Issue navigation
Volume 2021, Issue 12, December 2021
Case Report
Soft palatal mass containing heterotopic neural tissue causing airway obstruction in a Pierre-Robin sequence patient
David Z Allen and others
Journal of Surgical Case Reports, Volume 2021, Issue 12, December 2021, rjab510, https://doi.org/10.1093/jscr/rjab510
Long-term adjustable gastric band with resultant megaoesophagus causing cardiac compression
Ramesh De Silva and others
Journal of Surgical Case Reports, Volume 2021, Issue 12, December 2021, rjab540, https://doi.org/10.1093/jscr/rjab540
A case of haemorrhagic cholecystitis with no risk factors
Mirwais Khan Hotak and Christo Joseph
Journal of Surgical Case Reports, Volume 2021, Issue 12, December 2021, rjab542, https://doi.org/10.1093/jscr/rjab542
Prenatal diagnosis of rapidly enlarging choledochal cyst with gastric outlet obstruction
P Nina Scalise and others
Journal of Surgical Case Reports, Volume 2021, Issue 12, December 2021, rjab547, https://doi.org/10.1093/jscr/rjab547
A rare isolated cutaneous metastatic mass after colon cancer resection
Suysen Hung Fong and others
Journal of Surgical Case Reports, Volume 2021, Issue 12, December 2021, rjab571, https://doi.org/10.1093/jscr/rjab571
A case of incidental STUMP discovery in a patient with concurrent prostatic adenocarcinoma
Tessa Ladner and others
Journal of Surgical Case Reports, Volume 2021, Issue 12, December 2021, rjab576, https://doi.org/10.1093/jscr/rjab576
Bilobed gallbladder discovered during laparoscopic cholecystectomy: a tale of two lobes and one duct
Devon Plewman and others
Journal of Surgical Case Reports, Volume 2021, Issue 12, December 2021, rjab579, https://doi.org/10.1093/jscr/rjab579
Ileocecal intussusception as the initial presentation of endometriosis: case report
Agustin E Pinsak and others
Journal of Surgical Case Reports, Volume 2021, Issue 12, December 2021, rjab556, https://doi.org/10.1093/jscr/rjab556
In-utero gastric perforation from combined duodenal and esophageal atresia without consistent polyhydramnios
Bailey D Lyttle and others
Journal of Surgical Case Reports, Volume 2021, Issue 12, December 2021, rjab551, https://doi.org/10.1093/jscr/rjab551
A case of naevus sebaceus of Jadassohn of the scalp in Jamaica
Geoffrey Williams and others
Journal of Surgical Case Reports, Volume 2021, Issue 12, December 2021, rjab552, https://doi.org/10.1093/jscr/rjab552
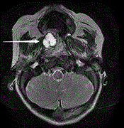
Unilateral nasal obstruction: a rare presentation of acute myeloid leukaemia
Mairead Kelly and others
Journal of Surgical Case Reports, Volume 2021, Issue 12, December 2021, rjab581, https://doi.org/10.1093/jscr/rjab581
Coronary artery bypass graft for stent occlusion in a patient with essential thrombocythemia
Nael Al-Sarraf
Journal of Surgical Case Reports, Volume 2021, Issue 12, December 2021, rjab583, https://doi.org/10.1093/jscr/rjab583
Traumatic colostomy evisceration in an AIDS patient with anal cancer
Uju Momah and others
Journal of Surgical Case Reports, Volume 2021, Issue 12, December 2021, rjaa544, https://doi.org/10.1093/jscr/rjaa544
Internal jugular phlebectasia in pediatric patients: a report of two Saudi cases
Sultan Alrabea and others
Journal of Surgical Case Reports, Volume 2021, Issue 12, December 2021, rjab555, https://doi.org/10.1093/jscr/rjab555
Late-stage primary renal angiosarcoma: an extremely rare cancer complicated by COVID-19 post-operatively
Reilly Carr and others
Journal of Surgical Case Reports, Volume 2021, Issue 12, December 2021, rjab562, https://doi.org/10.1093/jscr/rjab562
Double aortic arch: a rare cause of stridor in infants
Youssef Aladham and others
Journal of Surgical Case Reports, Volume 2021, Issue 12, December 2021, rjab567, https://doi.org/10.1093/jscr/rjab567
Case report of combined iliac crest and ASIS apophysis avulsion fracture in an adolescent footballer
Chloe Chan and others
Journal of Surgical Case Reports, Volume 2021, Issue 12, December 2021, rjab573, https://doi.org/10.1093/jscr/rjab573
Distal partial gastrectomy for gastric tube cancer with intraoperative blood flow evaluation using indocyanine green fluorescence
Ayano Sakai and others
Journal of Surgical Case Reports, Volume 2021, Issue 12, December 2021, rjab574, https://doi.org/10.1093/jscr/rjab574
Bilateral papillary thyroid cancer with normal aberrant thyroid tissue
Qingqing Huang and others
Journal of Surgical Case Reports, Volume 2021, Issue 12, December 2021, rjab578, https://doi.org/10.1093/jscr/rjab578
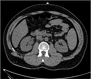
Ectopic uterus? A rare presentation of a giant leiomyoma in the posterior mediastinum
Murad Tarmohamed and others
Journal of Surgical Case Reports, Volume 2021, Issue 12, December 2021, rjab584, https://doi.org/10.1093/jscr/rjab584
Primary gastrointestinal stromal tumor of the left hepatic lobe: a case report and a review of the literature
Athanasios Piachas and others
Journal of Surgical Case Reports, Volume 2021, Issue 12, December 2021, rjab572, https://doi.org/10.1093/jscr/rjab572
A case of TEVAR for acute aortic dissection after MICS AVR and retroperitoneal tumor resection
Masahiro Tsutsui and others
Journal of Surgical Case Reports, Volume 2021, Issue 12, December 2021, rjab559, https://doi.org/10.1093/jscr/rjab559
Late development of giant hepatic artery pseudoaneurysm following abdominal trauma due to tire blast: case report and literature review
Ismail Mahmood and others
Journal of Surgical Case Reports, Volume 2021, Issue 12, December 2021, rjab564, https://doi.org/10.1093/jscr/rjab564
Rare case of visceral myopathy
Niloofar Sherazi Dreyer and others
Journal of Surgical Case Reports, Volume 2021, Issue 12, December 2021, rjab554, https://doi.org/10.1093/jscr/rjab554
Collision tumor of malignant tumors of the skin: dermal squamomelanocytic tumor coexisting with basal cell carcinoma—a rare case
Pantelis Diamantopoulos and others
Journal of Surgical Case Reports, Volume 2021, Issue 12, December 2021, rjab560, https://doi.org/10.1093/jscr/rjab560
Systemic BCGosis following intra-renal instillation of BCG: a case report
Jessica Schembri Higgans and others
Journal of Surgical Case Reports, Volume 2021, Issue 12, December 2021, rjab544, https://doi.org/10.1093/jscr/rjab544
Expect the unexpected: chronic renal abscess secondary to renal actinomycosis
Jennifer Walsh and others
Journal of Surgical Case Reports, Volume 2021, Issue 12, December 2021, rjab536, https://doi.org/10.1093/jscr/rjab536
A rare case of abdominal wall necrotizing fasciitis caused by Actinomyces europaeus—a novel pathogen
Neill Allen and others
Journal of Surgical Case Reports, Volume 2021, Issue 12, December 2021, rjab533, https://doi.org/10.1093/jscr/rjab533
The risk of footswitch misstep during robot-assisted thoracoscopic surgery: a case report
Masayuki Hashimoto and others
Journal of Surgical Case Reports, Volume 2021, Issue 12, December 2021, rjab292, https://doi.org/10.1093/jscr/rjab292
A case of dermatofibrosarcoma protuberans with neurofibromatous change
Kazuhiro Kudoh and others
Journal of Surgical Case Reports, Volume 2021, Issue 12, December 2021, rjab472, https://doi.org/10.1093/jscr/rjab472
Unexpected intraoperative finding of gallbladder torsion
P Sai Krishna and others
Journal of Surgical Case Reports, Volume 2021, Issue 12, December 2021, rjab478, https://doi.org/10.1093/jscr/rjab478
Traumatic xylophagia leading to foreign body removal and tracheostomy in the setting of postpartum psychosis
Brady J Anderson and others
Journal of Surgical Case Reports, Volume 2021, Issue 12, December 2021, rjab467, https://doi.org/10.1093/jscr/rjab467
Carcinoma arising within sciatic nerve endometriosis: a case report
Adaiah Yahaya and others
Journal of Surgical Case Reports, Volume 2021, Issue 12, December 2021, rjab512, https://doi.org/10.1093/jscr/rjab512
The Eagle Has Landed: an unusual case of Eagle’s syndrome
Reem AlAbdulwahed and Paul O’Flynn
Journal of Surgical Case Reports, Volume 2021, Issue 12, December 2021, rjab530, https://doi.org/10.1093/jscr/rjab530
Invasive cutaneous squamous cell carcinoma resulting in arm amputation. Case discussion and literature review
Inez Eiben and others
Journal of Surgical Case Reports, Volume 2021, Issue 12, December 2021, rjab534, https://doi.org/10.1093/jscr/rjab534
A case of splenic rupture a week after appendectomy
Catherine Deleuze and others
Journal of Surgical Case Reports, Volume 2021, Issue 12, December 2021, rjab541, https://doi.org/10.1093/jscr/rjab541
A case of metastatic neuroendocrine disease and cholecystitis: surgical remedy and management of carcinoid crisis
Phillip J Whiley and others
Journal of Surgical Case Reports, Volume 2021, Issue 12, December 2021, rjab543, https://doi.org/10.1093/jscr/rjab543
Traumatic rupture of a hemorrhagic hepatic cyst: a case presentation and literature review
Megan Jenkins Turner and others
Journal of Surgical Case Reports, Volume 2021, Issue 12, December 2021, rjab545, https://doi.org/10.1093/jscr/rjab545
Hiatus hernia with gastric volvulus and duodenum component: a case report
F Y Gimenez and others
Journal of Surgical Case Reports, Volume 2021, Issue 12, December 2021, rjab548, https://doi.org/10.1093/jscr/rjab548
Biliary tract melanoma metastasis mimicking hilar cholangiocarcinoma: a case report
Rodrigo Piltcher-da-Silva and others
Journal of Surgical Case Reports, Volume 2021, Issue 12, December 2021, rjab549, https://doi.org/10.1093/jscr/rjab549
A pedunculated small bowel gastrointestinal stromal tumour (GIST) masquerading as an ovarian tumour
Lauren M Turner and others
Journal of Surgical Case Reports, Volume 2021, Issue 12, December 2021, rjab514, https://doi.org/10.1093/jscr/rjab514
Successful laparoscopic extraction of trichobezoar due to Rapunzel syndrome: first reported case in Kuwait
Ahmad E Al-Mulla and others
Journal of Surgical Case Reports, Volume 2021, Issue 12, December 2021, rjab532, https://doi.org/10.1093/jscr/rjab532
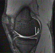
Novel type of medial meniscus ramp lesion: a case report and surgical technique
Abdulaziz Z Alomar
Journal of Surgical Case Reports, Volume 2021, Issue 12, December 2021, rjab538, https://doi.org/10.1093/jscr/rjab538
Concurrent granulomatous mastitis and invasive ductal cancer in contralateral breasts—a case report and review
Jonathan Evans and others
Journal of Surgical Case Reports, Volume 2021, Issue 12, December 2021, rjab519, https://doi.org/10.1093/jscr/rjab519
Surgical Technique
Tissue dissection with saline injection: application in thyroid surgery
Stefanos K Stefanou and others
Journal of Surgical Case Reports, Volume 2021, Issue 12, December 2021, rjab500, https://doi.org/10.1093/jscr/rjab500
Technique for ectopic intrathymic parathyroid adenoma: the uniportal subxiphoid approach
Marc Hartert and others
Journal of Surgical Case Reports, Volume 2021, Issue 12, December 2021, rjab520, https://doi.org/10.1093/jscr/rjab520
Case Series
Vaginal and reproductive organ preservation in trans men undergoing gender-affirming phalloplasty: technical considerations
Christopher J Salgado and others
Journal of Surgical Case Reports, Volume 2021, Issue 12, December 2021, rjab553, https://doi.org/10.1093/jscr/rjab553
Robotic-assisted renal autotransplant as a novel treatment option for nutcracker syndrome
Lacy Harkrader and others
Journal of Surgical Case Reports, Volume 2021, Issue 12, December 2021, rjab580, https://doi.org/10.1093/jscr/rjab580
Angioleiomyoma—rare soft tissue tumor of the foot and ankle, review of two patients and review of the literature
Venkata Soumya Bodapati and Dakshinamurthy Sunderamoorthy
Journal of Surgical Case Reports, Volume 2021, Issue 12, December 2021, rjab535, https://doi.org/10.1093/jscr/rjab535
Advertisement
Advertisement