Issue navigation
Volume 2016, Issue 7, July 2016
Case reports
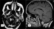
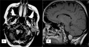
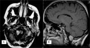
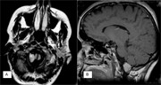
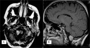
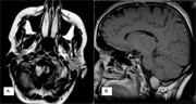
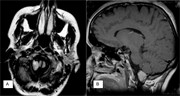
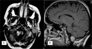
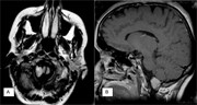
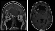
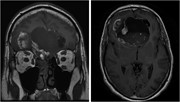
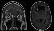
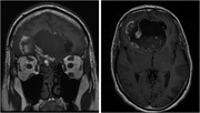
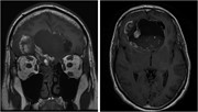
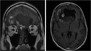
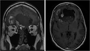
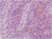
Meningioma arising in the hypoglossal canal: the midline suboccipital subtonsillar approach
Samuel Dobrowolski and others
Journal of Surgical Case Reports, Volume 2016, Issue 7, July 2016, rjw039, https://doi.org/10.1093/jscr/rjw039
Case Report
Emergency surgery for epidural abcess secondary to sacral fistula after laparoscopic proctectomy
Jeremie Zeitoun and others
Journal of Surgical Case Reports, Volume 2016, Issue 7, July 2016, rjw108, https://doi.org/10.1093/jscr/rjw108
Intestinal malrotation complicated by an occlusive syndrome involving internal hernia in a pregnant woman
Emilie Joyeux and others
Journal of Surgical Case Reports, Volume 2016, Issue 7, July 2016, rjw113, https://doi.org/10.1093/jscr/rjw113
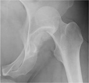
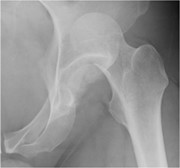
Use of the trochanteric flip osteotomy to facilitate internal fixation of a femoral head fracture
James A. Gillespie and others
Journal of Surgical Case Reports, Volume 2016, Issue 7, July 2016, rjw115, https://doi.org/10.1093/jscr/rjw115
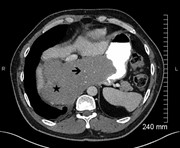
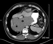
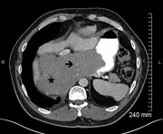
First case report of chylous ascites after robot-assisted donor nephrectomy
Shiromani Janki and others
Journal of Surgical Case Reports, Volume 2016, Issue 7, July 2016, rjw118, https://doi.org/10.1093/jscr/rjw118
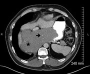
Invasive sinonasal adenocarcinoma with an absent olfactory bulb: a case report
Thomas H. Newman and others
Journal of Surgical Case Reports, Volume 2016, Issue 7, July 2016, rjw119, https://doi.org/10.1093/jscr/rjw119
De Garengeot's hernia in an 82-year-old man: a case report and clinical significance
Túlio F. Leite and others
Journal of Surgical Case Reports, Volume 2016, Issue 7, July 2016, rjw120, https://doi.org/10.1093/jscr/rjw120
Extradural sacrococcygeal subcutaneous ependymoma misdiagnosed as pilonidal disease: case report and review of the literature
Kendall R. McEachron and Wolfgang B. Gaertner
Journal of Surgical Case Reports, Volume 2016, Issue 7, July 2016, rjw121, https://doi.org/10.1093/jscr/rjw121
Necrotizing fasciitis of anterior abdominal wall following cesarean section in a low-risk patient
Manisha Chhetry and others
Journal of Surgical Case Reports, Volume 2016, Issue 7, July 2016, rjw122, https://doi.org/10.1093/jscr/rjw122
A case of postoperative recurrent cholangitis after pancreaticoduodenectomy successfully treated by tract conversion surgery
Masahiro Shiihara and others
Journal of Surgical Case Reports, Volume 2016, Issue 7, July 2016, rjw123, https://doi.org/10.1093/jscr/rjw123
Intravascular extra-digital glomus tumor of the forearm
Mohammed Muneer and others
Journal of Surgical Case Reports, Volume 2016, Issue 7, July 2016, rjw124, https://doi.org/10.1093/jscr/rjw124
Thoracic endovascular aortic repair of a severely angulated aorta using a double-wire technique
Yohei Kawatani and others
Journal of Surgical Case Reports, Volume 2016, Issue 7, July 2016, rjw125, https://doi.org/10.1093/jscr/rjw125
Morgagni hernia presenting as gastric outlet obstruction in an elderly male
A. Kumar and R. S. Bhandari
Journal of Surgical Case Reports, Volume 2016, Issue 7, July 2016, rjw126, https://doi.org/10.1093/jscr/rjw126
Lymphoedema of the penis and scrotum as a sequela of chronic skin infection
Soh Nishimoto and others
Journal of Surgical Case Reports, Volume 2016, Issue 7, July 2016, rjw127, https://doi.org/10.1093/jscr/rjw127
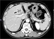
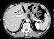
Idiopathic pseudoaneurysm in a patient with breast implants
Hoda Khorasani and others
Journal of Surgical Case Reports, Volume 2016, Issue 7, July 2016, rjw128, https://doi.org/10.1093/jscr/rjw128
Iatrogenic oesophageal perforation during placement of an endoscopic vacuum therapy device
Edwin Halliday and others
Journal of Surgical Case Reports, Volume 2016, Issue 7, July 2016, rjw131, https://doi.org/10.1093/jscr/rjw131
Advertisement
Advertisement














