Issue navigation
Volume 2016, Issue 6, June 2016
Case Report
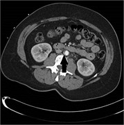
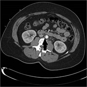
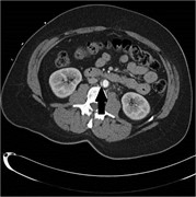
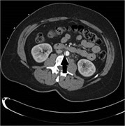
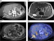
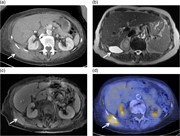
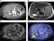
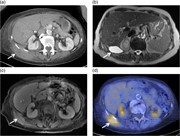
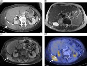
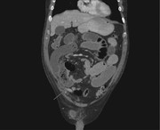
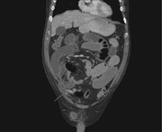
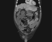
Retroperitoneal calcifying fibrous tumor mimicking an adrenal tumor
Erica C. Prochaska and others
Journal of Surgical Case Reports, Volume 2016, Issue 6, June 2016, rjw049, https://doi.org/10.1093/jscr/rjw049
Esophageal Dieulafoy's lesion: an exceedingly rare cause of massive upper GI bleeding
George P. Malliaras and others
Journal of Surgical Case Reports, Volume 2016, Issue 6, June 2016, rjw074, https://doi.org/10.1093/jscr/rjw074
Indirect cavernous carotid fistula in a 12-year-old girl
Francesca Livi and others
Journal of Surgical Case Reports, Volume 2016, Issue 6, June 2016, rjw095, https://doi.org/10.1093/jscr/rjw095
A rare case of appendicitis incarcerated in an inguinal hernia
Eduardo Smith-Singares and others
Journal of Surgical Case Reports, Volume 2016, Issue 6, June 2016, rjw096, https://doi.org/10.1093/jscr/rjw096
Blunt traumatic infrarenal aortic intimal flap progressing to pseudoaneurysm over 3 months
John Alfred Carr
Journal of Surgical Case Reports, Volume 2016, Issue 6, June 2016, rjw099, https://doi.org/10.1093/jscr/rjw099
Theatrical fire pursuant exploratory laparotomy
Oliver C. Bellevue and others
Journal of Surgical Case Reports, Volume 2016, Issue 6, June 2016, rjw100, https://doi.org/10.1093/jscr/rjw100
Perforated second trimester appendicitis with abdominal compartment syndrome managed with negative pressure wound therapy and open abdomen
Adam R. Turnock and others
Journal of Surgical Case Reports, Volume 2016, Issue 6, June 2016, rjw101, https://doi.org/10.1093/jscr/rjw101
Delayed iliacus compartment syndrome following femoral artery puncture: case report and literature review
Bibombe P. Mwipatayi and others
Journal of Surgical Case Reports, Volume 2016, Issue 6, June 2016, rjw102, https://doi.org/10.1093/jscr/rjw102
A case of surgically treated peristomal pyoderma gangrenosum in a patient with rheumatoid arthritis
Masoomeh Khajehnoori and Tim O'Brien
Journal of Surgical Case Reports, Volume 2016, Issue 6, June 2016, rjw103, https://doi.org/10.1093/jscr/rjw103
Female genital mutilation management in the ambulatory clinic setting: a case study and review of the literature
Spencer Craven and others
Journal of Surgical Case Reports, Volume 2016, Issue 6, June 2016, rjw104, https://doi.org/10.1093/jscr/rjw104
Surgical management for retained distal embolic protection device and fractured guidewire after carotid artery stenting
Tongxun Li and others
Journal of Surgical Case Reports, Volume 2016, Issue 6, June 2016, rjw105, https://doi.org/10.1093/jscr/rjw105
Delayed phlegmon with gallstone fragments masquerading as soft tissue sarcoma
Laura F. Goodman and others
Journal of Surgical Case Reports, Volume 2016, Issue 6, June 2016, rjw106, https://doi.org/10.1093/jscr/rjw106
Recurrent gluteal haematoma: two internal iliac artery-associated bleeding points
Bilal Rafique and others
Journal of Surgical Case Reports, Volume 2016, Issue 6, June 2016, rjw107, https://doi.org/10.1093/jscr/rjw107
An unusual cause of pain in the hip
Paul D. Nesbitt and others
Journal of Surgical Case Reports, Volume 2016, Issue 6, June 2016, rjw109, https://doi.org/10.1093/jscr/rjw109
Solitary fibrous tumour of gluteus: a case report about an uncommon localization of a rare neoplasm
Savino Occhionorelli and others
Journal of Surgical Case Reports, Volume 2016, Issue 6, June 2016, rjw111, https://doi.org/10.1093/jscr/rjw111
Spontaneous appendico-cutaneous fistula: an unusual presentation of retroperitoneal appendicular perforation associated with psoas abscess
Mahendra Pratap Singh and others
Journal of Surgical Case Reports, Volume 2016, Issue 6, June 2016, rjw112, https://doi.org/10.1093/jscr/rjw112
Lung cancer metastasis presenting as a solitary skull mass
Ryan C. Turner and others
Journal of Surgical Case Reports, Volume 2016, Issue 6, June 2016, rjw116, https://doi.org/10.1093/jscr/rjw116
Small bowel obstruction caused by self-anchoring suture used for peritoneal closure following robotic inguinal hernia repair
Faraz A. Khan and others
Journal of Surgical Case Reports, Volume 2016, Issue 6, June 2016, rjw117, https://doi.org/10.1093/jscr/rjw117
Advertisement
Advertisement
















