Issue navigation
Volume 2021, Issue 7, July 2021
Case Report
Buried bumper syndrome: a case report of an early PEG gastropexy-associated complication in a patient with gastric volvulus
Amenah Dhannoon and others
Journal of Surgical Case Reports, Volume 2021, Issue 7, July 2021, rjab261, https://doi.org/10.1093/jscr/rjab261
Robotic-assisted laparoscopic retrieval of a migrated IUCD in the pelvis
Kelvin Adasonla and others
Journal of Surgical Case Reports, Volume 2021, Issue 7, July 2021, rjab268, https://doi.org/10.1093/jscr/rjab268
Small bowel obstruction due to a congenital adhesion: a rare case report
Kostas Tepelenis and others
Journal of Surgical Case Reports, Volume 2021, Issue 7, July 2021, rjab282, https://doi.org/10.1093/jscr/rjab282
Sliding Amyand’s hernia: a case report and review of literature
Amr Elgazar and others
Journal of Surgical Case Reports, Volume 2021, Issue 7, July 2021, rjab288, https://doi.org/10.1093/jscr/rjab288
Recurrent solitary fibrous tumor of the pleura with malignant transformation: a case report
Risa Sakamoto and others
Journal of Surgical Case Reports, Volume 2021, Issue 7, July 2021, rjab283, https://doi.org/10.1093/jscr/rjab283
Jejunogastric intussusception: a case report of rare complication of gastrojejunostomy
Narjes Mohammadzadeh and others
Journal of Surgical Case Reports, Volume 2021, Issue 7, July 2021, rjaa612, https://doi.org/10.1093/jscr/rjaa612
Late-onset capsular bag distention syndrome resistant to laser treatment: a case report
Khalid Saad Almousa and Mohammed Nabeel Refka
Journal of Surgical Case Reports, Volume 2021, Issue 7, July 2021, rjab278, https://doi.org/10.1093/jscr/rjab278
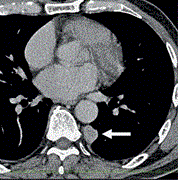
Surgical repair of a right coronary aneurysm with a coronary artery fistula to the right atrium
Shigeki Yokoyama and others
Journal of Surgical Case Reports, Volume 2021, Issue 7, July 2021, rjab286, https://doi.org/10.1093/jscr/rjab286
Acute ischaemia of the upper limb following peripherally inserted central catheter—a venous to arterial complication cascade
Khaleel A Hamdulay and Rene van den Bosch
Journal of Surgical Case Reports, Volume 2021, Issue 7, July 2021, rjab188, https://doi.org/10.1093/jscr/rjab188
Intra-abdominal rectal perforation post-haemorrhoidal artery ligation operation and converted Ligasure open haemorrhoidectomy
Natalie Simon and others
Journal of Surgical Case Reports, Volume 2021, Issue 7, July 2021, rjab289, https://doi.org/10.1093/jscr/rjab289
De Garengeot hernia masquerading as a painless groin lump: a case report
Muhammad A Chaudhry and others
Journal of Surgical Case Reports, Volume 2021, Issue 7, July 2021, rjab291, https://doi.org/10.1093/jscr/rjab291
Immediate one-stage breast reconstruction for an 85-year-old breast cancer patient using deep inferior epigastric perforator flap surgery
Koshi Matsui and others
Journal of Surgical Case Reports, Volume 2021, Issue 7, July 2021, rjab241, https://doi.org/10.1093/jscr/rjab241
Internal jugular vein duplication: clinical significance for head and neck cancer ablative and reconstructive surgery
Fatemeh Hedayat and others
Journal of Surgical Case Reports, Volume 2021, Issue 7, July 2021, rjab300, https://doi.org/10.1093/jscr/rjab300
Transversus abdominis release for complex incisional hernias—a case report
Sunil Basukala and others
Journal of Surgical Case Reports, Volume 2021, Issue 7, July 2021, rjab281, https://doi.org/10.1093/jscr/rjab281
Rare appendiceal escapades in childhood: the Grande experience!
Ashish Lal Shrestha and others
Journal of Surgical Case Reports, Volume 2021, Issue 7, July 2021, rjab284, https://doi.org/10.1093/jscr/rjab284
Post-colonoscopy appendicitis: a case report
Kostas Tepelenis and others
Journal of Surgical Case Reports, Volume 2021, Issue 7, July 2021, rjab285, https://doi.org/10.1093/jscr/rjab285
Red degeneration of a large leiomyoma in a non-pregnant woman in pursuit of 17 pregnancies: a case report
Dema Adwan and Sami Jomaa
Journal of Surgical Case Reports, Volume 2021, Issue 7, July 2021, rjab287, https://doi.org/10.1093/jscr/rjab287
Bridging the intracranial pressure gap: a smooth transition strategy for slit ventricle syndrome
Sang-Youl Yoon and others
Journal of Surgical Case Reports, Volume 2021, Issue 7, July 2021, rjab290, https://doi.org/10.1093/jscr/rjab290
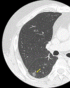
An aberrant medial basal segmental pulmonary artery (A7b) behind the superior segmental pulmonary vein (V6) in a patient undergoing right superior segment (S6) segmentectomy
Yoshiaki Takase and others
Journal of Surgical Case Reports, Volume 2021, Issue 7, July 2021, rjab294, https://doi.org/10.1093/jscr/rjab294
Management and positive outcome of skull-base ossifying fibroma: a case report
Sofia El Akroud and others
Journal of Surgical Case Reports, Volume 2021, Issue 7, July 2021, rjab304, https://doi.org/10.1093/jscr/rjab304
Renal hydatidosis masquerading as xanthogranulomatous pyelonephritis: a new case report
Amine Hermi and others
Journal of Surgical Case Reports, Volume 2021, Issue 7, July 2021, rjab306, https://doi.org/10.1093/jscr/rjab306
Pulmonary torsion after resuscitative thoracotomy: a case report
Daisuke Hara and others
Journal of Surgical Case Reports, Volume 2021, Issue 7, July 2021, rjab313, https://doi.org/10.1093/jscr/rjab313
Synchronous breast invasive ductal carcinoma and clear cell renal carcinoma: case report and a review of literature
Amr Elgazar and others
Journal of Surgical Case Reports, Volume 2021, Issue 7, July 2021, rjab317, https://doi.org/10.1093/jscr/rjab317
Kimura’s disease: a rare cause of chronic neck lymphadenopathy
Kenneth Y Y Kok and Edwin C C Lim
Journal of Surgical Case Reports, Volume 2021, Issue 7, July 2021, rjab318, https://doi.org/10.1093/jscr/rjab318
A rare case of intussusception through a prolapsed end colostomy
Hugo Temperley and others
Journal of Surgical Case Reports, Volume 2021, Issue 7, July 2021, rjab319, https://doi.org/10.1093/jscr/rjab319
Ulnar nerve compression secondary to migration of pyrocarbon implant following right wrist arthroplasty
Lok Ka Cheung and others
Journal of Surgical Case Reports, Volume 2021, Issue 7, July 2021, rjab296, https://doi.org/10.1093/jscr/rjab296
Gallstone extraction from a back abscess resulting from spilled gallstones during laparoscopic cholecystectomy: a case report
Saqib Mehmood and others
Journal of Surgical Case Reports, Volume 2021, Issue 7, July 2021, rjab293, https://doi.org/10.1093/jscr/rjab293
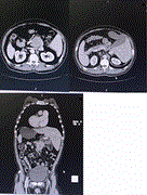
Recurrent midgut volvulus in an 83-year-old female
Lorna Kang and others
Journal of Surgical Case Reports, Volume 2021, Issue 7, July 2021, rjab298, https://doi.org/10.1093/jscr/rjab298
Right-sided patent ductus arteriosus with bovine aortic arch, tetralogy of Fallot, dextrocardia and situs inversus
Khairil Amir Sayuti and others
Journal of Surgical Case Reports, Volume 2021, Issue 7, July 2021, rjab307, https://doi.org/10.1093/jscr/rjab307
Atypical primary hyperparathyroidism due to parathyroid lipoadenoma: a case report
Francesco Cammarata and others
Journal of Surgical Case Reports, Volume 2021, Issue 7, July 2021, rjab308, https://doi.org/10.1093/jscr/rjab308
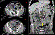
Midgut malrotation: a rare presentation of bowel obstruction in the adult
Ulanda Singh and Akil Baker
Journal of Surgical Case Reports, Volume 2021, Issue 7, July 2021, rjab309, https://doi.org/10.1093/jscr/rjab309
Salvage of a perfectly functioning sacral neuromodulation device (InterStimâ„¢) with asymptomatic tined lead wire skin exposure
Tariq F Al-Shaiji
Journal of Surgical Case Reports, Volume 2021, Issue 7, July 2021, rjab310, https://doi.org/10.1093/jscr/rjab310
Peritoneal defect herniation causing small bowel obstruction: a rare complication of transabdominal preperitoneal repair
Enda Hannan and others
Journal of Surgical Case Reports, Volume 2021, Issue 7, July 2021, rjab263, https://doi.org/10.1093/jscr/rjab263
Fatal attraction: intestinal amebiasis and COVID-19 as risk factors for colonic perforation
Jorge Alberto Dorantes and others
Journal of Surgical Case Reports, Volume 2021, Issue 7, July 2021, rjab301, https://doi.org/10.1093/jscr/rjab301
Large anterior tibial artery pseudoaneurysm as a rare complication to vascular surgery
Emilie Nøddeskov Eilersen and Michael Strøm
Journal of Surgical Case Reports, Volume 2021, Issue 7, July 2021, rjab303, https://doi.org/10.1093/jscr/rjab303
Acute traumatic abdominal wall hernia—value of the physical examination: case report
Barbara Yordanis Hernandez Cervantes and others
Journal of Surgical Case Reports, Volume 2021, Issue 7, July 2021, rjab314, https://doi.org/10.1093/jscr/rjab314
A laparoscopic pancreaticoduodenectomy for pancreatic adenocarcinoma in a patient with situs inversus totalis
Maher Al Hussan and others
Journal of Surgical Case Reports, Volume 2021, Issue 7, July 2021, rjab316, https://doi.org/10.1093/jscr/rjab316
A case of seat belt-induced small bowel rupture and Chance fracture accompanied by elevated serum amylase
Yukihiro Tatekawa
Journal of Surgical Case Reports, Volume 2021, Issue 7, July 2021, rjab315, https://doi.org/10.1093/jscr/rjab315
Atypical ductal hyperplasia of the breast mimics breast cancer presentation treated surgically: a case report and literature review
Nawaf M Alwagdani and others
Journal of Surgical Case Reports, Volume 2021, Issue 7, July 2021, rjab325, https://doi.org/10.1093/jscr/rjab325
Malignant phyllodes tumor with synchronous metastases to axillary lymph nodes, lung at the presentation: a case report and literature review
Quang Hong Le and Vuong The Mai
Journal of Surgical Case Reports, Volume 2021, Issue 7, July 2021, rjab302, https://doi.org/10.1093/jscr/rjab302
Xanthogranulomatous appendicitis with elevated tumor marker misdiagnosed as cecal cancer: a case report
Shunichi Ito and others
Journal of Surgical Case Reports, Volume 2021, Issue 7, July 2021, rjab274, https://doi.org/10.1093/jscr/rjab274
Peripheral facial nerve schwannoma at the inferior mandibular margin: a case report
Akiko Sakakibara and others
Journal of Surgical Case Reports, Volume 2021, Issue 7, July 2021, rjab299, https://doi.org/10.1093/jscr/rjab299
Oculomotor nerve palsy following coronary artery bypass graft surgery: can pituitary apoplexy complicate the post-operative course of cardiac surgery?
Ali Alkhaibary and others
Journal of Surgical Case Reports, Volume 2021, Issue 7, July 2021, rjab312, https://doi.org/10.1093/jscr/rjab312
Rhabdomyosarcoma in the maxillary gingiva of a child patient
Yuko Komatsu and others
Journal of Surgical Case Reports, Volume 2021, Issue 7, July 2021, rjab322, https://doi.org/10.1093/jscr/rjab322
Thyroid hyalinizing trabecular adenoma with a high thyroglobulin level: a case report
Hirofumi Katano and others
Journal of Surgical Case Reports, Volume 2021, Issue 7, July 2021, rjab324, https://doi.org/10.1093/jscr/rjab324
Novel approach to removing a steel bar extending from the scrotum to anterior abdominal wall: a case report
Chen-Yueh Wen and others
Journal of Surgical Case Reports, Volume 2021, Issue 7, July 2021, rjab330, https://doi.org/10.1093/jscr/rjab330
Case Series
A novel fixation method for unstable ankle fractures in the elderly using dual percutaneous tibiotalar cannulated screws
Daniel W Hancock and others
Journal of Surgical Case Reports, Volume 2021, Issue 7, July 2021, rjab311, https://doi.org/10.1093/jscr/rjab311
Swirl sign in post-Roux-en-Y gastric bypass patients: a case series
Ahmad E Al-Mulla and others
Journal of Surgical Case Reports, Volume 2021, Issue 7, July 2021, rjab321, https://doi.org/10.1093/jscr/rjab321
Advertisement
Advertisement