-
PDF
- Split View
-
Views
-
Cite
Cite
James A. Gillespie, Andrew G. Marsh, Sanjeev R. Patil, Use of the trochanteric flip osteotomy to facilitate internal fixation of a femoral head fracture, Journal of Surgical Case Reports, Volume 2016, Issue 7, July 2016, rjw115, https://doi.org/10.1093/jscr/rjw115
Close - Share Icon Share
Abstract
We report the case of a 42-year-old male who suffered a fracture–dislocation of the femoral head. After a closed reduction of the hip, this proceeded to an open reduction with internal fixation of the fractured femoral head, in addition to labral repair and micro-fracture of an articular cartilage defect. After considering the risks to the femoral head blood supply, the trochanteric flip osteotomy was used. This provided ample and safe exposure. At 14 months follow-up, the patient-reported outcome measures are favourable: modified Harris Hip Score (81/100), the non-arthritic hip score (92.5/100) and SF-12 (41/48).
INTRODUCTION
Traumatic dislocation of the hip is a relatively rare injury, accounting for about 5% of all joint dislocations [1]. Long-term complications include avascular necrosis of the femoral head. The incidence of this has been reported to increase with longer periods of dislocation, prompting the need for early relocation [2]. One of the main surgical dangers is damaging the femoral head blood supply when performing an open reduction of fracture/dislocation.
CASE REPORT
A fit and well man in his 40s had fallen while hiking up a steep hill. He complained of immediate onset, severe left hip pain and inability to move. He was airlifted to our hospital and was found to have shortened externally rotated left leg. Plain X-rays were performed in the emergency department (Fig. 1) identifying isolated fracture–dislocation of the left hip. Computed tomography (CT) was performed while en route to theatre (Figs 2 and 3).

AP radiograph of left hip showing fracture–dislocation of femoral head.


Due to the time involved in the airlift extraction, the hip was dislocated for ~5–6 h. He was attended to by the on-call Consultant Orthopaedic Surgeon, and under general anaesthetic, the hip was reduced with no particular difficulty. The case was referred to the department hip specialist. A further CT scan was performed to assess the position of the fracture to aid in pre-op planning.
The trochanteric flip osteotomy described by Ganz et al. [3] is said to provide safe access to the femoral head and acetabulum. In this case, the osteotomy was used to facilitate fixation of the femoral head fracture. This facilitated good visualization of the femoral head.
In addition to the bony injury, labral detachment and tearing were noted (later repaired with suture anchors). The femoral head was comminuted and had areas of missing articular cartilage especially posteriorly and superiorly with a 1 × 1 cm2 area of full thickness cartilage loss (Fig. 4). The weight-bearing zone was relatively unaffected. The ligamentum teres had to be released to allow fracture reduction and fixation with four headless compression screws (Fig. 5). A good fixation was achieved. Microfracture was performed on the articular cartilage defect. The femoral head, fracture fragment and microfracture site were bleeding and appeared viable.

Intraoperative view of the femoral head with temporary fixation with wires.

Intraoperative view of the femoral head after fixation with headless compression screws.
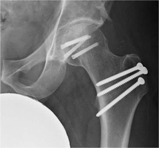
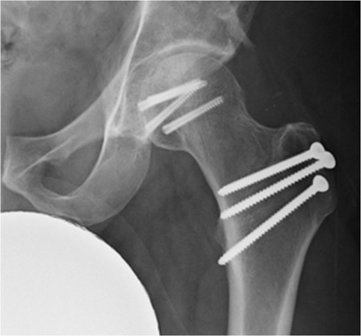
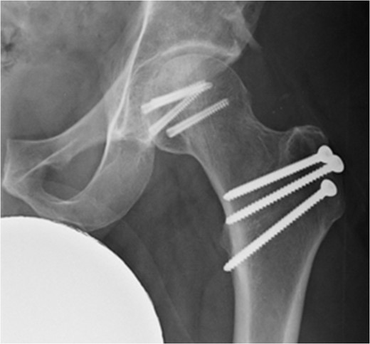
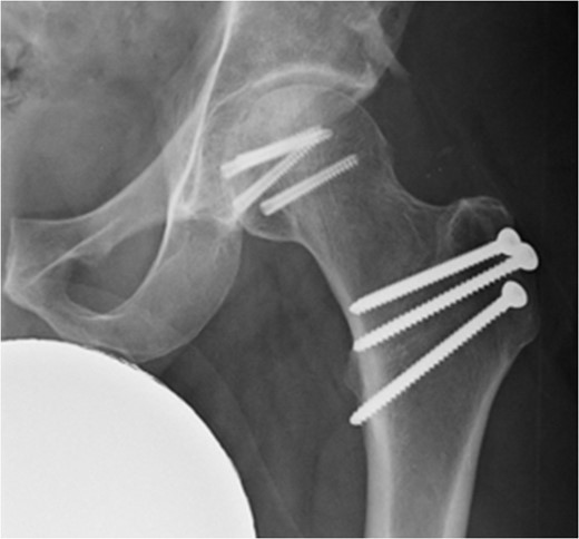
At 14 months postoperative, the patient is pleased with his progress. There is no radiographic evidence of avascular necrosis at this stage (Figs 6 and 7). He regularly participates in activities such as cycling, and scores well on the modified Harris Hip Score (81/100), non-arthritic hip score (92.5/100) and SF-12 (41/48).


DISCUSSION
The main blood supply to the adult femoral head has been shown on CT angiography to be supplied by branches of the medial femoral circumflex artery (MFCA) and the inferior gluteal artery, with the MFCA predominating in most individuals [4, 5]. In theory, tearing of these vessels could occur during hip dislocation; however, animal studies have shown that this is unusual [6]. Hip dislocation more commonly causes extrinsic compression resulting in filling defects of the common femoral and circumflex vessels [7]. Early relocation of the dislocated hip limits the period of vascular compression and has been shown to help reduce the risk of femoral head avascular necrosis. Hougaard et al. [2] reported that reduction within 6 h of onset of dislocation resulted in avascular necrosis in 4.8% of cases compared with 52.9% of cases where the dislocation was reduced after 6 h. Further studies have confirmed this critical period [8]. When closed reduction is unable to be achieved, open relocation is performed. However, complications associated with the surgical approach used should be evaluated and, in particular, potential for injury to the vascular supply should be borne in mind.
Ganz described a trochanteric osteotomy to facilitate surgical dislocation of the un-injured hip to allow adequate, safe exposure of the hip joint in treatment of femoro-acetabular impingement and other disorders [3]. The principle was to preserve the blood supply to the femoral head. This method avoids insult to the anastomosis of the inferior gluteal artery and the MFCA which is found along the border of piriformis and quadratus femoris [3]. Indeed in this series of 213 surgical dislocations, none went on to develop avascular necrosis.
We believe this trochanteric osteotomy to be a safe means to reduce and fix femoral head fractures, with good visibility and most importantly allowing preservation of the blood supply.
Conflict of interest statement
None declared.