-
PDF
- Split View
-
Views
-
Cite
Cite
Bakr F Alawna, Ahmad Nouri, Bahaa Arafat, Islam Rajab, Qusay Abdoh, An unexpected cause of abdominal pain: a case report of a toothpick in the liver successfully treated with gastroendoscopy, Journal of Surgical Case Reports, Volume 2025, Issue 5, May 2025, rjae851, https://doi.org/10.1093/jscr/rjae851
Close - Share Icon Share
Abstract
Foreign body ingestion is a frequent occurrence in emergency departments, with most cases resolving without complications. However, sharp objects like toothpicks carry a higher risk of serious outcomes, including perforation and abscess formation. In this case, we are presenting a 62-year-old male patient who arrived at the emergency department with severe right upper quadrant abdominal pain and fever. Despite the absence of signs of gastrointestinal perforation or peritonitis, imaging revealed a toothpick penetrating both the stomach and liver, with no evidence of abscess formation. The toothpick was successfully removed using a gastroscopic approach. This case highlights an unusual condition where a foreign body migrated to the liver, yet the patient was successfully managed through a non-surgical, minimally invasive approach. Early diagnosis and minimally invasive intervention can lead to favorable outcomes without the need for invasive procedures.
Introduction
Foreign body ingestion is not an uncommon scenario encountered in emergency departments. Although most foreign bodies pass without causing harm, certain objects pose a higher risk of complications. One such object is the toothpick, whose pointed, sharp ends increase the likelihood of perforation at any point in the gastrointestinal tract, potentially leading to serious consequences such as peritonitis and abscess formation [1].
Toothpick ingestion, like other foreign body ingestions, can occur accidentally, often in children. However, deliberate and recurrent ingestion may be observed in individuals with psychiatric conditions or in prisoners [2]. Other risk factors include habitual toothpick use for cleaning, eating with a toothpick, and alcohol consumption. The clinical presentation may not always be apparent, as some individuals present with no symptoms or delayed clinical manifestations. Therefore, obtaining a thorough history is essential to identify missed scenarios [3].
Toothpick ingestion is considered rare, with an estimated 3.6 cases per 100 000 people annually [4]. Nonetheless, any ingested foreign body can travel to various gastrointestinal organs. For instance, a toothpick that reaches the liver can cause devastating injuries, including liver abscesses and portal vein thrombosis. However, the clinical presentation may not always indicate these complications, making a holistic evaluation critical [5].
In this case, we are presenting a 62-year-old male who came in with severe right upper quadrant abdominal pain and fever but showed no signs of gastrointestinal perforation or peritonitis.
Case presentation
A 62-year-old male presented to the emergency department with severe right upper quadrant abdominal pain that had persisted for 24 h. He denied any associated gastrointestinal symptoms, including nausea, vomiting, changes in bowel habits, or stool color. The patient is a nonsmoker with an insignificant medical history. His vital signs were stable, except for an elevated temperature of 39°C. On physical examination, he exhibited right upper quadrant tenderness without signs of peritonitis. Laboratory investigations revealed neutrophil-predominant leukocytosis (80%) with an elevated white blood cell (WBC) count of 15 × 103/μL (normal range: 4.0–11.0 × 103/μL), and increased inflammatory markers, including an erythrocyte sedimentation rate of 66 mm/h and a C-reactive protein level of 118 mg/L.
An abdominal ultrasound revealed a linear structure with posterior acoustic artifact and regional edema in the liver tissue, located between the distal stomach and the left liver lobe, suggesting the presence of a foreign body (Fig. 1). Additionally, the liver showed generalized fatty infiltration. The pancreas, spleen, and other abdominal structures were unremarkable, with no evidence of intra-abdominal free fluid.

Abdominal ultrasound showing a linear structure (thin arrow) suggestive of a foreign body, with posterior acoustic artifact and regional edema in the liver (thick arrow). The stomach is marked with a not-filled arrow.
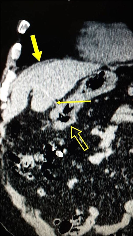
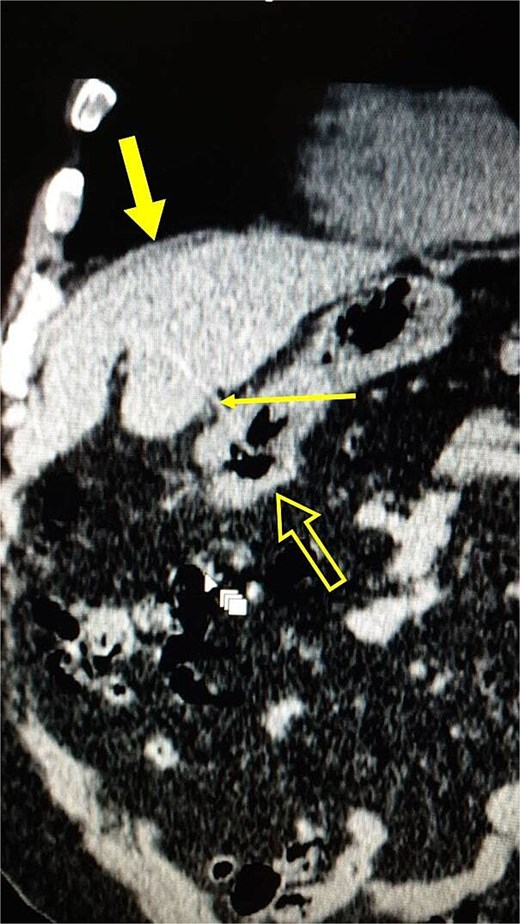
A non-contrast computed tomography (CT) scan was performed, confirming the ultrasound findings and revealing a hyperdense linear structure measuring 6 cm, penetrating the stomach and extending to the left liver lobe, with no evidence of free air or signs of bowel perforation (Fig. 2).

Coronal section of a non-contrast CT scan of the abdomen, showing a hyperdense linear structure (thin arrow) penetrating the stomach (not-filled arrow) and extending into the left liver lobe (thick arrow).
The patient remained stable and continued to show no signs of peritonitis. He subsequently underwent gastroscopy for the removal of the foreign body, which was identified as a toothpick penetrating the stomach antrum. The toothpick was successfully removed using a snare without any immediate complications (Fig. 3).

(a) Gastroscopic photograph showing the toothpick embedded in the stomach wall. (b) The extracted toothpick placed on a gauze after successful removal.
After the procedure, the patient was observed for 24 h and placed on intravenous antibiotics, with a diet consisting solely of clear fluids. During this time, his condition improved, and no complications were observed. He was counseled about potential complications and advised on when to visit the emergency room. The patient was discharged on oral antibiotics and scheduled for a follow-up appointment a week later at the gastroenterology clinic, where his condition had completely improved, with no recurrence or additional complaints.
Discussion
Foreign body ingestion is a common clinical scenario, with most cases resolving spontaneously without the need for intervention. However, 10%–20% of cases require endoscopic removal, while surgery is rarely necessary unless complications like perforation are present. Serious complications, including impaction, obstruction, and perforation, are more likely to occur in anatomical areas of physiological narrowing, such as the upper and lower esophageal sphincters, pylorus, ileocecal valve, and anus [6].
Gastric perforation is a rare but serious complication of foreign body ingestion, especially when the foreign body is sharp (e.g. toothpicks, bones, needles). It typically presents with signs of peritonitis, which, if untreated, can progress to sepsis and septic shock [6, 7].
Toothpick ingestion often presents with vague symptoms such as abdominal pain, fever, nausea, constipation, or diarrhea [4]. In cases of right upper quadrant pain, differential diagnoses should include biliary diseases like cholecystitis, cholangitis, and hepatic conditions such as hepatitis and liver abscesses [8].
The definitive diagnosis of toothpick ingestion often involves laparoscopic exploration, but CT scans are effective in detecting wooden objects. Other imaging modalities, such as X-rays and ultrasounds, may fail to detect toothpicks due to their radiolucent nature [9].
The standard treatment for perforating foreign bodies is surgical removal because most cases are complicated, and when complications such as peritonitis or abscess occur, surgery is required [10, 11]. However, in selected cases where complications are absent, endoscopic or percutaneous radiological interventions may be appropriate [12].
Serious complications related to toothpick ingestion include gastrointestinal perforation, migration to other structures like the ureter, pleura, or bladder, and the development of fistulas involving major blood vessels like the aorta and inferior vena cava [1]. Liver abscess is one of the most common complications of untreated foreign bodies, which can lead to significant morbidity. Other potential complications include portal vein thrombosis and, rarely, pericardial injury, or effusion [5, 13].
Conclusion
This case highlights the rare occurrence of a toothpick penetrating the stomach and liver without causing peritonitis or abscess formation. The patient presented with vague abdominal pain and fever, and despite the presence of a sharp foreign object, he remained hemodynamically stable. Imaging confirmed the diagnosis, and endoscopic removal was performed successfully. This case emphasizes the importance of considering non-surgical management for patients without signs of severe complications, even in cases of sharp foreign body ingestion. Early diagnosis and intervention can lead to favorable outcomes without the need for more invasive procedures.
Conflict of interest statement
On behalf of all authors, the corresponding author states that there is no conflict of interest.
Funding
No funding was received to assist with the preparation of this manuscript.
Ethical approval
Our institution does not require ethical approval for reporting individual cases or case series.
Informed consent to participate
Written informed consent was obtained from the patient himself. The participant has consented to the submission of the case report to the journal.
References
Author notes
Bakr F. Alawna and Ahmad Nouri contributed equally to this article and are to be considered joint first authors.