Issue navigation
Volume 2023, Issue 2, February 2023
Case Reports
Pharmaco-endoscopic therapy for weight regain post-gastric bypass: a case report
Mohammad Jarrah and Mohamad Mokadem
Journal of Surgical Case Reports, Volume 2023, Issue 2, February 2023, rjad075, https://doi.org/10.1093/jscr/rjad075
A rare case of intra-articular synovial sarcoma of the hip joint: a case report with intra-articular findings via hip arthroscopy
Keiju Saito and others
Journal of Surgical Case Reports, Volume 2023, Issue 2, February 2023, rjad066, https://doi.org/10.1093/jscr/rjad066
Two brothers with congenital bulbar urethral stricture: case report of a very rare condition
Seif Mokadem and others
Journal of Surgical Case Reports, Volume 2023, Issue 2, February 2023, rjad072, https://doi.org/10.1093/jscr/rjad072
Arcuate line hernia: a case report
Koral Cohen and others
Journal of Surgical Case Reports, Volume 2023, Issue 2, February 2023, rjad076, https://doi.org/10.1093/jscr/rjad076
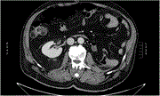
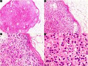
Acinar cystic transformation of the pancreas—a rare case in a young patient
Kira Carlotta Steinkraus and others
Journal of Surgical Case Reports, Volume 2023, Issue 2, February 2023, rjad077, https://doi.org/10.1093/jscr/rjad077
Trouble in Tiger country: isolated traumatic pancreatic transection – a case report
Ahmed Faidh Ramzee and others
Journal of Surgical Case Reports, Volume 2023, Issue 2, February 2023, rjad071, https://doi.org/10.1093/jscr/rjad071
Ectopic kidney injury due to blunt abdominal trauma
Vaia Karapepera and others
Journal of Surgical Case Reports, Volume 2023, Issue 2, February 2023, rjad065, https://doi.org/10.1093/jscr/rjad065
Incidental contrast opacification of the appendix secondary to urological intervention
Samuel Hunn and others
Journal of Surgical Case Reports, Volume 2023, Issue 2, February 2023, rjad061, https://doi.org/10.1093/jscr/rjad061
Incidental ectopic adrenal cortical tissue in the descending mesocolon in an elderly female: a first case report in the literature
Moatasem Hussein Al-janabi and others
Journal of Surgical Case Reports, Volume 2023, Issue 2, February 2023, rjad067, https://doi.org/10.1093/jscr/rjad067
Journey of a stone—thirty years on
Xinyi Nan and others
Journal of Surgical Case Reports, Volume 2023, Issue 2, February 2023, rjad069, https://doi.org/10.1093/jscr/rjad069
Ossification of ligamentum flavum related to progressive thoracic myelopathy and acute paraplegia in a Central-European male with a thoracic kyphoscoliosis
Danijel Erdani and others
Journal of Surgical Case Reports, Volume 2023, Issue 2, February 2023, rjad070, https://doi.org/10.1093/jscr/rjad070
Diagnostic nightmare: intra-intestinal bleed masks intra-abdominal bleed after colonoscopy
Hillary M Jackson and others
Journal of Surgical Case Reports, Volume 2023, Issue 2, February 2023, rjad049, https://doi.org/10.1093/jscr/rjad049
Surgical therapy of aorto-iliac aneurysm in a patient with congenital solitary pelvic kidney (CSPK): case report and literature review
Amedeo Capone and others
Journal of Surgical Case Reports, Volume 2023, Issue 2, February 2023, rjad053, https://doi.org/10.1093/jscr/rjad053
A rare case of double ectopic thyroid in the superior mediastinum: a case report
Tejus V Nagireddy and others
Journal of Surgical Case Reports, Volume 2023, Issue 2, February 2023, rjad058, https://doi.org/10.1093/jscr/rjad058
Complete resolution of rectal cancer with liver metastases after palliative chemoradiotherapy and unplanned surgical resection—a case report
Zhi S Choong and others
Journal of Surgical Case Reports, Volume 2023, Issue 2, February 2023, rjad060, https://doi.org/10.1093/jscr/rjad060
An unexpected diagnosis of malignant supratentorial intraparenchymal cystic meningioma mimicking high-grade glioma: case report and literature review
Olufemi I Idowu and others
Journal of Surgical Case Reports, Volume 2023, Issue 2, February 2023, rjad062, https://doi.org/10.1093/jscr/rjad062
Tibiofemoral dislocation after total knee arthroplasty treated successfully with an external fixation device
Athanasios Galanis and others
Journal of Surgical Case Reports, Volume 2023, Issue 2, February 2023, rjad063, https://doi.org/10.1093/jscr/rjad063
Testicular choriocarcinoma: a rare diagnosis in a patient presenting with hemorrhagic shock
Michael Mazzeo and others
Journal of Surgical Case Reports, Volume 2023, Issue 2, February 2023, rjad064, https://doi.org/10.1093/jscr/rjad064
An unusual case of colonic duplication cyst in an adult with dysplasia
Aswin Shanmugalingam and others
Journal of Surgical Case Reports, Volume 2023, Issue 2, February 2023, rjad039, https://doi.org/10.1093/jscr/rjad039
Translocation of aberrant right subclavian artery to the ascending aorta—a treatment for dysphagia lusoria
Stephanie Chan and Gary Fermanis
Journal of Surgical Case Reports, Volume 2023, Issue 2, February 2023, rjad054, https://doi.org/10.1093/jscr/rjad054
Acute cholangitis caused by a huge hepatic simple cyst: a case report
Nichaphat Phancharoenkit and others
Journal of Surgical Case Reports, Volume 2023, Issue 2, February 2023, rjad056, https://doi.org/10.1093/jscr/rjad056
A successful endoscopic extraction of accidently ingested toothbrush in an adult: a case report
Ahmad Essam Al-Mulla and others
Journal of Surgical Case Reports, Volume 2023, Issue 2, February 2023, rjad044, https://doi.org/10.1093/jscr/rjad044
Gallbladder volvulus with preoperative and intraoperative imaging
Andrew Stafford Beatty and others
Journal of Surgical Case Reports, Volume 2023, Issue 2, February 2023, rjad048, https://doi.org/10.1093/jscr/rjad048
Non-insulinoma pancreatogenous hypoglycemia syndrome due to nesidioblastosis following bariatric Roux-en-Y gastric bypass
Josephine A Gottsponer and others
Journal of Surgical Case Reports, Volume 2023, Issue 2, February 2023, rjad050, https://doi.org/10.1093/jscr/rjad050
Hidradenitis suppurativa of the breast: a diagnostic dilemma
Travis Fahrenhorst-Jones and others
Journal of Surgical Case Reports, Volume 2023, Issue 2, February 2023, rjad045, https://doi.org/10.1093/jscr/rjad045
A symptomatic cystic axillary mass in a post-partum female
Nicole Werwie and others
Journal of Surgical Case Reports, Volume 2023, Issue 2, February 2023, rjad033, https://doi.org/10.1093/jscr/rjad033
A rare case of survival after traumatic blunt ventricular rupture
Ryan Yang and others
Journal of Surgical Case Reports, Volume 2023, Issue 2, February 2023, rjad059, https://doi.org/10.1093/jscr/rjad059
Adjunctive controlled intrusion of the maxillary first molar using orthodontic miniscrews
Anand Marya and Ervina Restiwulan Winoto
Journal of Surgical Case Reports, Volume 2023, Issue 2, February 2023, rjad047, https://doi.org/10.1093/jscr/rjad047
Atrioventricular groove patch plasty in an infant with pulmonary stenosis after arterial switch operation: a case report
Hironobu Nishiori and others
Journal of Surgical Case Reports, Volume 2023, Issue 2, February 2023, rjad052, https://doi.org/10.1093/jscr/rjad052
An extremely rare neoplasm ‘atypical spindle cell pleomorphic lipomatous tumor’: a case report
Paul William Itule Lugwaja and others
Journal of Surgical Case Reports, Volume 2023, Issue 2, February 2023, rjad040, https://doi.org/10.1093/jscr/rjad040
Pneumatosis cystoides coli in a patient with stage IV diffuse large B-cell lymphoma
Gabriel Atan Sanchez and Andrew Michael Thompson
Journal of Surgical Case Reports, Volume 2023, Issue 2, February 2023, rjad041, https://doi.org/10.1093/jscr/rjad041
Intrathoracic lipoma of chest wall misdiagnosed as liposarcoma with malignant features based on radiological image and intraoperative findings
Sachie Koike and others
Journal of Surgical Case Reports, Volume 2023, Issue 2, February 2023, rjad046, https://doi.org/10.1093/jscr/rjad046
Differentiation of benign nevoid rests and metastatic melanoma in sentinel lymph node biopsy
Joseph Phillipos and others
Journal of Surgical Case Reports, Volume 2023, Issue 2, February 2023, rjad036, https://doi.org/10.1093/jscr/rjad036
Deep vein thrombosis causing abdominal wall varicosities
John H Norys and others
Journal of Surgical Case Reports, Volume 2023, Issue 2, February 2023, rjad004, https://doi.org/10.1093/jscr/rjad004
Bladder perforation as a rare complication of urethra sounding with a blunt marking pen
Mariya Reztsova and others
Journal of Surgical Case Reports, Volume 2023, Issue 2, February 2023, rjad032, https://doi.org/10.1093/jscr/rjad032
Robot-assisted distal gastrectomy for duodenal gastrointestinal stromal tumors adhering to the pancreas: a case report
Ai Sakai and others
Journal of Surgical Case Reports, Volume 2023, Issue 2, February 2023, rjad024, https://doi.org/10.1093/jscr/rjad024
Ventral-inlay buccal mucosal graft urethroplasty in a 44-year old female patient with recurrent urethral stricture
Orlando Burkhardt and others
Journal of Surgical Case Reports, Volume 2023, Issue 2, February 2023, rjad025, https://doi.org/10.1093/jscr/rjad025
Mucinous cystadenoma of the pancreas associated with pancreatic pseudocyst
Atsushi Horiuchi and others
Journal of Surgical Case Reports, Volume 2023, Issue 2, February 2023, rjad026, https://doi.org/10.1093/jscr/rjad026
Kwashiorkor after gastric bypass
Raelina S Howell and others
Journal of Surgical Case Reports, Volume 2023, Issue 2, February 2023, rjad030, https://doi.org/10.1093/jscr/rjad030
Valentino’s syndrome: a bizarre clinical presentation
Dennis Machaku and others
Journal of Surgical Case Reports, Volume 2023, Issue 2, February 2023, rjad035, https://doi.org/10.1093/jscr/rjad035
Iatrogenic arteriovenous fistula after lumbar discectomy surgery: a case report
Kai Tang and others
Journal of Surgical Case Reports, Volume 2023, Issue 2, February 2023, rjac576, https://doi.org/10.1093/jscr/rjac576
Primary pulmonary meningioma with associated multiple micronodules: a case report and literature review
Bei Yang and Jingxin Qiu
Journal of Surgical Case Reports, Volume 2023, Issue 2, February 2023, rjad034, https://doi.org/10.1093/jscr/rjad034
A spontaneous paracecal herniation: a rare form of an uncommon case
Bright Anderson Mwanje and others
Journal of Surgical Case Reports, Volume 2023, Issue 2, February 2023, rjad037, https://doi.org/10.1093/jscr/rjad037
Haemorrhagic mesenteric abscess in infective endocarditis: a unique cause of spontaneous haemoperitoneum
Phillipa Read and others
Journal of Surgical Case Reports, Volume 2023, Issue 2, February 2023, rjad023, https://doi.org/10.1093/jscr/rjad023
Superficial acral fibromyxoma: a case of missed diagnosis
Pierre-Antoine Debordes and others
Journal of Surgical Case Reports, Volume 2023, Issue 2, February 2023, rjad027, https://doi.org/10.1093/jscr/rjad027
Fragility fracture of talar neck in an osteoporotic patient treated by posterior-to-anterior screw fixation under hindfoot endoscopy: a case report
Futoshi Morio and others
Journal of Surgical Case Reports, Volume 2023, Issue 2, February 2023, rjad029, https://doi.org/10.1093/jscr/rjad029
Case Series
New screw technique for posterior column and ischial fixation from the anterior approach for acetabular fractures
Kunihiro Asanuma and others
Journal of Surgical Case Reports, Volume 2023, Issue 2, February 2023, rjad073, https://doi.org/10.1093/jscr/rjad073
Double vision approach applied by two teams for retrosternal gastric conduit for gastric tube cancer
Ryusuke Machino and others
Journal of Surgical Case Reports, Volume 2023, Issue 2, February 2023, rjad068, https://doi.org/10.1093/jscr/rjad068
Cutibacterium acnes in breast implants: an underestimated bacterial infection and review of the literature
Sam Hanna and others
Journal of Surgical Case Reports, Volume 2023, Issue 2, February 2023, rjad042, https://doi.org/10.1093/jscr/rjad042
Two cases of interparietal inguinal hernias undergoing laparoscopic treatment: a case series
Hiroki Ozawa and others
Journal of Surgical Case Reports, Volume 2023, Issue 2, February 2023, rjad051, https://doi.org/10.1093/jscr/rjad051
Necrotising fasciitis: a case series set in rural Australia
Tegan J Kay and others
Journal of Surgical Case Reports, Volume 2023, Issue 2, February 2023, rjad031, https://doi.org/10.1093/jscr/rjad031
Case Series
Current trends in managing TMJ ankylosis in children—summing it up with a case report
Namdeo Prabhu and others
Journal of Surgical Case Reports, Volume 2023, Issue 2, February 2023, rjac550, https://doi.org/10.1093/jscr/rjac550
Advertisement
Advertisement
