- 
        
            PDF 
- Split View
- 
                            
                                
                                Views
- 
    CiteCiteSadaf F. Jafferbhoy, John R. Asquith, Ravish Jeeji, Adrian Levine, Madhavan Menon, Arun D. Pherwani, A stuck haemodialysis central venous catheter: not quite open and shut!, Journal of Surgical Case Reports, Volume 2015, Issue 4, April 2015, rjv032, https://doi.org/10.1093/jscr/rjv032 Close
- Share Icon Share
Abstract
Removal of tunnelled central venous catheters can become complex if left in situ for a prolonged period. We report a challenging case of a stuck tunnelled haemodialysis catheter, which required sternotomy with cardio-pulmonary bypass for retrieval. A 47-year-old female had failed attempts to remove the venous limb of a Tessio line on the ward. A cut down on the internal jugular vein and division of the fibrin sheath failed to release it. Synchronous traction was applied via a snare inserted through a femoral approach. On table trans-oesophageal echocardiogram showed the tip of the catheter traversing the tricuspid valve. At sternotomy with cardio-pulmonary bypass, the tip of the catheter was found attached to the septal leaflet of the tricuspid valve requiring release and repair. The management of stuck line has potential serious complications. Prophylactic catheter exchange should be considered to avoid complications.
INTRODUCTION
Tunnelled lines play a major role in delivering haemodialysis to patients with end stage renal failure. Common indications for the removal of lines include catheter dysfunction and infection [1]. A fibrin sheath often develops around the catheter, which may eventually result in adherence to the vessel wall. The incidence of fibrin sheath is reported to range from 13 to 57% [2]. Adherent tunnelled catheters can usually be removed by a surgical cut down, but in a minority of patients the line can become affixed to the wall of the central veins. In such cases, forceful traction can cause vascular injury, or fracture of the catheter [3]. We present a challenging case of a patient with stuck tunnelled haemodialysis catheter, which could not be removed by combined surgical and endovascular techniques.
CASE REPORT
A 47-year-old female with renal failure secondary to adult polycystic kidney disease had repeatedly refused the formation of an AV fistula for haemodialysis due to severe needle phobia. She was commenced on peritoneal dialysis in 2008, which became inadequate as a result of membrane failure in 2010. She was commenced on haemodialysis via twin tunnelled Tesio® (Medcomp, PA, USA) lines inserted via a left internal jugular approach having had temporary right internal jugular access previously.
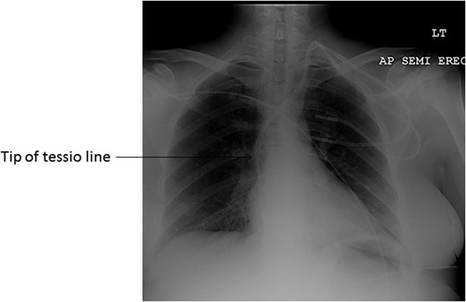
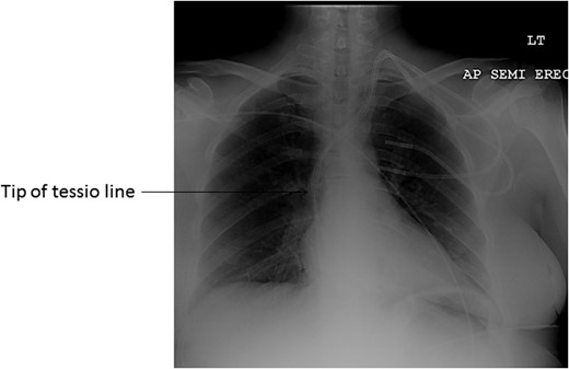
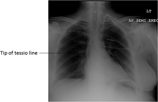
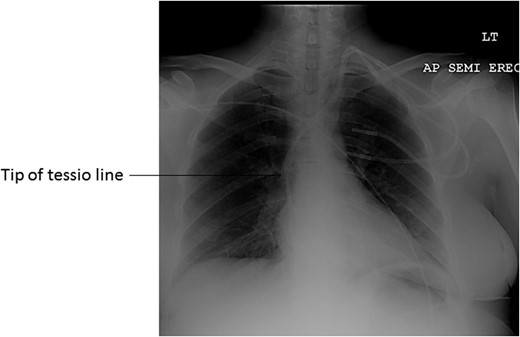
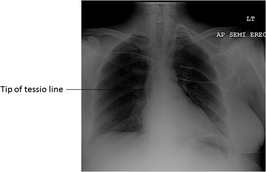
She was referred to the vascular surgery unit with the line in situ for 2 years following a failed attempt to remove the malfunctioning venous limb of the catheter on the renal unit. A chest X-ray showed the tip of the catheter at the level of the right atrium (Fig. 1). Following discussion at the multi-disciplinary meeting, the decision was made to attempt removal of the line by a combined endovascular and surgical approach under general anaesthesia.

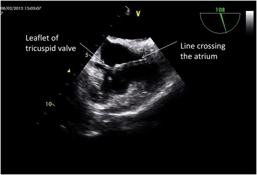
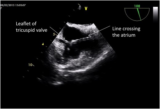
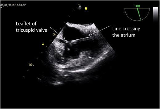
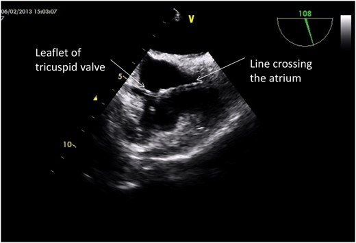
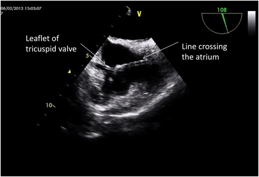
Under general anaesthesia, a cut down was performed onto the left internal jugular vein at the entry point of the catheter. The fibrin sheath was incised and traction on the catheter failed to release it. Simultaneous traction and snaring of the catheter tip via a femoral venous approach was failed. A hydrophilic guide-wire was passed through the catheter and out of a side hole of the line, which was then snared in the right atrium. Synchronous traction was applied to both ends of the line via the snare and the external portion of the line, but the line could not be freed. Balloon angioplasty within the lumen of the line was performed in order to attempt splitting of the surrounding fibrin sheath. Furthermore, upon traction of the external portion of the line, the unusual finding of a palpable transmitted pulse via the catheter was noted. In order to investigate this further, a trans-oesophageal echocardiogram was performed intra-operatively. This showed the proximal portion of the line passing through the tricuspid valve, with its tip adherent to one of the valve leaflets (Fig. 2). At this stage, the external part of the catheter was excised and the catheter remnant internalized with a plan for subsequent removal via open-heart surgery.

Trans-oesophageal echocardiogram with bicaval view showing the position of the line in relation to the tricuspid valve.
At median sternotomy with cardio-pulmonary bypass, the line was identified with its tip attached to the septal leaflet of the tricuspid valve (Fig. 3). The tip of the line was disengaged, the line removed and the leaflet defect repaired. The patient made a complete recovery, was recommenced on dialysis via a right internal jugular line and discharged home 10 days following the surgery. Unfortunately the patient steadfastly refuses the formation of an AV fistula for vascular access.

Intra-operative picture showing the position of the line traversing the tricuspid valve.
DISCUSSION
The average life span of tunnelled vascular access catheters is estimated to be 10 months or 289 catheter-days with nearly 12% requiring removal due to complications [4]. These catheters can usually be removed after dissecting the fibrous attachments around the cuff in the subcutaneous tunnel. Various degree of adherence between the catheter and vessel wall can be expected in patients who have long-term catheters. The true incidence of stuck catheters is difficult to estimate and is based upon anecdotal case reports [3, 5].
Surgical cut down and endovascular intervention, including laser sheath techniques, have been reported to be successful when the catheter is adherent to the vessel wall [6]. The management of stuck lines is controversial particularly in cases where minimally invasive procedures are unsuccessful. In one report, three patients with dialysis catheters stuck within the internal jugular, the superior vena and embedded in the tricuspid valve respectively were managed conservatively [7]. Others have also adopted a conservative approach in managing their cases where the stuck lines could not be retrieved by a cut down technique [8]. In the authors' previous series, five out of six lines were successfully removed by cut down and incision of the fibrin sheath, only one required to be internalized [3].
Open-heart surgery is generally avoided particularly in patients with renal failure and its complications. However, with this patient, having failed all the possible minimally invasive procedures, this was thought to be the only viable option in order to avoid the potential complications of a retained catheter fragment. Such a retained fragment of a line may serve as a nidus for infection, may also compromise the vessel lumen, precipitate venous thrombosis and potentially prevent the creation of future AV fistulae. Catheter fragments within the atrium can also lead to thrombus formation with potential embolic and even septic embolic complication. Adherence of the catheter to the valve leaflets can lead to mechanical valvular dysfunction or arrhythmia. These fragments are reported to carry a risk of migration into the pulmonary arteries [9].
Adherent catheters resistant to removal are rare and thus management of stuck lines cannot be standardized. We pursued rather aggressive and active management in order to avoid the potential complications mentioned above with due consideration to the patient's age, general condition and long-term risk. Cardiac surgery itself carries major risks and prophylactic catheter exchange should be considered in order to potentially avoid the complication of stuck lines. The dialysis outcomes and quality initiative do not recommend prophylactic catheter exchange, however some would advocate elective replacement every 16–18 months to avoid such entrapment [10].
CONFLICT OF INTEREST STATEMENT
None declared.
