-
PDF
- Split View
-
Views
-
Cite
Cite
Anne-Sophie Massy Budmiger, Veronika Nagy, Sandra Hürlimann, Jürg Metzger, Triple jejuno-jejunal intussusception due to metastatic renal cell carcinoma, Journal of Surgical Case Reports, Volume 2015, Issue 4, April 2015, rjv047, https://doi.org/10.1093/jscr/rjv047
Close - Share Icon Share
Abstract
We report on a 61-year-old man who was referred to the accident and emergency department with recurrent episodes of vomiting and diffuse abdominal pain for 1 week prior to admission. The patient also reported frequent constipation and intermittent melaena. He had undergone tumour nephrectomy for metastatic renal clear cell carcinoma 3 years before and had received sequential vascular endothelial growth factor receptor and mammalian target of rapamycin-targeted therapies. The abdominal computed tomography scan showed small bowel obstruction due to triple intussusception of the proximal jejunum and several large intra-luminal tumour masses. Intra-operative findings were five intramural masses 15 cm distal to the ligament of Treitz over a total length of 50 cm. A primary en bloc resection with an end-to-end anastomosis was carried out. The postoperative course was uneventful.
INTRODUCTION
Renal cell carcinoma (RCC) accounts for ∼3% of all adult malignancies worldwide, with an estimated number of >60 000 new cases diagnosed every year in the USA [1]. Renal cancer has a strong tendency towards development of distant metastases by haematogenous and lymphatic spread. Although metastases in the lung, liver, bone, brain, adrenal glands and lymph nodes are the most common localizations, tumour spread is unpredictable. Unusual metastatic sites of RCC have been described in multiple organs, causing a broad variety of possible symptoms [2].
Involvement of the small bowel by RCC metastases is rare according to historical data from post-mortem examinations [3]. Due to the midgut's reduced accessibility by routine endoscopic work-up and the limited diagnostic accuracy of small bowel imaging on computed tomography (CT), detection of these metastases is often difficult. Clinical symptoms may include intestinal obstruction, bleeding and, infrequently, perforation. We report a case of RCC metastases to the jejunum that presented with bleeding and multiple small bowel intussusceptions.
CASE REPORT
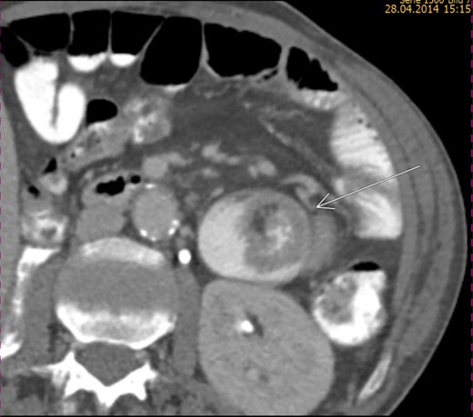
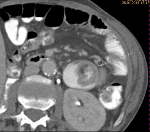
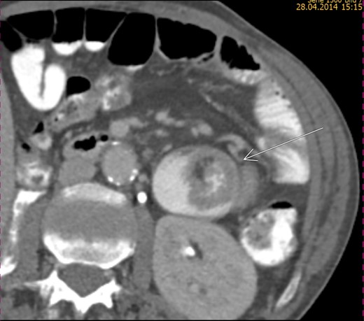
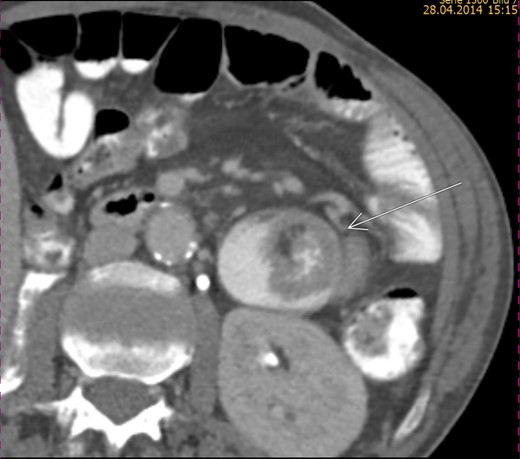
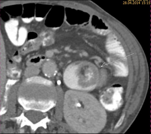
A 61-year-old man with metastatic clear-cell RCC diagnosed 3 years previously presented to the local accident and emergency department (A&E) because of abdominal pain and vomiting. After tumour nephrectomy, he received sequential treatment with sunitinib, everolimus, axitinib and sorafenib for lymph node and lung metastases. Sorafenib was stopped 1 month before admission, when the patient developed dyspnoea as a result of severe normochromic/normocytic anaemia and compression of the right main bronchus by a right hilar, lymph node metastasis. At that time, CT showed no other sites of progressive disease. As the patient reported intermittent melaena, oesophago-gastroduodenoscopy and colonoscopy were performed. No evidence of tumour or bleeding was evident. Thus, anaemia was attributed to progressive carcinoma and sorafenib treatment. Over the course of 4 weeks, the patient was treated with palliative radiotherapy to the right pulmonary hilum and received frequent erythrocyte transfusions for refractory anaemia. At presentation to A&E, he had had recurrent abdominal pain and emesis for 1 week. The physical examination was unremarkable. An abdominal CT scan revealed small bowel obstruction and triple jejuno-jejunal intussusception with the typical ‘target sign’, as well as several apparently intra-luminal tumour masses (Fig. 1), which had not been evident on the CT scan 6 weeks earlier. No tumour progression in other metastatic sites was detected.

CT scan revealing enhanced masses and jejunal invagination (target sign).
At A&E, explorative laparotomy showed the proximal small bowel was grossly distended and three distinct levels of intussusception were seen ∼15 cm distal to the ligament of Treitz (Fig. 2). Using digital examination, several hard tumour masses were located and palpated within 50 cm of the intussusception. Segmental resection of the proximal jejunum with an end-to-end anastomosis was performed. The histological examination revealed five haemorrhagic, polypoid, stalked masses with a maximum diameter of 4.5 cm and florid ulceration of the overlying mucosa (Fig. 3). Regional lymph nodes and resection margins were clear. The intra- and postoperative courses were uneventful and the patient was discharged from hospital 1 week later. Dyspnoea and anaemia resolved, and treatment with sorafenib was resumed.

Resected small bowel showing three distinct levels of jejuno-jejunal invagination.

Mucosal surface of the jejunum showing several polypoid masses.
DISCUSSION
According to a post-mortem review by Saitoh et al. RCCs metastasize to the small intestine in 14.6% (229/1571) of cases [4]. Solitary metastatic RCCs in the small intestine are very rare, with most patients having further metastases elsewhere [5]. The survival of patients with metastatic RCCs has significantly improved since the introduction of sequential vascular endothelial growth factor receptor and mammalian target of rapamycin-targeted therapies [6]. Thus, the observation of metastases in formerly uncommon sites during the course of the disease might be more frequent than it was in earlier decades. Intussusception is a rare cause of bowel obstruction in adults and almost always associated with a definable lesion [7]. It may occasionally result from a pedunculated growth of a small bowel tumour. Typically, the tumour will be sub-mucosal and give rise to dimple formation by traction on the serosa (Fig. 4) [3]. Preoperative diagnosis of intussusception is difficult. CT is the most useful diagnostic procedure [8]. Other diagnostic tools such as upper gastrointestinal series, colonoscopy and flexible sigmoidoscopy are frequently non-diagnostic [7, 9]. The management of adult intussusception remains controversial, although metastasectomy may extend patient survival [5]. Thus, surgical resection of the involved intestinal segment has been recommended as the treatment of choice [8].

Very few cases of multiple intussusception caused by RCC metastases have been reported [7–10]. Some authors suspect, however, that many cases may have been overlooked in the context of terminal disease [9]. Small bowel metastases may remain undetected for long periods despite frequent imaging. In the case presented here, remarkably rapid progression of intestinal metastases and intussusception developed within just a few weeks, despite the stable disease of the other metastatic sites. Retrospectively, refractory anaemia was the only symptom that could have led to an earlier diagnosis of intestinal tumour involvement, if small bowel endoscopy or capsule endoscopy had been carried out.
Clinicians should be aware that, in patients presenting with anaemia, clinical symptoms of bowel obstruction and a history of RCC, intestinal tumour involvement should be considered. Whenever feasible and appropriate, taking the patient's condition into consideration, surgical resection of symptomatic small bowel metastases should be considered as a palliative treatment.
CONFLICT OF INTEREST STATEMENT
None declared.
REFERENCES
- abdominal pain
- small bowel obstruction
- rapamycin
- constipation
- accidents
- emergency service, hospital
- intussusception
- mammals
- melena
- nephrectomy
- vomiting
- jejunum
- neoplasms
- phenobarbital
- anastomosis, end to end
- abdominal ct
- renal cell carcinoma metastatic
- vascular endothelial growth factor receptors
- clear cell renal cell carcinoma
- suspensory muscle of duodenum