Issue navigation
Volume 2015, Issue 4, April 2015
Synchronous primary malignancies of the appendix and ovary causing carcinomatosis in one patient
Raquel Elisa Redondo and others
Journal of Surgical Case Reports, Volume 2015, Issue 4, April 2015, rjv029, https://doi.org/10.1093/jscr/rjv029
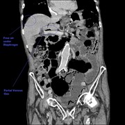
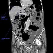
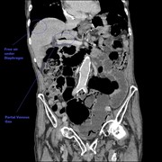
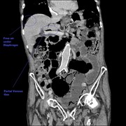
A stuck haemodialysis central venous catheter: not quite open and shut!
Sadaf F. Jafferbhoy and others
Journal of Surgical Case Reports, Volume 2015, Issue 4, April 2015, rjv032, https://doi.org/10.1093/jscr/rjv032
Hemorrhagic giant cystic lymphangioma of the liver in an adult female
Tomotsugu Nakano and others
Journal of Surgical Case Reports, Volume 2015, Issue 4, April 2015, rjv033, https://doi.org/10.1093/jscr/rjv033
Solid pseudopapillary tumor of the pancreas in a patient with cervical cancer: relation of E-cadherin/β-catenin adhesion complex in their carcinogenesis
Adarsh Vijay and others
Journal of Surgical Case Reports, Volume 2015, Issue 4, April 2015, rjv034, https://doi.org/10.1093/jscr/rjv034
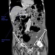
An unusual triad of pneumatosis intestinalis, portal venous gas and pneumoperitoneum in an asymptomatic patient
Paul Sooby and others
Journal of Surgical Case Reports, Volume 2015, Issue 4, April 2015, rjv035, https://doi.org/10.1093/jscr/rjv035
Tumoral calcinosis of the hand
Carlo Amati and others
Journal of Surgical Case Reports, Volume 2015, Issue 4, April 2015, rjv036, https://doi.org/10.1093/jscr/rjv036
Paget's disease of the male breast with underlying ductal carcinoma in situ (‘DCIS’)
Bhuban Choudhury and Rachel Bright-Thomas
Journal of Surgical Case Reports, Volume 2015, Issue 4, April 2015, rjv037, https://doi.org/10.1093/jscr/rjv037
Resection of a bony tumour of the chest wall with direct reconstruction using a sandwich technique: a standard technique for closure of large chest wall defects
Karlijn Hummelink and others
Journal of Surgical Case Reports, Volume 2015, Issue 4, April 2015, rjv040, https://doi.org/10.1093/jscr/rjv040
Excess anticoagulation as a cause of small-bowel obstruction: a report of two cases
Henrietta Creasy and Luke Meleagros
Journal of Surgical Case Reports, Volume 2015, Issue 4, April 2015, rjv041, https://doi.org/10.1093/jscr/rjv041
Thyroglossal duct cyst carcinoma in child
Asil Tahir and others
Journal of Surgical Case Reports, Volume 2015, Issue 4, April 2015, rjv042, https://doi.org/10.1093/jscr/rjv042
Giant sialolith of submandibular gland: report of a case
Selçuk Arslan and others
Journal of Surgical Case Reports, Volume 2015, Issue 4, April 2015, rjv043, https://doi.org/10.1093/jscr/rjv043
Subclavian artery injury secondary to clavicular plate fixation: a novel operative approach
Kalpa G. Perera and others
Journal of Surgical Case Reports, Volume 2015, Issue 4, April 2015, rjv044, https://doi.org/10.1093/jscr/rjv044
Femoral pseudoaneurysm rupturing into urinary bladder: A rare presentation
Kajan Raj Shrestha and others
Journal of Surgical Case Reports, Volume 2015, Issue 4, April 2015, rjv045, https://doi.org/10.1093/jscr/rjv045
Basal cell carcinoma arising in a sebaceous naevus
Kavit Amin and Samuel Orkar
Journal of Surgical Case Reports, Volume 2015, Issue 4, April 2015, rjv046, https://doi.org/10.1093/jscr/rjv046
Triple jejuno-jejunal intussusception due to metastatic renal cell carcinoma
Anne-Sophie Massy Budmiger and others
Journal of Surgical Case Reports, Volume 2015, Issue 4, April 2015, rjv047, https://doi.org/10.1093/jscr/rjv047
Restoring esophageal continuity following a failed colonic interposition for long-gap esophageal atresia
Beatrice Dionigi and others
Journal of Surgical Case Reports, Volume 2015, Issue 4, April 2015, rjv048, https://doi.org/10.1093/jscr/rjv048
Bronchogenic cyst associated with congenital absence of the pericardium
Kei Hiraoka and others
Journal of Surgical Case Reports, Volume 2015, Issue 4, April 2015, rjv052, https://doi.org/10.1093/jscr/rjv052
Advertisement
Advertisement















