-
PDF
- Split View
-
Views
-
Cite
Cite
Martha Alhajjeh, Sami Jomaa, Razan Kanj, Nahed Al Halabi, Dema Adwan, An abdominal ectopic pregnancy following in vitro fertilization: a rare case report, Journal of Surgical Case Reports, Volume 2022, Issue 9, September 2022, rjac437, https://doi.org/10.1093/jscr/rjac437
Close - Share Icon Share
Abstract
A significant rise in the incidence of abdominal pregnancy has been reported following in vitro fertilization techniques. Herein, we present a healthy 30-year-old woman, primigravida, conceived through in vitro fertilization–embryo transfer for male factor infertility. Six weeks later, she reported abdominal pain and discomfort. Ultrasonography revealed an empty uterus and a heterogenic abdominal mass in the anterior aspect of the uterus with normal adnexa. Computed tomography scan revealed a mass outside the uterus measuring 11 × 8 cm. Under general anesthesia, laparotomy exposed a gestational sac implanted outside the uterus on the anterior abdominal wall and contained an unviable fetus. Blood clots and pieces of placental tissue were also noticed. The patient had an uneventful course of recovery and was discharged after six days. Therefore, abdominal ectopic pregnancy must be considered in all patients with vaginal bleeding and/or abdominal pain who have undergone assisted reproductive technology.
INTRODUCTION
Abdominal pregnancy is a rare entity that accounts for <1% of all ectopic pregnancies with an incidence from 1:10 000 to 1:30 000 pregnancies [1]. It is further subdivided into an early or late depending on the presentation time with a set point of 20 gestational weeks, primary if implantation occurs directly in the abdomen [2] or secondary to the rupture of a tubal pregnancy [3].
A significant rise in the incidence of abdominal pregnancy has been reported following the increased use of in vitro fertilization–embryo transfer (IVF–ET) [2, 4]. It has been suggested that a fistulous tract formation during the IVF procedure may dispose to abdominal pregnancy [5]. The scarcity of abdominal pregnancy and the associated high mortality make early diagnosis and management more challenging and demanding [4, 6].
Herein, we present an unexpected case of an abdominal ectopic pregnancy following IVF–ET.
CASE PRESENTATION
A healthy, primigravida, 30-year-old woman conceived through IVF–ET for male factor infertility in a private hospital. Ovarian stimulation was carried out using GnRH antagonist protocol, and two fresh embryos were transferred. She had a positive pregnancy test 2 weeks later.
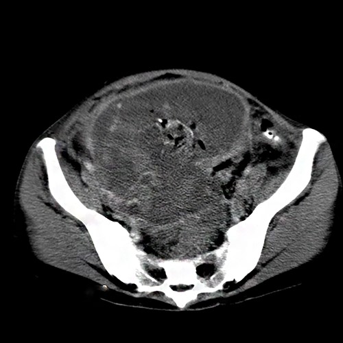
Six weeks later, she reported that she had been feeling of heaviness in her abdomen and lately developed abdominal pain that has been increasing in intensity. She was referred to our hospital for further investigations. Physical examination showed a soft and mildly tender abdomen. Lab tests revealed a negative pregnancy test, a normal clotting profile, and mild anemia. Ultrasonography (US) revealed normal adnexa, an empty uterus and a heterogenic abdominal mass anterior to the uterus. The fetal crown lump length diameter was measured and corresponded to ~9 weeks of gestation. Computed tomography (CT) scan revealed a heterogenic mass outside the uterus measuring 11 × 8 cm (Fig. 1) and raised the possibility of abdominal pregnancy. Under general anesthesia, laparotomy exposed a gestational sac implanted outside the uterus on the anterior abdominal wall. Blood clots and pieces of placental tissue were also noticed. The gestational sac was incised, and an unviable fetus was found (Fig. 2). The patient received two blood units during the operation. The patient had an uneventful course of recovery and was discharged after 6 days.

A heterogenic mass outside the uterus measuring 11 × 8 cm and containing blood clots and placental tissues.

Unviable fetus measures 1.8 cm and corresponds to ~9 weeks of gestation.
DISCUSSION
A significant increase in the incidence of abdominal pregnancy has been reported following the increased use of IVF–ET [2, 4, 7]. Anderson et al. [5] suggested that during the embryo transfer, a micro-perforation of the uterus or micro-fistulous tract through the uterine isthmus allows an oocyte to migrate into the abdomen with subsequent abdominal fertilization by spermatozoa. Suggested risk factors include a higher number of embryos transferred, transfer at the blastocyst stage, fresh embryo transfer, variation in culture media, and infertility due to tubal factors [4]. Previous studies showed that ectopic pregnancy rates following fresh embryo transfer are higher when compared with frozen ones [4, 8, 9]. Although our case had male factor infertility and only two fresh embryos were transferred in an attempt to decrease the probabilities of ectopic pregnancy, abdominal pregnancy did occur. It appears that addressing one or two risk factors has failed to prevent an ectopic pregnancy. Therefore, we suggest addressing multiple risk factors at once in order to decrease the rate of ectopic pregnancy.
Distinguishing an abdominal pregnancy from the more common variants of ectopic pregnancy remains challenging, and the definitive diagnosis is usually made intraoperatively. Studdiford et al. [10] reported the first case of primary ectopic abdominal pregnancy in 1942 using the following criteria: fallopian tubes and ovaries are intact, absence of uteroperitoneal fistula, presence of the gestational sac adjacent to the peritoneum and early enough to exclude secondary implantation. Later on, Allibone et al. [11] defined the characteristics of abdominal pregnancy on US; no uterine wall is visible between the fetus and the maternal bladder, the placenta is localized outside the uterus, fetal structures adjacent to the maternal abdominal wall, abnormal lie of the fetus and no amniotic fluid is detected between the fetus and placenta. Gerli et al. [12] have suggested the following criteria for an early diagnosis of abdominal pregnancy; absence of an intrauterine gestational sac, no evident dilated tube or complex adnexal mass, the gestational cavity surrounded by loops of bowel and separated from them by peritoneum, wide mobility similar to the fluctuation of the sac, particularly evident with a pressure of the transvaginal probe toward the posterior cul-de-sac. Although magnetic resonance imaging can confirm the diagnosis, it is mainly used to identify placental implantation over the major blood vessels or bowel before laparotomy to avoid incising the placenta and the associated risk of uncontrollable hemorrhage [13]. In our case, the CT scan proved that is crucial in demonstrating the placental location and features suggestive of ectopic abdominal pregnancy.
Surgical management requires a great deal of surgical expertise and possibly life-threatening complications such as placental separation, intra-abdominal bleeding, infection, and disseminated intravascular coagulation must be taken into consideration. Thus, the immediate termination of the pregnancy by laparotomy or laparoscopy is mandatory, regardless of the gestational age or fetus condition [2, 6].
In conclusion, abdominal ectopic pregnancy is rare, and successful management depends on a high index of suspicion. Since IVF techniques are now more accessible in most countries, cautiousness must be kept when transferring embryos. Therefore, abdominal ectopic pregnancy must be considered in all patients with vaginal bleeding and/or abdominal pain who have undergone IVF–ET.
CONFLICT OF INTEREST STATEMENT
The authors have declared that they have no conflict of interest.
FUNDING
None.
References
- ultrasonography
- abdominal mass
- abdominal pain
- computed tomography
- ectopic pregnancy
- fertilization in vitro
- anesthesia, general
- embryo transfer
- fetus
- infertility
- laparotomy
- pregnancy, abdominal
- reproductive techniques, assisted
- abdomen
- placenta
- uterus
- thrombus
- vaginal hemorrhage
- gestational sac
- abdominal wall, anterior
- primigravida