Issue navigation
Volume 2025, Issue 5, May 2025
Case Reports
A standardized surgical approach to appendiceal orifice tumors: a case report
Banks Ford Harris and others
Journal of Surgical Case Reports, Volume 2025, Issue 5, May 2025, rjaf259, https://doi.org/10.1093/jscr/rjaf259
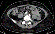
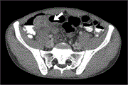
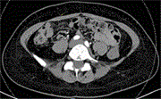
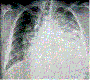
Rare paracholedochal lymph node metastasis in lung cancer
Tomás Marín-Cuartas and others
Journal of Surgical Case Reports, Volume 2025, Issue 5, May 2025, rjaf260, https://doi.org/10.1093/jscr/rjaf260
Primary retroperitoneal mucinous cystic tumor with borderline malignancy: a case report and review of the literature
Mi-Jin Gu
Journal of Surgical Case Reports, Volume 2025, Issue 5, May 2025, rjaf261, https://doi.org/10.1093/jscr/rjaf261
Bilobar hepatic hydatid cyst: a rare encounter with a silent invader
Suman Kumar Khadka and others
Journal of Surgical Case Reports, Volume 2025, Issue 5, May 2025, rjaf262, https://doi.org/10.1093/jscr/rjaf262
Large common bile duct stone: a case report
Sadiq Husain and others
Journal of Surgical Case Reports, Volume 2025, Issue 5, May 2025, rjaf264, https://doi.org/10.1093/jscr/rjaf264
An exceptional case of huge myxofibrosarcoma of the pericardium
Mehdi Laaroussi and others
Journal of Surgical Case Reports, Volume 2025, Issue 5, May 2025, rjaf270, https://doi.org/10.1093/jscr/rjaf270
Preoperative diagnosis of pancreatic body and tail cyst: a case of gastric bronchogenic cyst and literature review
Han Duan and others
Journal of Surgical Case Reports, Volume 2025, Issue 5, May 2025, rjae658, https://doi.org/10.1093/jscr/rjae658
Small bowel leiomyosarcoma: a case report and review of the literature
Rebaz O Mohammed and others
Journal of Surgical Case Reports, Volume 2025, Issue 5, May 2025, rjaf269, https://doi.org/10.1093/jscr/rjaf269
Acute thrombolysis in a patient with Type A aortic dissection and critical leg ischemia in an Arctic country
Michala Norsell and others
Journal of Surgical Case Reports, Volume 2025, Issue 5, May 2025, rjaf273, https://doi.org/10.1093/jscr/rjaf273
Post-operative analgesic regime in a patient with congenital indifference to pain
Thomas French and others
Journal of Surgical Case Reports, Volume 2025, Issue 5, May 2025, rjaf275, https://doi.org/10.1093/jscr/rjaf275
A case of TEVAR for aneurysmal re-expansion and hemoptysis post-FET
Kotaro Mukasa and others
Journal of Surgical Case Reports, Volume 2025, Issue 5, May 2025, rjaf279, https://doi.org/10.1093/jscr/rjaf279
An unexpected cause of abdominal pain: a case report of a toothpick in the liver successfully treated with gastroendoscopy
Bakr F Alawna and others
Journal of Surgical Case Reports, Volume 2025, Issue 5, May 2025, rjae851, https://doi.org/10.1093/jscr/rjae851
Achieving opioid-free anaesthesia for laparoscopic cholecystectomy using the external oblique intercostal block—a case series of three cases
Chi Ho Chan and others
Journal of Surgical Case Reports, Volume 2025, Issue 5, May 2025, rjaf271, https://doi.org/10.1093/jscr/rjaf271
Posterior C1-C2 fixation for atlantoaxial instability due to a dysplastic C1 arch, complicated by an accidental vertebral artery injury managed with intravascular intervention and salvage contralateral unilateral fusion
Armand Dominik Škapin and others
Journal of Surgical Case Reports, Volume 2025, Issue 5, May 2025, rjaf267, https://doi.org/10.1093/jscr/rjaf267
Atypical presentation of renal cell carcinoma with lactic acidosis: case report and literature review
Henry Alocha and others
Journal of Surgical Case Reports, Volume 2025, Issue 5, May 2025, rjaf290, https://doi.org/10.1093/jscr/rjaf290
Missed uterine rupture after vaginal delivery: a rare case of delayed diagnosis leading to sepsis and intra-abdominal abscess
Mutasem Iqnaibi and others
Journal of Surgical Case Reports, Volume 2025, Issue 5, May 2025, rjaf291, https://doi.org/10.1093/jscr/rjaf291
A blunt gallbladder trauma: a rare and easily overlooked case report
Phi H Lu and others
Journal of Surgical Case Reports, Volume 2025, Issue 5, May 2025, rjaf276, https://doi.org/10.1093/jscr/rjaf276
Socket shield technique for immediate implant placement after dental trauma: a case report
Hai-yang Tang and others
Journal of Surgical Case Reports, Volume 2025, Issue 5, May 2025, rjaf277, https://doi.org/10.1093/jscr/rjaf277
Extraction of guide wire breakage from pedicle channel during percutaneous endoscopic posterior lumbar interbody fusion: a case report
Cheng Li and Yangyang Guo
Journal of Surgical Case Reports, Volume 2025, Issue 5, May 2025, rjaf278, https://doi.org/10.1093/jscr/rjaf278
Type IV appendiceal intussusception with mucocele and acute appendicitis: a rare case and diagnostic challenge
Hamza Abdulkarim Nasif and others
Journal of Surgical Case Reports, Volume 2025, Issue 5, May 2025, rjaf282, https://doi.org/10.1093/jscr/rjaf282
Beyond the ordinary: laparoscopic management of a rare inguinal hernia with bladder involvement
Rubén Daniel Pérez López and others
Journal of Surgical Case Reports, Volume 2025, Issue 5, May 2025, rjaf284, https://doi.org/10.1093/jscr/rjaf284
Biceps breakdown: a case of spontaneous necrotizing myositis
Jai Pantling and others
Journal of Surgical Case Reports, Volume 2025, Issue 5, May 2025, rjaf287, https://doi.org/10.1093/jscr/rjaf287
Posterior tibial artery pseudoaneurysm: a rare complication following orthopedic surgery—a case report
Estelle Bodart
Journal of Surgical Case Reports, Volume 2025, Issue 5, May 2025, rjaf288, https://doi.org/10.1093/jscr/rjaf288
Rare case of non-Hodgkin lymphoma of the appendix and ileocecal valve presenting as acute perforated appendicitis
Meaad K Alsulami and others
Journal of Surgical Case Reports, Volume 2025, Issue 5, May 2025, rjaf274, https://doi.org/10.1093/jscr/rjaf274
Malignant solitary fibrous tumor in the anterior abdominal wall: a rare case report with diagnostic and therapeutic insights
Abdul Muqeet and others
Journal of Surgical Case Reports, Volume 2025, Issue 5, May 2025, rjaf289, https://doi.org/10.1093/jscr/rjaf289
Multidisciplinary management of a neonate with oropharyngeal teratoma and bilateral cleft lip and palate: a rare congenital presentation
Ahmad Fasfoos and others
Journal of Surgical Case Reports, Volume 2025, Issue 5, May 2025, rjaf293, https://doi.org/10.1093/jscr/rjaf293
Abdominal-based free flap reconstruction of the breast in a patient with prior cryolipolysis: a case report and literature review
Steven L Zhang and others
Journal of Surgical Case Reports, Volume 2025, Issue 5, May 2025, rjae511, https://doi.org/10.1093/jscr/rjae511
Chylous ascites discovered intraoperatively during laparoscopic cholecystectomy for gallstone pancreatitis
Gabriella Donaldson and Aleisha Sutherland
Journal of Surgical Case Reports, Volume 2025, Issue 5, May 2025, rjaf281, https://doi.org/10.1093/jscr/rjaf281
Surgical dilemmas in Gardner syndrome: infiltrative basal cell carcinoma and total knee prosthesis failure
Q Carlos Diaz and others
Journal of Surgical Case Reports, Volume 2025, Issue 5, May 2025, rjaf285, https://doi.org/10.1093/jscr/rjaf285
Incidental low-grade appendiceal mucinous neoplasm in Crohn’s disease patient post ileocecal resection: a case report
Mohammed Dakhel Aldakhil and others
Journal of Surgical Case Reports, Volume 2025, Issue 5, May 2025, rjaf294, https://doi.org/10.1093/jscr/rjaf294
Diagnosis and treatment of appendiceal mucocele: a rare cause of intestinal blockage
Emmanuel García Romero and others
Journal of Surgical Case Reports, Volume 2025, Issue 5, May 2025, rjaf296, https://doi.org/10.1093/jscr/rjaf296
Incidental sternal foramen discovered during the evaluation of a traumatic fracture: a case report
César L Baute and Daniela Saenz
Journal of Surgical Case Reports, Volume 2025, Issue 5, May 2025, rjaf299, https://doi.org/10.1093/jscr/rjaf299
Primary glomangioma of the chest wall: case report and review of literature
Zymantas Jagelavicius and others
Journal of Surgical Case Reports, Volume 2025, Issue 5, May 2025, rjaf300, https://doi.org/10.1093/jscr/rjaf300
Falciform ligament cyst—a rare cause of abdominal pain
LongHai Jin and Joel Budge
Journal of Surgical Case Reports, Volume 2025, Issue 5, May 2025, rjaf302, https://doi.org/10.1093/jscr/rjaf302
Chondroblastoma of hallux: a rare case report
Tushar O Dahmiwal and others
Journal of Surgical Case Reports, Volume 2025, Issue 5, May 2025, rjaf304, https://doi.org/10.1093/jscr/rjaf304
Supraclavicular lymphadenopathy: an unexpected consequence of breast implant rupture
Rasheed Elayyan and others
Journal of Surgical Case Reports, Volume 2025, Issue 5, May 2025, rjaf308, https://doi.org/10.1093/jscr/rjaf308
Not every nasal block is allergic rhinitis: a case report of sinonasal malignant melanoma
Rula Naqi and others
Journal of Surgical Case Reports, Volume 2025, Issue 5, May 2025, rjaf295, https://doi.org/10.1093/jscr/rjaf295
Repair of type A aortic dissection in a patient with sickle cell disease
Jake William duPlooy and others
Journal of Surgical Case Reports, Volume 2025, Issue 5, May 2025, rjaf297, https://doi.org/10.1093/jscr/rjaf297
Mesh migration to the sigmoid colon complicated by the formation of colocutaneous fistula 36 years post incisional hernia repair: a case report
Suleiman Khaddour and others
Journal of Surgical Case Reports, Volume 2025, Issue 5, May 2025, rjaf306, https://doi.org/10.1093/jscr/rjaf306
Bilateral persistent sciatic artery presenting as critical limb ischemia: a case report and review of literature
Wael Hashem and others
Journal of Surgical Case Reports, Volume 2025, Issue 5, May 2025, rjaf242, https://doi.org/10.1093/jscr/rjaf242
Mucinous adenocarcinoma in the axilla of undetermined origin
Chloe Spillane and others
Journal of Surgical Case Reports, Volume 2025, Issue 5, May 2025, rjaf258, https://doi.org/10.1093/jscr/rjaf258
Contained gastric perforation leading to a rare abdominal subcutaneous collection: a case report
Sahar Alshammery and others
Journal of Surgical Case Reports, Volume 2025, Issue 5, May 2025, rjaf272, https://doi.org/10.1093/jscr/rjaf272
Pancreatitis, panniculitis, and polyarthritis syndrome presentation, diagnosis, and management
Xiang Yuen Po
Journal of Surgical Case Reports, Volume 2025, Issue 5, May 2025, rjaf305, https://doi.org/10.1093/jscr/rjaf305
Symptomatic pleural lipoma: a case report from Saudi Arabia
Ameen S Aldahar and others
Journal of Surgical Case Reports, Volume 2025, Issue 5, May 2025, rjaf310, https://doi.org/10.1093/jscr/rjaf310
Pleomorphic adenoma of the lip: a case report and literature review
Rawa M Ali and others
Journal of Surgical Case Reports, Volume 2025, Issue 5, May 2025, rjaf311, https://doi.org/10.1093/jscr/rjaf311
Chronic osteomyelitis at the base of coracoid process: an unusual location
Feras Abuqweider and others
Journal of Surgical Case Reports, Volume 2025, Issue 5, May 2025, rjaf312, https://doi.org/10.1093/jscr/rjaf312
Case of intestinal obstruction due to accidental ingestion of a silicone rubber dental impression
Yuki Takano and others
Journal of Surgical Case Reports, Volume 2025, Issue 5, May 2025, rjaf195, https://doi.org/10.1093/jscr/rjaf195
Presentation of an unusual variant of cellular dermatofibroma: a case report
Basem H Alshareef and others
Journal of Surgical Case Reports, Volume 2025, Issue 5, May 2025, rjaf257, https://doi.org/10.1093/jscr/rjaf257
Metastatic small intestinal neuroendocrine tumor presented with partial intestinal obstruction in Saudi Arabia: a case report
Faris Alsobyani and others
Journal of Surgical Case Reports, Volume 2025, Issue 5, May 2025, rjaf307, https://doi.org/10.1093/jscr/rjaf307
A case report of splenic rupture related to colonoscopy
Navid Moghimi and Markus A Puchner
Journal of Surgical Case Reports, Volume 2025, Issue 5, May 2025, rjaf313, https://doi.org/10.1093/jscr/rjaf313
Taming widow Dimanche’s horn: excision and reconstruction of recurrent dermatofibrosarcoma protuberans of the forehead
Surjeet Dwivedi and others
Journal of Surgical Case Reports, Volume 2025, Issue 5, May 2025, rjaf283, https://doi.org/10.1093/jscr/rjaf283
Successful treatment of necrotising fasciitis following cobra bite: a case report
Santosh Dev and others
Journal of Surgical Case Reports, Volume 2025, Issue 5, May 2025, rjaf309, https://doi.org/10.1093/jscr/rjaf309
Trans-scaphoid trans-triquetrum lunate dorsal dislocation combined with fracture of ulnar and radius with forearm compartment syndrome: a case report
Liang Zhou and others
Journal of Surgical Case Reports, Volume 2025, Issue 5, May 2025, rjaf314, https://doi.org/10.1093/jscr/rjaf314
A rare presentation of high-grade serous ovarian carcinoma with ulcerating inguinal lymph node metastasis: a case report
Hassan M Latifah and others
Journal of Surgical Case Reports, Volume 2025, Issue 5, May 2025, rjaf317, https://doi.org/10.1093/jscr/rjaf317
A rare case of proximal closed loop obstruction between gastric band and obstructed ventral hernia
Leonid Drober and others
Journal of Surgical Case Reports, Volume 2025, Issue 5, May 2025, rjaf326, https://doi.org/10.1093/jscr/rjaf326
Surgical management of a facial artery aneurysm in sub-Saharan Africa: a rare case report
Abdel Kémal Bori Bata and others
Journal of Surgical Case Reports, Volume 2025, Issue 5, May 2025, rjaf329, https://doi.org/10.1093/jscr/rjaf329
Haemangioma of the small bowel mesentery: a case report
Phoebe C Wood and others
Journal of Surgical Case Reports, Volume 2025, Issue 5, May 2025, rjaf268, https://doi.org/10.1093/jscr/rjaf268
Single-stage internal fixation with knee arthroplasty: a novel approach for concurrent knee osteoarthritis and distal femoral fracture
Yinping Liu and Guosong Xu
Journal of Surgical Case Reports, Volume 2025, Issue 5, May 2025, rjaf322, https://doi.org/10.1093/jscr/rjaf322
Incidental found tuberculous peritonitis during hernioplasty
Yu-Hsin Tu and others
Journal of Surgical Case Reports, Volume 2025, Issue 5, May 2025, rjaf328, https://doi.org/10.1093/jscr/rjaf328
Recurrence of malignant insulinoma in the context of multiple endocrine neoplasia type 1: a case report
Marcela Palomo and others
Journal of Surgical Case Reports, Volume 2025, Issue 5, May 2025, rjaf335, https://doi.org/10.1093/jscr/rjaf335
High grade endometrioid carcinoma arising from deep infiltrating endometriosis extending deeply into the pelvis: a case report
Tomohiro Goda and others
Journal of Surgical Case Reports, Volume 2025, Issue 5, May 2025, rjaf266, https://doi.org/10.1093/jscr/rjaf266
Incidentally discovered large ancient retroperitoneal schwannoma: a rare case report and literature review
Abdellatif Khader and others
Journal of Surgical Case Reports, Volume 2025, Issue 5, May 2025, rjaf303, https://doi.org/10.1093/jscr/rjaf303
Staged endovascular repair of post-dissection thoracoabdominal aortic aneurysm using false lumen stent grafts placement
Hironobu Nishiori and others
Journal of Surgical Case Reports, Volume 2025, Issue 5, May 2025, rjaf336, https://doi.org/10.1093/jscr/rjaf336
Hydatid thrombosis of the portal vein: a rare case report
Fatima Chait and others
Journal of Surgical Case Reports, Volume 2025, Issue 5, May 2025, rjaf337, https://doi.org/10.1093/jscr/rjaf337
Robotic left hepatectomy for the management of mucinous cystic neoplasm of the liver with atypical presentation inside the biliary tract: a case report
Santiago Andrés Muñoz-Palomeque and others
Journal of Surgical Case Reports, Volume 2025, Issue 5, May 2025, rjaf339, https://doi.org/10.1093/jscr/rjaf339
Appendiceal diverticulitis masked as acute appendicitis
Michael John Furey and others
Journal of Surgical Case Reports, Volume 2025, Issue 5, May 2025, rjaf315, https://doi.org/10.1093/jscr/rjaf315
Perianal panniculitis presenting as chronic perianal pain: a diagnostic challenge
Imran Thariq Ajmal and others
Journal of Surgical Case Reports, Volume 2025, Issue 5, May 2025, rjaf340, https://doi.org/10.1093/jscr/rjaf340
Spontaneously ruptured undifferentiated gallbladder carcinoma in a young woman: a rare and aggressive entity
Youness Slimi and others
Journal of Surgical Case Reports, Volume 2025, Issue 5, May 2025, rjaf345, https://doi.org/10.1093/jscr/rjaf345
Mantle cell lymphoma of the colon: case report and literature review
Gregory Crisafulli and others
Journal of Surgical Case Reports, Volume 2025, Issue 5, May 2025, rjaf347, https://doi.org/10.1093/jscr/rjaf347
A rare presentation of perforated Meckel diverticulitis in adulthood
Alejandra Viera Plasencia and David A Motola
Journal of Surgical Case Reports, Volume 2025, Issue 5, May 2025, rjaf348, https://doi.org/10.1093/jscr/rjaf348
Malignant peripheral nerve sheath tumor of the nasal cavity: a rare diagnostic and therapeutic challenge
Amine Oussalem and others
Journal of Surgical Case Reports, Volume 2025, Issue 5, May 2025, rjaf349, https://doi.org/10.1093/jscr/rjaf349
Azygos lobe mimicking pneumothorax in trauma: a case report
Abdullah Alruways and others
Journal of Surgical Case Reports, Volume 2025, Issue 5, May 2025, rjaf350, https://doi.org/10.1093/jscr/rjaf350
Infected urachal cyst presenting as acute abdomen – a case report
Mohsin Yahya Murshid and others
Journal of Surgical Case Reports, Volume 2025, Issue 5, May 2025, rjaf359, https://doi.org/10.1093/jscr/rjaf359
Technique modifications: enabling laparoscopic repair of duodenal atresia in a preterm, very low birthweight infant
Patricia Corujo Avila and others
Journal of Surgical Case Reports, Volume 2025, Issue 5, May 2025, rjaf323, https://doi.org/10.1093/jscr/rjaf323
The boy who lived: staged repair of congenital diaphragmatic hernia with esophageal atresia and tracheoesophageal fistula in a 32-week, 1.5 kg infant, and review of the literature
John M Woodward and others
Journal of Surgical Case Reports, Volume 2025, Issue 5, May 2025, rjaf333, https://doi.org/10.1093/jscr/rjaf333
A ceramic liner fracture during total hip arthroplasty: a case report
Huihui Zhou and Yan Wang
Journal of Surgical Case Reports, Volume 2025, Issue 5, May 2025, rjaf346, https://doi.org/10.1093/jscr/rjaf346
Acute obstruction from adult left-sided Bochdalek hernia: a rare surgical emergency
Tushar Nagtode and others
Journal of Surgical Case Reports, Volume 2025, Issue 5, May 2025, rjaf352, https://doi.org/10.1093/jscr/rjaf352
A rare case of esophageal perforation following a choking episode with complicated course: management and outcomes
Alaa R AL-Ihribat and others
Journal of Surgical Case Reports, Volume 2025, Issue 5, May 2025, rjaf353, https://doi.org/10.1093/jscr/rjaf353
Case Series
Management of rhinophyma
Sarra Benwadih and others
Journal of Surgical Case Reports, Volume 2025, Issue 5, May 2025, rjaf280, https://doi.org/10.1093/jscr/rjaf280
Single graft “peninsula-style” transverse aortic arch replacement in patients with type A acute aortic dissection: case report
Vladimir Belostotsky and others
Journal of Surgical Case Reports, Volume 2025, Issue 5, May 2025, rjaf292, https://doi.org/10.1093/jscr/rjaf292
Incidental findings of ectopic adrenal cortical tissue in the umbilical hernia sac and uterine wall: report of two cases in adult females
Aileen Azari-Yam and Reza Khorvash
Journal of Surgical Case Reports, Volume 2025, Issue 5, May 2025, rjaf316, https://doi.org/10.1093/jscr/rjaf316
Spinal arachnoid cyst among Nigerians
Toyin A Oyemolade and others
Journal of Surgical Case Reports, Volume 2025, Issue 5, May 2025, rjaf331, https://doi.org/10.1093/jscr/rjaf331
Ileal pouch-anal anastomosis in familial adenomatous polyposis and ulcerative colitis with coexisting colorectal cancer: a guideline for treatment
Mohammed Aldakhil and Nasser Alsanea
Journal of Surgical Case Reports, Volume 2025, Issue 5, May 2025, rjaf332, https://doi.org/10.1093/jscr/rjaf332
Solitary fibrous tumors of the infratemporal fossa: case series
Khaoula Nini and others
Journal of Surgical Case Reports, Volume 2025, Issue 5, May 2025, rjaf338, https://doi.org/10.1093/jscr/rjaf338
Modified partial talectomy followed by tibiotalocalcaneal fusion for neglected clubfoot: a case series and literature review
Raden Andri Primadhi and others
Journal of Surgical Case Reports, Volume 2025, Issue 5, May 2025, rjaf342, https://doi.org/10.1093/jscr/rjaf342
Surgical Technique
Pancreas-sparing duodenectomy for kissing duodenal ulcers spawned by refractory peptic ulcer disease: case report with technical note and literature review
Simone Giungato and others
Journal of Surgical Case Reports, Volume 2025, Issue 5, May 2025, rjaf327, https://doi.org/10.1093/jscr/rjaf327
Novel application of orthopedic suture tape for sternal closure after upper hemisternotomy
Vishal N Shah and others
Journal of Surgical Case Reports, Volume 2025, Issue 5, May 2025, rjaf343, https://doi.org/10.1093/jscr/rjaf343
Correction
Correction to: TDAP flap in reconstruction of a severe postburn contracture of the axillary region—a case report
Journal of Surgical Case Reports, Volume 2025, Issue 5, May 2025, rjaf364, https://doi.org/10.1093/jscr/rjaf364
Advertisement
Advertisement