Issue navigation
Volume 2015, Issue 7, July 2015
Case reports
Implant failure in a proximal femoral fracture treated with dynamic hip screw fixation
John Dabis and others
Journal of Surgical Case Reports, Volume 2015, Issue 7, July 2015, rjv064, https://doi.org/10.1093/jscr/rjv064
Ureteroduodenal fistula
Bhavin Patel and others
Journal of Surgical Case Reports, Volume 2015, Issue 7, July 2015, rjv065, https://doi.org/10.1093/jscr/rjv065
Role of exploratory laparoscopy in haemodynamically stable patient with a penetrating abdominal trauma
Emira Nur Shafina Muhammad-Sharizan and Valerio V. DiNicola
Journal of Surgical Case Reports, Volume 2015, Issue 7, July 2015, rjv066, https://doi.org/10.1093/jscr/rjv066
Primary orbital Ewing's sarcoma presenting with local recurrence to maxillary sinus shortly after tumor resection
Selam Yekta Sendul and others
Journal of Surgical Case Reports, Volume 2015, Issue 7, July 2015, rjv070, https://doi.org/10.1093/jscr/rjv070
We count but should we scrutinize? An unreported complication in spinal surgery
John Dabis and others
Journal of Surgical Case Reports, Volume 2015, Issue 7, July 2015, rjv071, https://doi.org/10.1093/jscr/rjv071
Black necrotic oesophagus following the use of biodegradable stent for benign oesophageal stricture
Antonia Tse and others
Journal of Surgical Case Reports, Volume 2015, Issue 7, July 2015, rjv072, https://doi.org/10.1093/jscr/rjv072
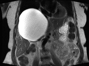
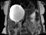
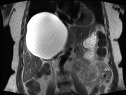
Single-incision laparoscopic management of a giant hepatic cyst
Kaitlin Willems and others
Journal of Surgical Case Reports, Volume 2015, Issue 7, July 2015, rjv073, https://doi.org/10.1093/jscr/rjv073
A novel technique for reducing pancreatic fistulas after pancreaticojejunostomy
Daren Subar and others
Journal of Surgical Case Reports, Volume 2015, Issue 7, July 2015, rjv074, https://doi.org/10.1093/jscr/rjv074
Dermatomyositis presenting as a paraneoplastic syndrome with resolution of symptoms following surgical management of underlying breast malignancy
Xuan Luu and others
Journal of Surgical Case Reports, Volume 2015, Issue 7, July 2015, rjv075, https://doi.org/10.1093/jscr/rjv075
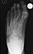
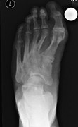
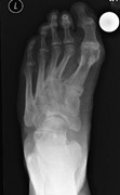
An additional middle cuneiform?
S.D. Brookes-Fazakerley and others
Journal of Surgical Case Reports, Volume 2015, Issue 7, July 2015, rjv076, https://doi.org/10.1093/jscr/rjv076
Laparoscopic drainage of abdominal wall abscess from spilled stones post-cholecystectomy
Vincent Chong and Rishi Ram
Journal of Surgical Case Reports, Volume 2015, Issue 7, July 2015, rjv077, https://doi.org/10.1093/jscr/rjv077
Abdominal wall necrotising fasciitis secondary to fish bone ingestion
Samuel T.W. Lo and others
Journal of Surgical Case Reports, Volume 2015, Issue 7, July 2015, rjv078, https://doi.org/10.1093/jscr/rjv078
Laparo-endoscopic combined approach for excision of gastrointestinal stromal tumour close to the oesophagogastric junction
Zak Vinnicombe and others
Journal of Surgical Case Reports, Volume 2015, Issue 7, July 2015, rjv079, https://doi.org/10.1093/jscr/rjv079
Pulmonary mucosa-associated lymphoma in a patient with von Hippel–Lindau disease
David M. Straughan and others
Journal of Surgical Case Reports, Volume 2015, Issue 7, July 2015, rjv080, https://doi.org/10.1093/jscr/rjv080
Surgical therapy of primary intestinal lymphangiectasia in adults
Tobias Huber and others
Journal of Surgical Case Reports, Volume 2015, Issue 7, July 2015, rjv081, https://doi.org/10.1093/jscr/rjv081
Delayed presentation of a lumbar artery pseudoaneurysm resulting from isolated penetrating trauma
M. Counihan and others
Journal of Surgical Case Reports, Volume 2015, Issue 7, July 2015, rjv083, https://doi.org/10.1093/jscr/rjv083
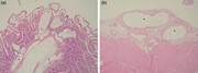
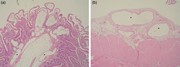
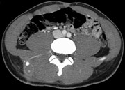
Transitional cell carcinoma arising in a tailgut cyst
Adnan A. Sheikh and others
Journal of Surgical Case Reports, Volume 2015, Issue 7, July 2015, rjv085, https://doi.org/10.1093/jscr/rjv085
Appendiceal diverticulitis shortly after a performed laparoscopic sigma resection
Jessica Lange and others
Journal of Surgical Case Reports, Volume 2015, Issue 7, July 2015, rjv086, https://doi.org/10.1093/jscr/rjv086
Massive hiatus hernia complicated by jaundice
Ruelan V. Furtado and others
Journal of Surgical Case Reports, Volume 2015, Issue 7, July 2015, rjv087, https://doi.org/10.1093/jscr/rjv087
Large bowel obstruction resulting from bladder transitional cell carcinoma metastasis: a common cancer presenting in an uncommon manner
Matthew Rohloff and others
Journal of Surgical Case Reports, Volume 2015, Issue 7, July 2015, rjv088, https://doi.org/10.1093/jscr/rjv088
Concurrent hepatic hemangioma and solitary fibrous tumor: diagnosis and management
Michael Kueht and others
Journal of Surgical Case Reports, Volume 2015, Issue 7, July 2015, rjv089, https://doi.org/10.1093/jscr/rjv089
Intestinal obstruction secondary to left paraduodenal hernia
John R. Gusz and Lauren M. Wright
Journal of Surgical Case Reports, Volume 2015, Issue 7, July 2015, rjv090, https://doi.org/10.1093/jscr/rjv090
Papillary fibroelastoma of the anterior leaflet of the mitral valve mimicking vegetation
Edvin Prifti and others
Journal of Surgical Case Reports, Volume 2015, Issue 7, July 2015, rjv091, https://doi.org/10.1093/jscr/rjv091
A large un-ruptured abdominal aortic aneurysm causing pulmonary embolism
Jahangir Sajjad and others
Journal of Surgical Case Reports, Volume 2015, Issue 7, July 2015, rjv092, https://doi.org/10.1093/jscr/rjv092
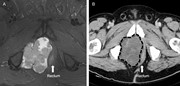
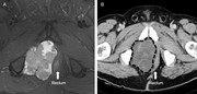
Cylindroma-like basaloid anal cancer presenting as a large pelvic mass in a patient with ulcerative colitis
Sugong Chen and others
Journal of Surgical Case Reports, Volume 2015, Issue 7, July 2015, rjv093, https://doi.org/10.1093/jscr/rjv093
Advertisement
Advertisement























