-
PDF
- Split View
-
Views
-
Cite
Cite
Rahul Singh, Darnell T. Josiah, Ryan C. Turner, David E. Cantu-Durand, H. James Williams, Kymberly Gyure, Joseph L. Voelker, Giant calvarial intraosseous angiolipoma: a case report and review of the literature, Journal of Surgical Case Reports, Volume 2016, Issue 4, April 2016, rjw051, https://doi.org/10.1093/jscr/rjw051
Close - Share Icon Share
Abstract
Intraosseous angiolipomas are very rare tumors occurring most commonly in the ribs and mandible. Only two cases with intracranial involvement have been reported in the literature. We report a case of a giant calvarial angiolipoma and its surgical treatment in a 30-year-old female who presented with a slowly expanding skull mass and discuss relevant radiological, histological and surgical findings.
Introduction
Intraosseous angiolipomas are extremely rare, slow-growing tumors. They are composed of mature adipose tissue admixed with arteries, veins, sinusoids and capillaries [1]. Although angiolipomas can occur anywhere in the body, intraosseous angiolipomas are most commonly reported to involve the ribs and mandible [2–7]. An English language review of the literature revealed only two reported cases of intracranial involvement [1–9]. These lesions may mimic angiomas, lipomas, fibrous dysplasia or meningiomas on computed tomography (CT) and magnetic resonance imaging (MRI), and as such, are included in the differential diagnosis of an expanding skull mass [8].
We present the case of a 30-year-old woman with a 5-year history of a right parietal region mass that began expanding after pregnancy.
Case Report
A 30-year-old female presented to our clinic with an enlarging right parietal region mass. She first noted the lesion 5 years prior to presentation but reported that it began to enlarge after her pregnancy in 2010. She denied any history of a similar lesion. She also denied any history of trauma in that region or cranial irradiation. She complained of altered sensation over the right parietal region without any pain with palpation. She reported no weakness or numbness with her extremities, or any difficulties with coordination or fine finger movements. She denied any seizure-like activity or visual disturbances. On physical examination, she was a well-developed, well-nourished female with no apparent distress. She had no visual field deficits, papilledema or cranial nerve deficits. She displayed no apraxia or coordination difficulties. She had symmetric strength and reflexes in her upper and lower extremities with a normal gait. She did not have any sensory dysfunction.
Her medical history was significant for pulmonary artery stenosis, which was surgically repaired at age 8 and irritable bowel syndrome, which was managed medically. She denied any tobacco use, alcohol consumption or illicit drug use. She did not use contraceptive medications.
CT scans showed a 6.4 cm × 6.4 cm × 4 cm right parietal calvarial mass (Fig. 1) with expansion of the diploic space and mass effect on the right parietal lobe.

CT bone window with sagittal (A) and axial (B) views provided. A large right parietal calvarial mass expanding into the diploic space and exerting mass effect on the right parietal lobe is demonstrated.
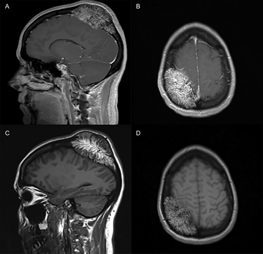
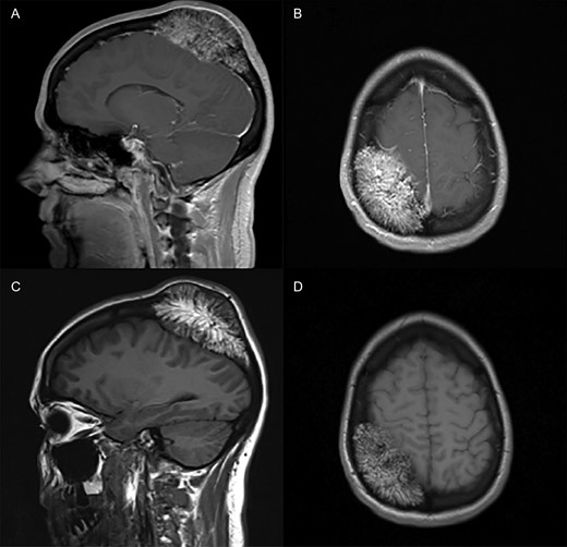
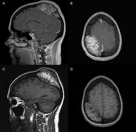
MRI revealed a lesion centered within the right parietal bone extending to the cranial vertex with corresponding calvarial expansion into the extra-axial space over the right posterior-frontal and parietal lobes with resultant cerebral compression (Fig. 2). There was no radiographic evidence of osseous destruction or parenchymal edema. There were no other intra- or extra-axial lesions identified. The decision was made in conjunction with the patients’ wishes to proceed for surgical resection.

T1-weighted magnetic resonance with sagittal (A) and axial (B) views provided. Imaging demonstrates the presence of an extra-axial mass expanding the calvarium and exerting mass effect on the right parietal lobe without the presence of aggressive destruction. The mass does not demonstrate contrast-enhancement as noted in sagittal (C) and axial (D) views after contrast administration. The underlying parenchyma does not demonstrate any reactive signal changes.
Intraoperatively, the bony surface overlying the skull mass was moderately vascular. The protruding skull mass extended approximately 2–2.5 cm above the surrounding bone and measured 5–6 cm in diameter. The tumor was extradural, but had grown into the cranial cavity and was biconvex in shape. Intraoperative image guidance was used during resection to help avoid the superior sagittal sinus. The defect created after surgical resection was fitted with a custom-made Synthes PEEK implant (Synthes, Inc., West Chester, PA, USA) that had been prepared prior to surgery and secured into place with titanium plates and mesh.
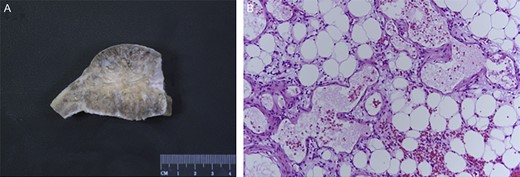
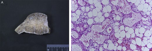
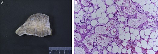
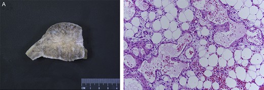
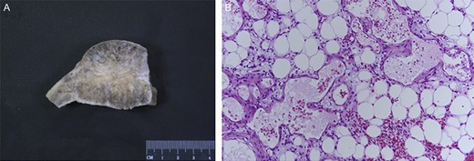
Histological evaluation revealed an admixture of mature adipose tissue and thin-walled blood vessels with no significant cytologic atypia (Fig. 3). The patient recovered well acutely in the hospital following surgical resection.

Gross (A) and microscopic specimens (B). The gross lesion was well demarcated and circumscribed. On microscopic analysis, multiple blood vessels were interspersed among the adipose tissue.
On a post-operative follow-up 2 weeks after surgery, the patient was continuing to do well. Her incision site was healing well and she did not exhibit any cosmetic deformities. A CT scan of the head did not show any residual lesion (not shown).
Discussion
Intraosseous angiolipomas are extremely rare lesions mostly noted to involve extra-cranial locations such as the mandible and ribs [2–7]. There are only two reported cases of intraosseous angiolipoma that involve the cranium, where they present as a slow-growing mass [2, 9].
Intraosseous angiolipomas share imaging features with angiomas, lipomas, fibrous dysplasia and meningiomas [8]. Intraosseous angiolipomas, on CT imaging, appear as hypodense lesions that involve the full thickness of the cranium with bony spicules [2, 9]. Angiographic studies often show hypervascularity associated with the lesion, and with MR imaging they are hyperintense on T1- and T2-weighted images and enhance with gadolinium [2, 9].
Some clinicians elect to initially follow these lesions with serial evaluation but ultimately surgery is the treatment of choice. Yu et al. [9] reported the natural history of an intraosseous angiolipoma over an 11-year period demonstrating that growth was secondary to the vascular component. This growth usually manifests with a cosmetic deformity as the lesions expand the calvarium [1].
The lesion in this report was epidural with a biconvex shape and measured 6 cm in diameter at its maximum width. Surgical excision and cranioplasty were performed as a single-stage procedure. En bloc excision resulted in a large defect that required a custom PEEK implant fabricated a few weeks prior to surgical excision.
Histologically, the lesion was composed of adipose and vascular tissues without any cytologic atypia or increased number of mitoses. Immunostaining for epithelial membrane antigen was negative making an intraosseous meningioma unlikely.
In our case, the patient reported that the lesion began to expand after her pregnancy. An English language literature search failed to reveal any association between pregnancy and the increased growth of intraosseous angiolipomas.
In conclusion, calvarial intraosseous angiolipomas often present as slow-growing, extra-axial lesions without any associated neurological dysfunction. It is an admixture of adipose and vascular tissue, which can mimic other pathologies. The slow-growing nature of these lesions may afford an observational management strategy, but with the lack of lesion-specific imaging characteristics or biochemical tests, early surgical resection should be considered.
Patient Consent
The patient has consented to the submission of the case report to the journal. No institutional approval was required due to retrospective nature of the report.
Disclosures
The authors have no disclosures and no competing interests.
Author Contributions
All authors contributed to the paper conceptualization, data acquisition, drafting of manuscript and/or critical review of the manuscript. All authors approve submission of the manuscript.
Conflict of Interest Statement
None declared.