- 
        
            PDF 
- Split View
- 
                            
                                
                                Views
- 
    CiteCiteMahendra Pratap Singh, Atul Samaiya, Tarun Kumar Sainia, Agamya Saxena, Spontaneous appendico-cutaneous fistula: an unusual presentation of retroperitoneal appendicular perforation associated with psoas abscess, Journal of Surgical Case Reports, Volume 2016, Issue 6, June 2016, rjw112, https://doi.org/10.1093/jscr/rjw112 Close
- Share Icon Share
Abstract
Spontaneous appendico-cutaneous fistula is an extremely rare complication of appendicitis and only a few cases are reported in literature. We present one such case in a 65-year-old diabetic male who had recurrent atypical abdominal pain for 32 years. The patient also had recurrent right psoas abscess, which had failed to respond to a repeated surgical drainage, antibiotics and anti-tubercular treatment. Patient presented to us with recurrent discharging sinus in right lumbar region since 6 months. Multi-detector computed tomography (MDCT) suspected the appendicitis as a possible cause. On laparotomy, retroperitoneal perforated appendix tip was found communicating with the fistulous tract. Appendectomy with excision of fistulous tract resulted in cure. To prevent inappropriate treatment and complication in such atypical presentation of appendicitis, high index of suspicion is required and MDCT is a very useful tool for making correct diagnosis.
Introduction
Appendicitis is one of the common cause of right lower quadrant abdominal pain. It is well known to have a varied presentation, difficult preoperative diagnosis and life threatening consequences if not treated appropriately.
The fistula from appendix is usually an internal fistula involving most commonly urinary bladder, ileum, caecum, duodenum, ascending colon, Meckel's diverticulum and uterus in descending order of frequency. The occurrence of appendico-cuteneous fistula is extremely rare and only a few cases reported [1].
This paper describes one such case of spontaneous appendico-cutaneous fistula (SACF) associated with intractable right psoas abscess.
Case Report
A 65-year-old diabetic gentleman presented to us with a 6-month history of recurrent discharging sinus from right lumbar region. He had a history of recurrent episodes of abdominal pain in right lumbar region for 32 years. The pain was associated with limping. The patient also experienced anorexia, fullness of abdomen, nausea and mild fever during the episodes and the patient rarely consulted any physician and resorted to self medication with antibiotics and analgesics for symptomatic relief. About 14-year ago, when the condition started worsening, he got admitted in a hospital and diagnosed as right psoas abscess, which was treated with an open surgical drainage. However, the patient had only temporary relief and symptoms recurred again after 2 years. He was treated in different hospitals thereafter for recurrent right psoas abscess with repeated surgical drainage, antibiotics and also received anti-tubercular treatment but he failed to respond to any treatment given.
The patient had sudden onset of spontaneous discharge from right lumbar region around 6 months before the presentation to us. Since then he had recurrent discharge from same site. The associated symptoms like anorexia, fullness of abdomen, nausea and mild fever were relieved after the discharge.
Imaging reports from previous hospitalization included ultrasonography, contrast enhance computed tomography (conventional) abdomen, magnetic resonance imaging spine and CT fistulogram. All failed to demonstrate appendix perforating into retroperitoneum.
The physical examination revealed chronically ill, afebrile patient with the flexed right hip with restricted extension. A cutaneous opening measuring 3 mm in diameter with surrounding indurations in the right lumbar region at the anterior end of one of the scar is seen discharging thin, sero-purulent fluid (Fig. 1).

Showing cutaneous opening at anterior end of one of the surgical scar in right lumbar region.
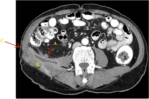
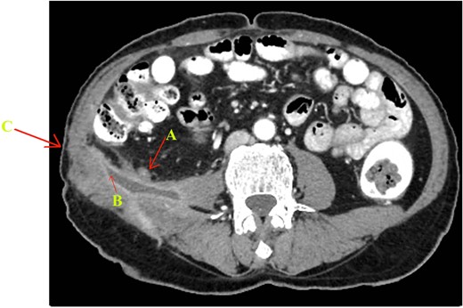
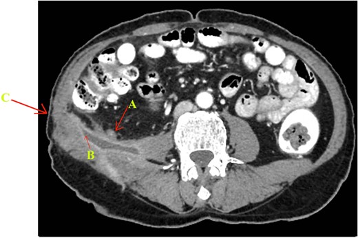
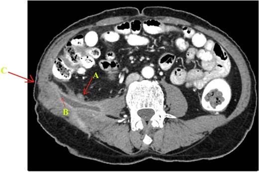
The culture of the discharge demonstrated mixed bacilli. The fluid was negative for AFB and fungus on staining. A multi-detector computed tomography (MDCT) abdomen with multi-planner reformation (MPR) images revealed a chronic inflamed thick-walled appendix tip leading to a high-density fluid collection over right psoas muscle in retroperitonium, which was then seen communicating exteriorly with a fistulous tract. There was no intraperitoneal collection noticed (Fig. 2).

MDCT abdomen with thin axial post-contrast image showing (A) appendix tip opening in (B) psoas abscess cavity leading to (C) fistulous tract opening externaly in right lumbar region.
On laparotomy an inflamed, thick, retrocaecal perforated appendix tip densely adhered to a small retroperitoneal cavity over the right psoas muscle was seen (Fig. 3). This was communicated with thick-walled fistulous tract traversing along postero-lateral abdominal wall and opening externally in right lumbar region near anterior end of one of the surgical scar. Appendectomy along with excision of cutaneous fistulous tract was done. Post-operative course was uneventful. The patient has shown no recurrence after 1 year of surgery.

Intraoperative image showing retrocaecal appendix with tip adhered to psoas muscle.
Histopathology demonstrated features of chronic appendicitis, peri-appendicitis and fistulous tract lined with chronic inflammatory cells (Fig. 4). There were no features of tuberculosis or Crohn's disease.

Post-operative specimen showing (A) appendix with perforated tip communicating to (B) fistulous tract with (C) cutaneous opening.
Discussion
Appendiceal fistula is not the same that results following an appendectomy. The main mechanism of formation of an appendiceal fistula is the ‘spontaneous rupture of inflamed appendix into the adjacent bowel or the skin’ [2] and obstruction due to appendiceal calculus, malignancy or tuberculosis prevents spontaneous closure [2–4]. The cutaneous opening of these fistulas can be in right buttock, right flank, iliac fossa, groin or umbilicus. This shows that external opening gives no clue about origin of fistulous tract [5, 6]. The variable position of the tip of appendix responsible for the variability in the position of ACF and considering retrocaecal position the most common, the retroperitoneal perforation of appendix resulting in psoas abscess cannot be overemphasized [1, 6].
The case illustrated an unusual presentation of chronic recurrent appendicitis with intractable right psoas abscess due to retroperitoneal perforation of appendix. Due to this, the diagnoses of appendicitis was delayed and resulted in SACF. It was unusual psoas abscess around perforated appendix that prevented spontaneous closure and caused persistence of the fistula.
Psoas spasm is helpful physical sign suggesting retroperitoneal as oppose to intraperitoneal origin but an intraperitoneal pathology cannot be excluded in a patient presenting without abdominal symptoms [7]. The formation of complicated retroperitoneal abscesses could be serious complication of perforated acute appendicitis. The mortality remains high in such secondary abscess (16.7%) and requires early diagnosis [8].
In cases with atypical presentation, MDCT with MPR images may provide improved appendiceal visualization, extension of the disease and evaluation for surgical planning [9]. This actually helped in diagnoses in our case also. We did an open appendectomy with excision of fistulous tract that is the mainstay of treatment [10].
In conclusion, the SACF is extremely rare complication of appendicitis that offers diagnostic challenge especially when presents following unusual life threatening retroperitoneal perforation and psoas abscess. MDCT abdomen is very helpful in making accurate preoperative diagnosis and an early appendectomy with excision of fistulous tract is needed to cure the condition.
Conflict of interest statement
None declared.
