Issue navigation
Volume 2016, Issue 4, April 2016
Case reports
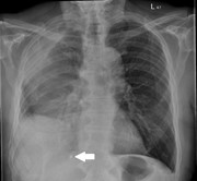
A case of recurrent desmoplastic malignant melanoma presenting as empyema with underlying lung mass
Mangaladevi S. Patil and others
Journal of Surgical Case Reports, Volume 2016, Issue 4, April 2016, rjw029, https://doi.org/10.1093/jscr/rjw029
Undiagnosed hypothyroidism presenting with sigmoid volvulus
Vadim Meytes and others
Journal of Surgical Case Reports, Volume 2016, Issue 4, April 2016, rjw033, https://doi.org/10.1093/jscr/rjw033
Case Report
Post-traumatic Lipoma of the Parotid gland
Satnam Singh Rehal and others
Journal of Surgical Case Reports, Volume 2016, Issue 4, April 2016, rjw041, https://doi.org/10.1093/jscr/rjw041
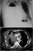
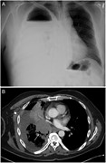
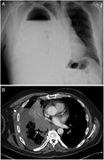
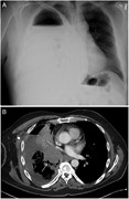
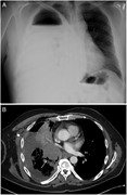
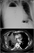
Superior vena cava syndrome from an invasive thymoma with transcaval invasion to the right atrium
Ashwad Afzal and others
Journal of Surgical Case Reports, Volume 2016, Issue 4, April 2016, rjw044, https://doi.org/10.1093/jscr/rjw044
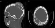
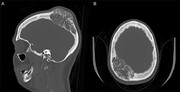
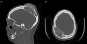
Giant calvarial intraosseous angiolipoma: a case report and review of the literature
Rahul Singh and others
Journal of Surgical Case Reports, Volume 2016, Issue 4, April 2016, rjw051, https://doi.org/10.1093/jscr/rjw051
Appendicitis after laparoscopic ovarian cystectomy—coincidence or complication
Dalia Mirjam Gallmann and others
Journal of Surgical Case Reports, Volume 2016, Issue 4, April 2016, rjw052, https://doi.org/10.1093/jscr/rjw052
Endometrial decidualization: a rare cause of acute appendicitis during pregnancy
Skyle J. Murphy and others
Journal of Surgical Case Reports, Volume 2016, Issue 4, April 2016, rjw053, https://doi.org/10.1093/jscr/rjw053
Innovation in Surgery
A novel technique for hepatic vein reconstruction during hepatectomy
Rodrigo C. Surjan and others
Journal of Surgical Case Reports, Volume 2016, Issue 4, April 2016, rjw054, https://doi.org/10.1093/jscr/rjw054
Case Report
A case of a retained drain tip following intercostal drain insertion: avoiding a ‘never event’
Nicola K. Oswald and others
Journal of Surgical Case Reports, Volume 2016, Issue 4, April 2016, rjw055, https://doi.org/10.1093/jscr/rjw055
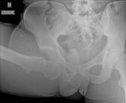
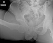
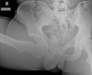
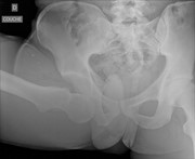
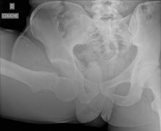
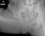
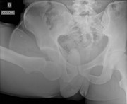
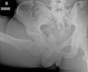
Traumatic inferior hip dislocation: a rare adult case with ipsilateral bifocal hip fracture
Majd El Hajj Moussa and others
Journal of Surgical Case Reports, Volume 2016, Issue 4, April 2016, rjw056, https://doi.org/10.1093/jscr/rjw056
Electrical stimulation treatment for facial palsy after revision pleomorphic adenoma surgery
Simon Goldie and others
Journal of Surgical Case Reports, Volume 2016, Issue 4, April 2016, rjw057, https://doi.org/10.1093/jscr/rjw057
A case of Fournier’s gangrene in a young immunocompetent male patient resulting from a delayed diagnosis of appendicitis
Michael Wanis and others
Journal of Surgical Case Reports, Volume 2016, Issue 4, April 2016, rjw058, https://doi.org/10.1093/jscr/rjw058
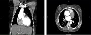
Surgical repair of aortic dissection 16 years post-Ross procedure
Mollie R. Myers and others
Journal of Surgical Case Reports, Volume 2016, Issue 4, April 2016, rjw059, https://doi.org/10.1093/jscr/rjw059
Ductus arteriosus aneurysm presenting as hoarseness: successful repair with an endovascular approach
Simon De Freitas and others
Journal of Surgical Case Reports, Volume 2016, Issue 4, April 2016, rjw060, https://doi.org/10.1093/jscr/rjw060
Symptomatic lymphoepithelial cyst of the pancreas: successful treatment without pancreatic resection
John M. Ruggero and Shivana N. Prakash
Journal of Surgical Case Reports, Volume 2016, Issue 4, April 2016, rjw061, https://doi.org/10.1093/jscr/rjw061
Medial malleolus fracture of the ankle combined with rupture of the Achilles tendon
Jike Lu and Masumi Maruo Holledge
Journal of Surgical Case Reports, Volume 2016, Issue 4, April 2016, rjw062, https://doi.org/10.1093/jscr/rjw062
Osteoporotic spinal burst fracture in a young adult as first presentation of systemic mastocytosis
Christina Ble and others
Journal of Surgical Case Reports, Volume 2016, Issue 4, April 2016, rjw063, https://doi.org/10.1093/jscr/rjw063
Duplicated extrahepatic bile duct identified following cholecystectomy injury
Lauren Hoepfner and others
Journal of Surgical Case Reports, Volume 2016, Issue 4, April 2016, rjw064, https://doi.org/10.1093/jscr/rjw064
Advertisement
Advertisement

















