-
PDF
- Split View
-
Views
-
Cite
Cite
Beatrice Dionigi, Sigrid Bairdain, Charles Jason Smithers, Russell W. Jennings, Thomas E. Hamilton, Restoring esophageal continuity following a failed colonic interposition for long-gap esophageal atresia, Journal of Surgical Case Reports, Volume 2015, Issue 4, April 2015, rjv048, https://doi.org/10.1093/jscr/rjv048
Close - Share Icon Share
Abstract
The Foker process is a method of esophageal lengthening through axial tension-induced growth, allowing for subsequent primary reconstruction of the esophagus in esophageal atresia (EA). In this unique case, the Foker process was used to grow the remaining esophageal segment long enough to attain esophageal continuity following failed colonic interpositions for long-gap esophageal atresia (LGEA). Initially developed for the treatment of LGEA in neonates, this case demonstrates that (i) an active esophageal lengthening response may still be present beyond the neonate time-period; and, (ii) the Foker process can be used to restore esophageal continuity following a failed colonic interposition if the lower esophageal segment is still present.
INTRODUCTION
Long-gap esophageal atresia (LGEA) presents a difficult challenge for pediatric surgeons. Most often, when the gap is too long for a primary repair, other conduits are used to re-establish continuity. More recently, the atretic ends of the esophagus have been lengthened using axial tension (the Foker process) that has made a true primary esophageal repair possible in patients with LGEA [1]. Although colonic interpositions will establish continuity, they may fail for the following reasons: venous obstruction, inadequate function or development of intrinsic disease. These difficulties led us to recommend the Foker process for restoring continuity in these patients. Herein, we describe a unique case, utilizing the Foker process, to attain esophageal continuity following a failed colonic interposition for LGEA. This patient, moreover, may also provide information on the vigor of the lengthening response and on closing longer gaps found in young children.
CASE REPORT
This patient had a colonic interposition that was technically satisfactory and allowed for normal eating for 2 years. The aperistaltic colon graft, however, slowly began to dilate over time. Poor emptying and later aspiration, due to a proximal stricture, became difficult to overcome; thus, she underwent a resection of a colonic interposition stricture with creation of cervical esophagostomy and gastrostomy. At 4 years of age, she was referred to us for a second opinion.
With the distal colon graft in place, as well as the distal esophageal segment, we recommended a combined procedure with graft removal and growth induction given the 8.2-cm gap (Fig. 1A and B). A thoracoabdominal incision was made and the colonic conduit was dissected away from the diaphragm; extensively mobilized from the left lateral segment of the liver and lung; and, transected from its anastomosis with the stomach. The stomach was then repaired in two layers. Traction sutures, using 4.0 prolene sutures, were then placed in the muscular layer of the distal esophageal segment and brought out onto the chest wall.

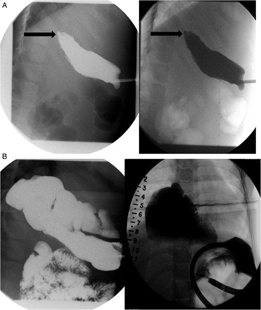
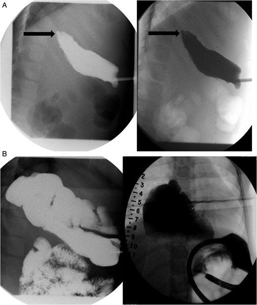
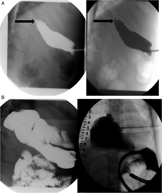
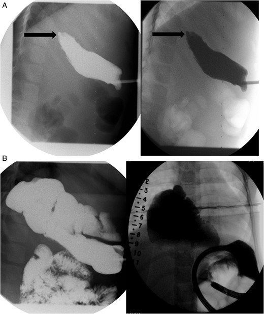
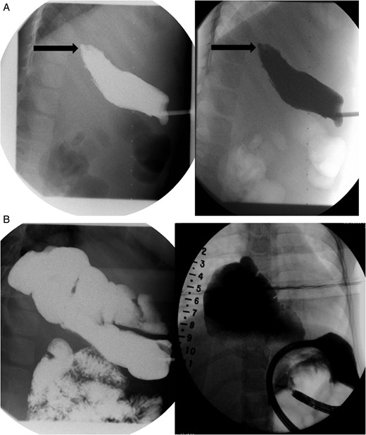
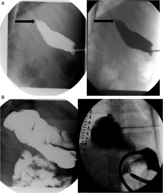
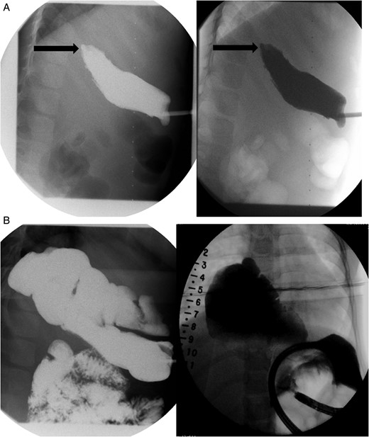
(A) Lateral view during her initial fluoroscopic examination illustrating a small, distal (lower) esophageal remnant present in situ (Black arrows). Contrast was injected through her existing gastrostomy tube. (B) Anterior–posterior (AP) view during initial fluoroscopic examination illustrating an aperistaltic, native colonic interposition in situ with significant dilatation.
Daily tightening of her traction sutures was performed until the distal esophageal segment reached the chest wall (Fig. 2). The cervical esophagostomy was also sequentially lengthened and eventually internalized. Three traction suture revisions and two proximal esophageal lengthening operations were performed before esophageal continuity was re-established (46 days). Two subsequent anastomotic leaks occurred; 1 anastomotic leak was repaired surgically, whereas one subsequent leak was managed nonoperatively with a chest tube. Five dilations and, one, 13-day retrievable stent placement were needed for anastomotic narrowing. A comparative postoperative esophagram and intraoperative esophagram illustrated neither a stricture nor an anastomotic leak (Fig. 3). Total hospitalization was 112 days.

Fluoroscopic examination illustrating incremental ‘growth’ of the distal (lower) esophageal segment while the patient was undergoing external traction (Foker Stage 1). The contrast was injected through her existing gastrostomy tube. The metal dot refers to her esophagostomy; thus, can measure the distance between the ends of her esophageal segments.

An intraoperative esophagram following a routine esophagogastroduodenoscopy (EGD) is pictured on the right, as compared with her postoperative esophagram on the left. The EGD was performed on this patient following her anastomosis (Foker Stage II); the native esophagus was now in continuity. Contrast was injected above the level of the anastomosis, which demonstrated neither leak nor stricture.
A fundoplication was performed during a subsequent hospital stay (postoperative day 237) for reflux. There was also concern for metaplasia of her distal esophagus from stratified squamous epithelium to simple columnar epithelium with goblet cells consistent with Barrett's esophagus. Her total follow-up to date has been 1377 days with her last endoscopy was performed on postoperative day 1159 from Stage 1 of her Foker procedure (Fig. 4).

Her last follow-up EGD demonstrating a patent native esophagus.
DISCUSSION
Multiple techniques have been described to treat LGEA [2]. Foker et al. [1], however, were the first to describe the utilization of external traction sutures to promote delayed primary repair; potentially, avoiding the need for an interposition in neonates. The premise behind this technique is that the native esophagus is the best long-term conduit for patients with LGEA [1]. This case demonstrates that LGEA may be treated even after a failed colonic interposition if the distal esophageal remnant is still present. The lower esophageal segment may often be removed because of its potential susceptibility to ulcer formation; therefore, this rescue approach will not always be possible. This case, to our knowledge, may be one of the first descriptions of its use in that manner, as well as demonstrate that an active esophageal lengthening response may still present in patients 4 years or younger.
Colonic interpositions have long been used for both benign and malignant esophageal conditions; associated short- and long-term morbidities are well documented [3]. Initial surgical technique and associated perioperative complications may predict overt, short-term graft failure [4]. Long-term morbidities include: dysphagia, regurgitation, aspiration, pneumonias and chest pain [4]. The main causes of long-term graft failure in all patients are colonic redundancy and gastrocolonic reflux [4, 5]. Adults may have the reserve to temporize these insults over time; however, our patient already had evidence of chronic aspiration with resulting chronic lung disease and evidence of failure to thrive. Esophageal replacements in children, in general, are also further complicated by scoliosis; 27% requiring further operations and, over one-third of the patients reporting mild-to-moderate lifestyle limitations [6].
Anastomotic leaks are also not uncommon (30% in existing literature) that arise during the management of LGEA patients requiring either prompt surgical repair and/or optimal medical management [7]. Our patient did have two that were treated accordingly, but extended her hospital course. Postoperative dilations and/or fundoplication have proven to be useful adjunctive measures in patients with LGEA [8, 9]. Narrowing at the anastomosis, strictures, persistent reflux and/or need for a fundoplication are not unusual in patients with LGEA [8–10]. Medical adjuncts and operations avoid surgical revisions of potentially refractory strictures and protect the esophageal mucosa from reflux and its associated metaplasia from squamous to columnar epithelium.
Given these changes seen in our patient and the rarity of the disease overall, we recommend continued long-term screening and multidisciplinary follow-up. In approaching these patients holistically, the risks and benefits must be weighed in keeping a patient in-hospital for both serial operations and dilations versus other esophageal replacement surgeries. Alternatives have included gastric pull-ups, transpositions or colon interpositions; however, each of these has their own respective limitations and long-term consequences [11]. Gastric pull-ups do not appear to have as many gastrointestinal complications as the colon; however, greater long-term respiratory morbidity has been reported in meta-analyses of these patients [5]. The jejunum also provides for a suitable substitute, but concerns around its use have included relatively small sample sizes, center inexperience and microvascular support in smaller children [11]. Despite several initial operations, our patient is currently eating by mouth and has not had revisions to her native esophageal conduit. LGEA may be treated by this process even after a failed colonic interposition if the distal esophageal remnant is still present in children 4 years or younger.
CONFLICT OF INTEREST STATEMENT
No external funding was secured for this study. The authors have no financial relationships to disclose, as well as no other conflicts of interest to disclose.
REFERENCES
Author notes
Authors considered co-primary authors as both contributed equally to this manuscript.