-
PDF
- Split View
-
Views
-
Cite
Cite
Tomás Marín-Cuartas, Jörg-Peter Ritz, Andreas Getz, Michael Wöhlke, Judith Sporn, Rare paracholedochal lymph node metastasis in lung cancer, Journal of Surgical Case Reports, Volume 2025, Issue 5, May 2025, rjaf260, https://doi.org/10.1093/jscr/rjaf260
Close - Share Icon Share
Abstract
Lung cancer remains the leading cause of cancer-related mortality worldwide. Common metastatic sites include the liver, bones and adrenal glands, while intra-abdominal lymph node metastases (ALNM) are less frequently recognized and often underestimated. Non-small cell lung cancer (NSCLC) accounts for 85% of lung cancer cases. Gastrointestinal and intra-ALNM are rare but likely underdiagnosed, with hematogenous and lymphatic pathways, including the thoracic duct, playing key roles. ALNM occurs in 6%–11% of NSCLC patients, with the porta hepatis being an exceptionally rare site. Advanced staging and follow-up are crucial for detecting ALNM, as they impact prognosis and therapy. Positron emission tomography/computed tomography (PET/CT) has shown superior sensitivity compared to CT in detecting extrathoracic metastases, influencing management in up to 25% of NSCLC cases. Here, we present the case of a NSCLC patient with a paracholedochal lymph node metastasis and explore various metastatic pathways emphasizing the pivotal role of PET/CT imaging.
Introduction
Lung cancer is a leading cause of cancer-related deaths worldwide [1–4]. Common extrathoracic metastatic sites include the liver, bones, adrenal glands, kidneys, and pericardium [2, 5]. Abdominal lymph node metastases (ALNM) occur in 6%–11% of non-small cell lung cancer (NSCLC) cases but are often underestimated [2, 6]. However, this figure includes all abdominal sites and not specifically paracholedochal lymph nodes, a rare metastatic site affecting ˂1% of patients [1]. Extended staging and follow-up are essential, as ALNM significantly impacts prognosis and treatment.
Case presentation
A 70-year-old patient with a history of asbestos exposure and former smoking (20 pack-years) underwent restaging for a large-cell squamous carcinoma of the left upper lobe with mediastinal lymph node metastases (cT4 cN3 cM0, stage IIIC). Initially diagnosed and treated with curative intent in 2023, the patient received four cycles of vinorelbine/carboplatin, one cycle of durvalumab, and radiotherapy (total dose: 60 Gy). The admission also focused on monitoring bilateral radiation pneumonitis progression.
Computed tomography (CT) showed significant regression of the left central tumor, mediastinal, and right hilar lymph nodes, along with a trend toward resolution of bipulmonary pneumonitis. Bronchoscopy revealed marked tumor regression in the left upper lobe, with histology showing bronchial wall reserve cell hyperplasia and mucosal changes, but no recurrence of the previously diagnosed poorly differentiated squamous cell carcinoma or evidence of malignancy.
A CT scan unexpectedly revealed a new lesion suspicious for malignancy in liver segments V and VI. Magnetic resonance imaging (MRI) confirmed a well-defined mass in the right hepatic lobe, consistent with metastasis from the known squamous cell carcinoma of the lung (Fig. 1). The pulmonary tumor board recommended surgical resection of the solitary centrally located hepatic metastasis in the right lobe with curative intent.

MRI of the liver with single poly-lobulated, smoothly delineated mass in the right liver lobe.
Intraoperatively, enlarged, firm, polycyclic paracholedochal lymph nodes were found in the hepatoduodenal ligament/porta hepatis, and frozen-section analysis confirmed metastases from the bronchial carcinoma (Fig. 2). Additionally, multiple previously undetected liver metastases were discovered in segments III and VIII. Due to these findings, curative resection was deemed unfeasible, and the procedure was terminated.

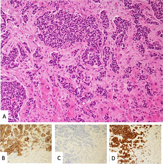
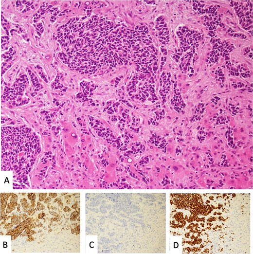
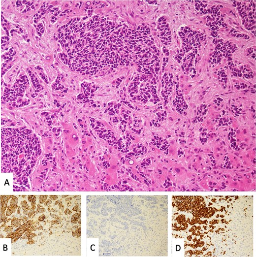
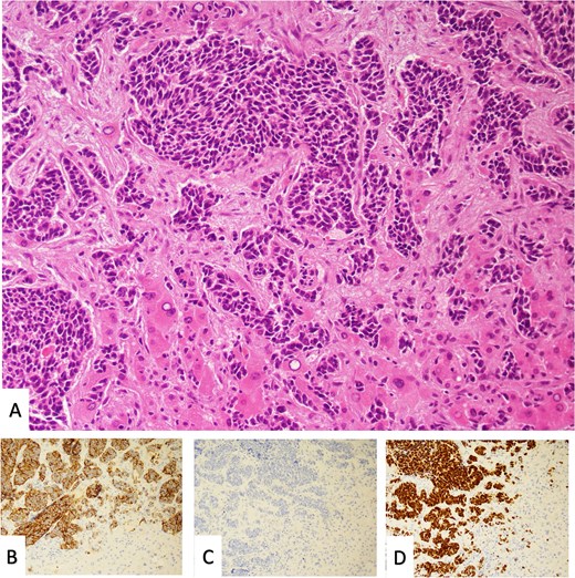
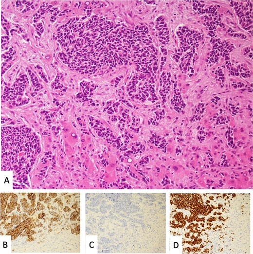
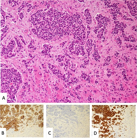
Liver metastasis of a small cell carcinoma. (A) Small to intermediate-sized tumor cells with dense chromatin, scant cytoplasm and brisk mitotic activity. Adjacent pre-existing liver tissue. (B) Expression of chromogranin/synaptophysin. (C) Negative for p40. (D) Positive staining for TTF1.
The patient recovered well postoperatively. The intraoperative findings and the shift to a palliative treatment approach, were discussed with the patient.
Discussion
Lung cancer is a leading cause of cancer-related deaths and is classified into NSCLC and SCLC. NSCLC, comprising about 85% of cases, includes adenocarcinoma, squamous cell carcinoma, and large cell carcinoma. It is often diagnosed at an advanced stage with hematogenous or lymphatic metastases [1, 3, 4, 7].
The liver, bones, lungs, brain, adrenal glands, kidneys, and pericardium are common metastatic sites [2, 5, 7]. Gastrointestinal metastases are rare (0.5%–10%), mostly affecting the small intestine (8.1%), with stomach and colon involvement being less common (5.1% and 4.5%) [3, 8]. Squamous cell carcinoma is most associated with intestinal metastases, followed by adenocarcinoma and SCLC [3, 5]. While abdominal metastases in NSCLC are reported, no studies specifically address ALNM prevalence in NSCLC patients.
The pathway through which primary lung cancer metastasizes to the gastrointestinal tract remains unclear. However, hematogenous and lymphatic pathways are considered the most likely mechanisms [8–10]. One hypothesis suggests that gastrointestinal metastases may result from the ingestion of sputum rich in cancer cells, which subsequently enter the digestive tract; this mechanism is particularly relevant in smokers, as they are more susceptible to gastric mucosal damage than nonsmokers [3].
Wookyung Ryu et al. suggest the thoracic duct as a lymphatic route for ALNM [1]. The cisterna chyli, receiving lymph from intestinal and lumbar trunks, may explain the higher ALNM incidence in “left thorax” lesions draining into the thoracic duct [1]. Jiajing Sun et al. describe tumor cell micrometastases spreading via lymphatic pathways, from intrapulmonary (N1) to mediastinal (N2) nodes, eventually entering the bloodstream through the azygos vein and superior vena cava [11]. Once in circulation, cancer cells implant in abdominal organs, replacing normal tissue.
Most patients with gastrointestinal metastases show no specific symptoms, leading to underdiagnosis. However, complications like perforations, obstructions, or bleeding can arise as the disease progresses [8].
FDG-PET imaging has proven superior to CT in detecting lymph node metastases in NSCLC [6, 12], with sensitivities of 100% and 82%, compared to 69% for CT alone [6]. Additionally, there are reports of NSCLC patients where PET/CT exclusively identified Isolated skip metastasis to the abdominal lymph node [6].
According to Karyagar et al., the proportion of ALNM in their study was 6%. They also noted that PET/CT could change management in 20%–25% of NSCLC patients, effectively and accurately identifying hidden extrathoracic metastases in seemingly non-metastatic patients [2].
We agree with Tsai-Wang et al. that the low reported incidence of ALNM may result from underestimation [6]. Furthermore, we propose that the introduction of PET/CT as a standard method for preoperative staging in lung cancer could lead to an increased detection of cases like the one reported here, enabling adjustments in staging during preoperative or pretherapeutic evaluations.
Conclusion
Lymph node and gastrointestinal metastases in NSCLC may be more common than previously thought, often being underestimated. Hematogenous and lymphatic pathways, including the thoracic duct, may play a larger role than assumed. However, comprehensive studies are needed to determine the true prevalence and mechanisms. Advances in FDG-PET imaging allow more accurate detection, impacting staging and therapy. Implementing PET/CT as a standard procedure could help better understand the incidence and significance of abdominal metastases in NSCLC.
Declaration of generative AI and AI-assisted technologies in the writing process
During the preparation of this work the author(s) used ChatGPT in order to correct grammar and language. After using this tool, the author(s) reviewed and edited the content as needed and take(s) full responsibility for the content of the publication.
Conflict of interest statement
None declared.
Funding
None declared.