyuki Hakoda and others
Journal of Surgical Case Reports, Volume 2022, Issue 9, September 2022, rjac427, https://doi.org/10.1093/jscr/rjac427
An abdominal ectopic pregnancy following in vitro fertilization: a rare case report
Martha Alhajjeh and others
Journal of Surgical Case Reports, Volume 2022, Issue 9, September 2022, rjac437, https://doi.org/10.1093/jscr/rjac437
Colonic lipoma of the hepatic flexure causing invagination in an adult
Mauricio Fabian Palacios and others
Journal of Surgical Case Reports, Volume 2022, Issue 9, September 2022, rjac440, https://doi.org/10.1093/jscr/rjac440
Floseal-induced small bowel obstruction
Hamza Ashraf and others
Journal of Surgical Case Reports, Volume 2022, Issue 9, September 2022, rjac444, https://doi.org/10.1093/jscr/rjac444
A rare case of oesophageal and gastric fundus necrosis following traumatic splenectomy
Laura Bennett and James Gallagher
Journal of Surgical Case Reports, Volume 2022, Issue 9, September 2022, rjac455, https://doi.org/10.1093/jscr/rjac455
Squamous cell carcinoma arising in a Zenker diverticulum
Francesca Polit and others
Journal of Surgical Case Reports, Volume 2022, Issue 9, September 2022, rjac458, https://doi.org/10.1093/jscr/rjac458
The role of biodegradable temporizing matrix in the management of a patient with major burns and anorexia nervosa
Poh Tan and others
Journal of Surgical Case Reports, Volume 2022, Issue 9, September 2022, rjac410, https://doi.org/10.1093/jscr/rjac410
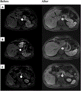
A case of spontaneously ruptured hepatic angiosarcoma resected after transcatheter arterial embolization
Toshiaki Kashiwadate and others
Journal of Surgical Case Reports, Volume 2022, Issue 9, September 2022, rjac406, https://doi.org/10.1093/jscr/rjac406
Abdominal wall intramuscular desmoid fibromatosis: a case report
Erica Choe and others
Journal of Surgical Case Reports, Volume 2022, Issue 9, September 2022, rjac401, https://doi.org/10.1093/jscr/rjac401
The rare case of oesophago-pericardial fistula secondary to pulmonary tuberculosis
Kavina Kaur Sidhu and others
Journal of Surgical Case Reports, Volume 2022, Issue 9, September 2022, rjac422, https://doi.org/10.1093/jscr/rjac422
A case report: invasive ductal carcinoma in mosaic Li-Fraumeni syndrome
Danielle Wenger and others
Journal of Surgical Case Reports, Volume 2022, Issue 9, September 2022, rjac408, https://doi.org/10.1093/jscr/rjac408
Gastric adenocarcinoma in the excluded stomach 18 years after bariatric surgery: a case report
Rodrigo Piltcher-da-Silva and others
Journal of Surgical Case Reports, Volume 2022, Issue 9, September 2022, rjac448, https://doi.org/10.1093/jscr/rjac448
A feeding jejunostomy causing an intussusception – case report and literature review
Jane Tian and others
Journal of Surgical Case Reports, Volume 2022, Issue 9, September 2022, rjac446, https://doi.org/10.1093/jscr/rjac446
Portomesenteric venous thrombosis post gastric sleeve
Jaime Ponce-de-León Palomares and others
Journal of Surgical Case Reports, Volume 2022, Issue 9, September 2022, rjac435, https://doi.org/10.1093/jscr/rjac435
May the robotic approach expand the indications for redo surgery in recurrent pNETs in Multiple Neuroendocrine Neoplasia type 1?
Carolina Baz and others
Journal of Surgical Case Reports, Volume 2022, Issue 9, September 2022, rjac433, https://doi.org/10.1093/jscr/rjac433
Spinal fusion surgery - the need to follow the ‘BRAN’ toolkit (benefits, risks, alternatives, nothing): a case report
George Ampat and others
Journal of Surgical Case Reports, Volume 2022, Issue 9, September 2022, rjac431, https://doi.org/10.1093/jscr/rjac431
A case of cerebral infarction due to aplastic or twig-like middle cerebral artery after lung cancer surgery
Tai Hato and others
Journal of Surgical Case Reports, Volume 2022, Issue 9, September 2022, rjac430, https://doi.org/10.1093/jscr/rjac430
Superior mesenteric artery syndrome secondary to thyrotoxicosis
Abigail Jacobs and others
Journal of Surgical Case Reports, Volume 2022, Issue 9, September 2022, rjac428, https://doi.org/10.1093/jscr/rjac428
Extrapulmonary tuberculosis presentation in the form of a chest wall abscess with no pulmonary involvement in the UK: a case report
Shreya Saxena and Deepak Hariharan
Journal of Surgical Case Reports, Volume 2022, Issue 9, September 2022, rjac421, https://doi.org/10.1093/jscr/rjac421
A pioneer Australian case of Savi-Scout™ assisted resection for breast cancer recurrence
Kristy Patricia Mansour and Chantel Thornton
Journal of Surgical Case Reports, Volume 2022, Issue 9, September 2022, rjac418, https://doi.org/10.1093/jscr/rjac418
Jejunojejunal intussusception of a sutured enterotomy site after takedown and primary repair of persistent enterocutaneous fistula: a case report
Derek Marlor and others
Journal of Surgical Case Reports, Volume 2022, Issue 9, September 2022, rjac399, https://doi.org/10.1093/jscr/rjac399
Malignant inflammatory myofibroblastic tumor: a rare case presentation
Megan Spafford and others
Journal of Surgical Case Reports, Volume 2022, Issue 9, September 2022, rjac403, https://doi.org/10.1093/jscr/rjac403
A fundamental change emerging in locally advanced rectal cancer management: a case report
Amy Edwards-Murphy and others
Journal of Surgical Case Reports, Volume 2022, Issue 9, September 2022, rjac405, https://doi.org/10.1093/jscr/rjac405
Diagnosing and managing a giant primary cutaneous malignant melanoma of the lower limb
Ryan Faderani and others
Journal of Surgical Case Reports, Volume 2022, Issue 9, September 2022, rjac409, https://doi.org/10.1093/jscr/rjac409
Successful management of a rare case of endogenous endophthalmitis from soft tissue (gluteal) abscess
Natalie Chen and K V Chalam
Journal of Surgical Case Reports, Volume 2022, Issue 9, September 2022, rjac412, https://doi.org/10.1093/jscr/rjac412
Plantar nerve neural fibrolipoma: rare neuroma arising from the plantar nerve of the heel
Raghav Nand and Dakshinamurthy Sunderamoorthy
Journal of Surgical Case Reports, Volume 2022, Issue 9, September 2022, rjac361, https://doi.org/10.1093/jscr/rjac361
A rare case of azygous vein aneurysm with cotriatrium dextrum
Ashviini Chandrakumanan and others
Journal of Surgical Case Reports, Volume 2022, Issue 9, September 2022, rjac413, https://doi.org/10.1093/jscr/rjac413
Recurrent retrograde intussusception in patient with previous gastric bypass surgery
Cindy Siaw Lin Wong and Mohamed Ramadan
Journal of Surgical Case Reports, Volume 2022, Issue 9, September 2022, rjac414, https://doi.org/10.1093/jscr/rjac414
Locally advanced breast cancer arising in the axilla
Sasha Sapon-Cousineau and others
Journal of Surgical Case Reports, Volume 2022, Issue 9, September 2022, rjac425, https://doi.org/10.1093/jscr/rjac425
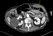
Massive emphysematous pancreatitis associated with duodenal microperforation
Michael van der Mark and Merwe Hartslief
Journal of Surgical Case Reports, Volume 2022, Issue 9, September 2022, rjac392, https://doi.org/10.1093/jscr/rjac392
Do not open wide; accidentally swallowed dental mold causing bowel obstruction. A case report
Jose R Negrete and others
Journal of Surgical Case Reports, Volume 2022, Issue 9, September 2022, rjac384, https://doi.org/10.1093/jscr/rjac384
Minimally invasive management of an ascending colonic perforation secondary to distal biliary stent migration: a multidisciplinary, novel laparoendoscopic approach
Karishma Kodia and others
Journal of Surgical Case Reports, Volume 2022, Issue 9, September 2022, rjac404, https://doi.org/10.1093/jscr/rjac404
Role of dual anti-HER2 therapy before liver resection for rectal metastases
Siva Dantu and others
Journal of Surgical Case Reports, Volume 2022, Issue 9, September 2022, rjac420, https://doi.org/10.1093/jscr/rjac420
Hybrid sequential treatment of a giant serous mesenteric cyst: description of a case and review of the literature
Giorgio Lucandri and others
Journal of Surgical Case Reports, Volume 2022, Issue 9, September 2022, rjac397, https://doi.org/10.1093/jscr/rjac397
Mixed epithelial and stromal tumor—adult cystic nephroma of the kidney: a case report with immunohistochemical analysis
Foteini Karasavvidou and others
Journal of Surgical Case Reports, Volume 2022, Issue 9, September 2022, rjac387, https://doi.org/10.1093/jscr/rjac387
Heel reconstruction for a Marjolin’s ulcer in a patient with multiple limb amputations: a case report
Matteo Torresetti and others
Journal of Surgical Case Reports, Volume 2022, Issue 9, September 2022, rjac400, https://doi.org/10.1093/jscr/rjac400
Optic compressive neuropathy secondary to anterior clinoid mucocele: diagnostic approach, a case report
Francisco J Medina-Valencia and others
Journal of Surgical Case Reports, Volume 2022, Issue 9, September 2022, rjac362, https://doi.org/10.1093/jscr/rjac362
Extended surgical resection for nonfunctioning duodenal neuroendocrine tumor
Giorgio Lucandri and others
Journal of Surgical Case Reports, Volume 2022, Issue 9, September 2022, rjac391, https://doi.org/10.1093/jscr/rjac391
Multiseptate gallbladder presenting with biliary colic
Peter Hopmann and others
Journal of Surgical Case Reports, Volume 2022, Issue 9, September 2022, rjac417, https://doi.org/10.1093/jscr/rjac417
Invasive type B2 thymoma associated with myasthenia gravis, resection with superior vena cava reconstruction
Sawley A Wilde and others
Journal of Surgical Case Reports, Volume 2022, Issue 9, September 2022, rjac368, https://doi.org/10.1093/jscr/rjac368
Staged surgical repair of severe pulmonary stenosis post radiofrequency ablation
Lewis William Murray and others
Journal of Surgical Case Reports, Volume 2022, Issue 9, September 2022, rjac390, https://doi.org/10.1093/jscr/rjac390
Hemophilia B acquired after cadaveric liver transplantation: a case report
Larissa Machado e Silva Gomide and others
Journal of Surgical Case Reports, Volume 2022, Issue 9, September 2022, rjac393, https://doi.org/10.1093/jscr/rjac393
Case Series
The incidental finding of xanthogranulomatous cholecystitis: a report of 10 cases
Abdulrahman Muaod Alotaibi and others
Journal of Surgical Case Reports, Volume 2022, Issue 9, September 2022, rjac443, https://doi.org/10.1093/jscr/rjac443
Small bowel obstruction caused by hemorrhagic metastatic melanoma: case report and literature review
Fanyi Wu and others
Journal of Surgical Case Reports, Volume 2022, Issue 9, September 2022, rjac395, https://doi.org/10.1093/jscr/rjac395
Correction
Correction to: Rapid, midline retroperitoneal exposure for four-level anterior lumbar interbody fusion—technical case atlas
Journal of Surgical Case Reports, Volume 2022, Issue 9, September 2022, rjac450, https://doi.org/10.1093/jscr/rjac450
Surgical Technique
Laparoscopic treatment of entero-neobladder fistula after radical cystectomy
Ana Sofia Araújo and others
Journal of Surgical Case Reports, Volume 2022, Issue 9, September 2022, rjac419, https://doi.org/10.1093/jscr/rjac419
Advertisement
Advertisement