-
PDF
- Split View
-
Views
-
Cite
Cite
Eduardo Smith-Singares, Joseph Adjei Boachie, Izaskun Melania Iglesias, A rare case of appendicitis incarcerated in an inguinal hernia, Journal of Surgical Case Reports, Volume 2016, Issue 6, June 2016, rjw096, https://doi.org/10.1093/jscr/rjw096
Close - Share Icon Share
Abstract
Amyand's hernia was coined after Claudius Amyand (1660–1740), who was the first to describe the presence of a perforated appendix in a hernial sac and also was the first to perform a successful appendectomy in 1735. It is an exceptionally rare condition in which the hernia itself contains the appendix, which may not necessarily be inflamed. The presence of an inflamed appendix further contributes to the rarity of this case. We report a case of acute appendicitis brought on by its incarceration in the inguinal hernia.
Introduction
Amyand's hernia is an inguinal hernia; a protrusion of abdominal cavity content through the inguinal canal, with an incarcerated vermiform appendix. The occurrence of this condition is rare, even more so with concurrent incarcerated appendicitis. The following is a description of such a case.
Case Report
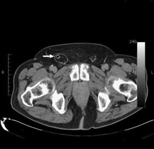
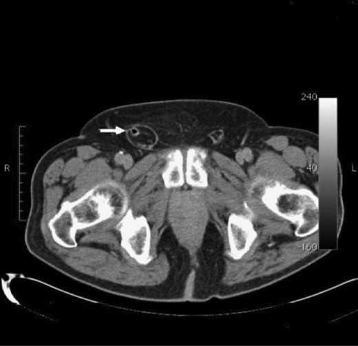
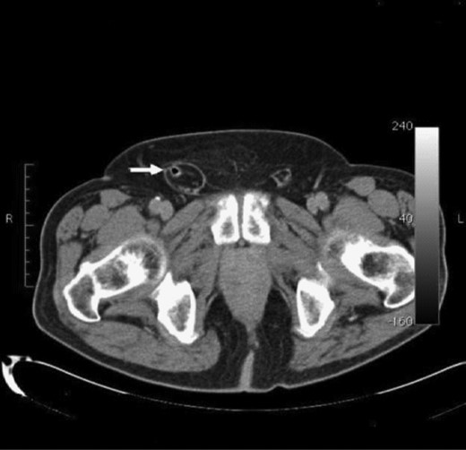
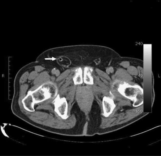
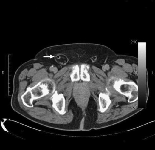
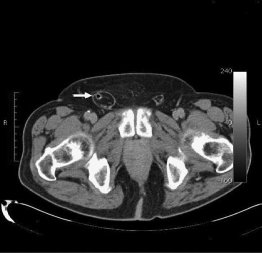
A 71-year-old male arrived at our hospital with severe abdominal pain and two episodes of dark, bloody emesis. He was afebrile, with vitals within normal limits. His medical history included hypertension, diabetes mellitus, hyperlipidemia, cerebrovascular accident, coronary artery disease, peptic ulcer disease, depression and substance abuse, and he had been compliant with his medical treatments. Surgical history was significant for a hand surgery years prior. He had no allergies and family history was non-contributory. He endorsed constipation for 2–3 days and localized severe periumbilical pain. A non-reducible right groin mass with severe tenderness to palpation was noted on physical exam. A CT scan with oral enhancing contrast of the abdomen and pelvis showed right inguinal hernia with an incarcerated, inflamed vermiform appendix and obstructing fecalith (Fig. 1). A preoperative diagnosis of an Amyand's hernia was made and the patient was prepared for surgery.

CT scan of a right inguinal hernia with incarcerated, inflamed vermiform appendix and an obstructing fecalith.
In the Operating Room, an incision was made above the external inguinal ring and carried down to expose a large hernia sac which was opened, revealing the incarcerated, inflamed appendix (Fig. 2). The appendix was grasped with a Babcock clamp and an appendectomy was performed, with stump inversion. The cecum was re-delivered into the abdomen via the hernia sac which was divided and excised, making sure to preserve structures of the spermatic cord. The Bassini technique was then used to repair the hernia.

Inflamed vermiform appendix incarcerated in a right inguinal hernia.
The patient's postoperative course was unremarkable. The pathology report was consistent with acute, phlegmonous appendicitis and the fibromembranous tissue of the inguinal hernia showed marked congestion and focal acute hemorrhage. Patient follow-up at one week, one month and six months post-op, were unremarkable, with no hernia recurrences.
Discussion
This rare condition was named after Claudius Amyand, an English Sergeant and Principal Surgeon at St. George's Hospital in London. He performed the first appendectomy on an 11-year-old boy who had a concurrent inguinal hernia, on the 6th of December, 1735 [1]. It is common to have omentum or small bowel as the inguinal hernia content, however other peculiar fillings such as the bladder, part of the small bowel (Richter's hernia) or a Meckel's diverticulum (Littre's hernia) have been discovered upon surgical exploration. The reported incidence of Amyand's hernia is less than 1% with histologically normal appendix; having an inflamed or perforated appendix decreases that incidence to less than 0.1% [2–4]. This is consistent with the report from Ryan who found only 11 out of 8692 cases of acute appendicitis in an external hernia, as well as recent reports from D'Alia et al. in 2003 with findings of 0.07% of acute appendicitis in a hernia sac; a total of 1341 cases over 13 years [2, 3, 5]. The age group of patients who had this type of hernia is very non-specific and ranges from 19 days old to 89 years old [6, 7].
An appendix incarcerated within a hernia, as seen in Amyand's hernia, makes it vulnerable to trauma and adhesions, further restricting it from sliding back into the abdominal cavity and increasing the risk of inflammation. One method of management is laparoscopic retraction of the appendix back into the abdominal cavity followed by an appendectomy and an open hernia repair [8]. Supporters of incidental appendectomy (i.e., removing an otherwise normal appendix) report a decrease in morbidity and mortality. It is suggested that manipulation of the appendix without its removal during a herniorrhaphy might lead to appendicitis in the future. Ofili reports 2 cases of acute appendicitis following inguinal hernia repair without incidental appendectomy, and 11 cases of herniorrhaphy with incidental appendectomies without any wound infection or hernia recurrence [9]. The use of mesh to repair the hernia has been a topic of controversy. Some see it as contraindicated due to the increased chances of having an inflammatory response from the contaminated abdominal wall and the synthetic prosthesis [2, 4]. Sharma et al. argue that it is safe to retain a normal appendix and to use mesh to repair the hernia [6].
To make the diagnosis of Amyand's Hernia preoperatively can be difficult, to which Thomas et al. alluded in 1982, and which was confirmed by Weber, as only 1 out of 60 cases has been preoperatively diagnosed up to the year of 1999 [5, 10]. CT scan in combination with physical examination make for an easier and more accurate diagnosis.
In conclusion, Amyand's hernia is a very rare occurrence that can be easily misdiagnosed for a strangulated inguinal hernia; a surgical emergency. As part of our findings a CT scan proved to be useful in identifying the incarcerated appendix within the hernia and an appendectomy without the use of mesh is advised as a protective measure.
Conflict of Interest Statement
None declared.