Issue navigation
Volume 2015, Issue 5, May 2015
Case reports
Extensive cervicomediastinal hematoma due to spontaneous hemorrhage of a parathyroid adenoma: a case report
J.J. van den Broek and others
Journal of Surgical Case Reports, Volume 2015, Issue 5, May 2015, rjv039, https://doi.org/10.1093/jscr/rjv039
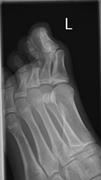
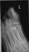
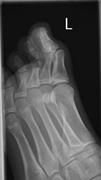
Soft tissue ‘mallet’ injury to the hallux
Mike JR Kent and others
Journal of Surgical Case Reports, Volume 2015, Issue 5, May 2015, rjv049, https://doi.org/10.1093/jscr/rjv049
Case Report: Jejunal gastrointestinal stromal tumour, a rare tumour, with a challenging diagnosis and a successful treatment
Ruth E. Sankey and others
Journal of Surgical Case Reports, Volume 2015, Issue 5, May 2015, rjv050, https://doi.org/10.1093/jscr/rjv050
Ileosigmoid knotting: a rare case report with review of literature
Mukesh Sangwan and others
Journal of Surgical Case Reports, Volume 2015, Issue 5, May 2015, rjv051, https://doi.org/10.1093/jscr/rjv051
Thyroid gland metastasis of rectal cancer
Tsuyoshi Ozawa and others
Journal of Surgical Case Reports, Volume 2015, Issue 5, May 2015, rjv053, https://doi.org/10.1093/jscr/rjv053
Incidental oesophageal leiomyoma during laparoscopic Roux-en-Y gastric bypass: finding the unexpected does not affect outcomes
Mishank Jain and others
Journal of Surgical Case Reports, Volume 2015, Issue 5, May 2015, rjv054, https://doi.org/10.1093/jscr/rjv054
Reduction en masse can be treated using pure laparoscopic transabdominal preperitoneal hernioplasty following early CT diagnosis: report of a case
Akihiro Hoshino and others
Journal of Surgical Case Reports, Volume 2015, Issue 5, May 2015, rjv055, https://doi.org/10.1093/jscr/rjv055
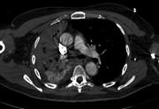
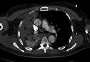
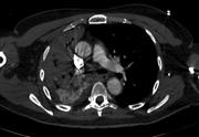
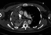
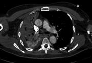
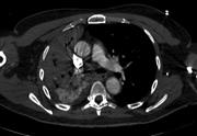
Multiple thoracic duct cysts: an unusual CT finding
Laura J. Halliday and Anup K. Sharma
Journal of Surgical Case Reports, Volume 2015, Issue 5, May 2015, rjv056, https://doi.org/10.1093/jscr/rjv056
What else is hiding behind superior mesenteric artery syndrome?
Paola De Angelis and others
Journal of Surgical Case Reports, Volume 2015, Issue 5, May 2015, rjv057, https://doi.org/10.1093/jscr/rjv057
Caecal perforation from TB and the Law of Laplace
Amad N. Khan and others
Journal of Surgical Case Reports, Volume 2015, Issue 5, May 2015, rjv058, https://doi.org/10.1093/jscr/rjv058
Advertisement
Advertisement









