Issue navigation
Volume 2016, Issue 3, March 2016
Case reports
Radiofrequency ablation coupled with Roux-en-Y gastric bypass: a treatment option for morbidly obese patients with Barrett's esophagus
Keyur Parikh and Leena Khaitan
Journal of Surgical Case Reports, Volume 2016, Issue 3, March 2016, rjw007, https://doi.org/10.1093/jscr/rjw007
Innovation in Surgery
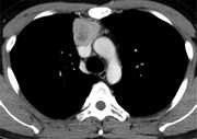
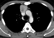
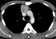
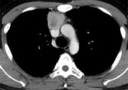
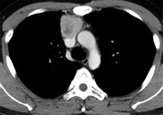
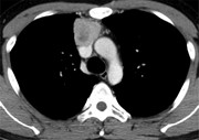
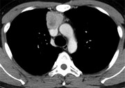
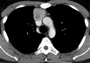
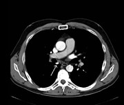
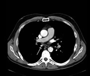
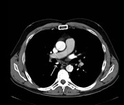
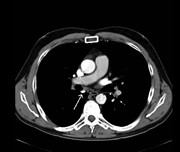
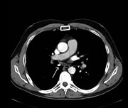
Superior vena cava repair with left brachiocephalic vein flap
Hiroyoshi Tsubochi and others
Journal of Surgical Case Reports, Volume 2016, Issue 3, March 2016, rjw015, https://doi.org/10.1093/jscr/rjw015
Case reports
Pericecal hernia manifesting as a small bowel obstruction successfully treated with laparoscopic surgery
Takuya Ogami and others
Journal of Surgical Case Reports, Volume 2016, Issue 3, March 2016, rjw020, https://doi.org/10.1093/jscr/rjw020
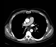
SVC obstruction and stridor relieved by nasogastric tube insertion
Emma J. Molena and others
Journal of Surgical Case Reports, Volume 2016, Issue 3, March 2016, rjw022, https://doi.org/10.1093/jscr/rjw022
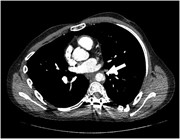
Giant left anterior descending coronary artery aneurysm in an adult male patient with ST elevation myocardial infarction
Mohsen Mirmohammad Sadeghi and Saeid Rezaei Jouzdani
Journal of Surgical Case Reports, Volume 2016, Issue 3, March 2016, rjw023, https://doi.org/10.1093/jscr/rjw023
A case of a urethral diverticular adenocarcinoma after the fenestration of the anterior vaginal wall for pelvic floor abscess
Ryuta Watanabe and others
Journal of Surgical Case Reports, Volume 2016, Issue 3, March 2016, rjw024, https://doi.org/10.1093/jscr/rjw024
An unusual case of spinal cord compression from concomitant spinal epidural lipomatosis and Hodgkin's lymphoma
Hasib Ahmadzai and others
Journal of Surgical Case Reports, Volume 2016, Issue 3, March 2016, rjw025, https://doi.org/10.1093/jscr/rjw025
Blunt aortic trauma in a patient with the Ehlers–Danlos syndrome type VI
Marco Yat Hang Yung and others
Journal of Surgical Case Reports, Volume 2016, Issue 3, March 2016, rjw026, https://doi.org/10.1093/jscr/rjw026
Suppurative appendicitis presenting as acute scrotum confounded by a testicular appendage
Syed Shumon and others
Journal of Surgical Case Reports, Volume 2016, Issue 3, March 2016, rjw027, https://doi.org/10.1093/jscr/rjw027
Unilateral abducens and bilateral facial nerve palsies associated with posterior fossa exploration surgery
Ayman Khalil and others
Journal of Surgical Case Reports, Volume 2016, Issue 3, March 2016, rjw028, https://doi.org/10.1093/jscr/rjw028
An unusual presentation of recurring metastatic melanoma
Rose Park and others
Journal of Surgical Case Reports, Volume 2016, Issue 3, March 2016, rjw030, https://doi.org/10.1093/jscr/rjw030
A game of two discs: a case of non-contiguous and occult cervical spine injury in a rugby player
Michael D. O'Sullivan and others
Journal of Surgical Case Reports, Volume 2016, Issue 3, March 2016, rjw031, https://doi.org/10.1093/jscr/rjw031
Self-inflicted, trans-optic canal, intracranial penetrating injury with a ballpoint pen
Yu-Min Su and Chih-Hsuan Changchien
Journal of Surgical Case Reports, Volume 2016, Issue 3, March 2016, rjw034, https://doi.org/10.1093/jscr/rjw034
Lumbar spine osteomyelitis and epidural abscess formation secondary to acupuncture
Vinesh Godhania
Journal of Surgical Case Reports, Volume 2016, Issue 3, March 2016, rjw035, https://doi.org/10.1093/jscr/rjw035
Life-threatening Petersen's hernia following open Beger's procedure
Yan Li Goh and others
Journal of Surgical Case Reports, Volume 2016, Issue 3, March 2016, rjw036, https://doi.org/10.1093/jscr/rjw036
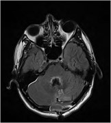
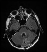
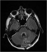
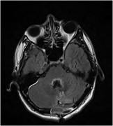
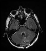
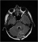
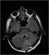
Venous infarction mimicking a neoplasm in spontaneous intracranial hypotension: an unusual cause of Parinaud's syndrome
Timothy James Pengilley Bray and others
Journal of Surgical Case Reports, Volume 2016, Issue 3, March 2016, rjw037, https://doi.org/10.1093/jscr/rjw037
Pott's puffy tumour: the usefulness of MRI in complicated sinusitis
Vishal Bhalla and others
Journal of Surgical Case Reports, Volume 2016, Issue 3, March 2016, rjw038, https://doi.org/10.1093/jscr/rjw038
Aortitis causing rapid growth of a mycotic aortic aneurysm
Zoheb Berry Williams and others
Journal of Surgical Case Reports, Volume 2016, Issue 3, March 2016, rjw040, https://doi.org/10.1093/jscr/rjw040
Synchronous adenocarcinoma and neuroendocrine carcinoma of the colon: a case report
Sonmoon Mohapatra and others
Journal of Surgical Case Reports, Volume 2016, Issue 3, March 2016, rjw042, https://doi.org/10.1093/jscr/rjw042
Anomalous right upper lobe venous drainage
M. Tarazi and others
Journal of Surgical Case Reports, Volume 2016, Issue 3, March 2016, rjw043, https://doi.org/10.1093/jscr/rjw043
Advertisement
Advertisement


















