Issue navigation
Volume 2014, Issue 5, May 2014
Case Reports
Isolated partial, transient hypoglossal nerve injury following acupuncture
A.M. Harrison and O.J. Hilmi
Journal of Surgical Case Reports, Volume 2014, Issue 5, May 2014, rju055, https://doi.org/10.1093/jscr/rju055
Primary mesenteric gastrointestinal stromal tumour
R. Kirby and others
Journal of Surgical Case Reports, Volume 2014, Issue 5, May 2014, rju050, https://doi.org/10.1093/jscr/rju050
Immediate postoperative parastomal end sigmoid hernia resulting in evisceration and strangulation
Vitali Azouz and others
Journal of Surgical Case Reports, Volume 2014, Issue 5, May 2014, rju047, https://doi.org/10.1093/jscr/rju047
Suspected incisional hernia leading to resection of rib sequestrum: a rare case report
Marko Martinovski and Joel A. Green
Journal of Surgical Case Reports, Volume 2014, Issue 5, May 2014, rju048, https://doi.org/10.1093/jscr/rju048
Gastropleural fistula in metastatic ovarian cancer
Rachael Lauren Armstrong and Phillip Bradford Heyse
Journal of Surgical Case Reports, Volume 2014, Issue 5, May 2014, rju033, https://doi.org/10.1093/jscr/rju033
Recurrent wound dehiscence and small bowel herniation following Caesarean section in a woman with hidradenitis suppurativa
Magage Fernando and Meleesa J. Schultz
Journal of Surgical Case Reports, Volume 2014, Issue 5, May 2014, rju031, https://doi.org/10.1093/jscr/rju031
Endometriosis within a left-sided inguinal hernia sac
Katherine Albutt and others
Journal of Surgical Case Reports, Volume 2014, Issue 5, May 2014, rju046, https://doi.org/10.1093/jscr/rju046
A rare presentation of triple-negative apocrine breast carcinoma with metastases
Tyler Bedford and others
Journal of Surgical Case Reports, Volume 2014, Issue 5, May 2014, rju045, https://doi.org/10.1093/jscr/rju045
Trocar site hernias from using bladeless trocars: should fascial closure be performed?
June Lee and others
Journal of Surgical Case Reports, Volume 2014, Issue 5, May 2014, rju044, https://doi.org/10.1093/jscr/rju044
Colo-articular fistula following a Girdlestone resection arthroplasty
Ibraheim El-Daly and others
Journal of Surgical Case Reports, Volume 2014, Issue 5, May 2014, rju043, https://doi.org/10.1093/jscr/rju043
Flexor digitorum profundus entrapment in paediatric forearm fractures
Kit Brogan and Steve Nicol
Journal of Surgical Case Reports, Volume 2014, Issue 5, May 2014, rju038, https://doi.org/10.1093/jscr/rju038
Enterocolic lymphocytic phlebitis: an oncologic surgical resection without a preoperative pathologic diagnosis
Astrid A.M. Huiberts and others
Journal of Surgical Case Reports, Volume 2014, Issue 5, May 2014, rju037, https://doi.org/10.1093/jscr/rju037
Exacerbation of left ventricular outlet obstruction in hypertrophic obstructive cardiomyopathy: an unexpected complication of gastric banding
Ahmad Mahamid and others
Journal of Surgical Case Reports, Volume 2014, Issue 5, May 2014, rju040, https://doi.org/10.1093/jscr/rju040
Secondary repair of severe chronic fourth-degree perineal tear due to obstetric trauma
Elroy P. Weledji and others
Journal of Surgical Case Reports, Volume 2014, Issue 5, May 2014, rju034, https://doi.org/10.1093/jscr/rju034
Open perilunate injury with lunate revascularization after complete ligamentous avulsion
Dillon Arango and others
Journal of Surgical Case Reports, Volume 2014, Issue 5, May 2014, rju041, https://doi.org/10.1093/jscr/rju041
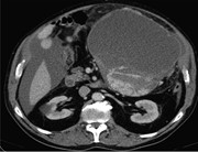
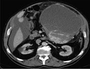
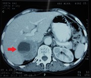
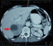
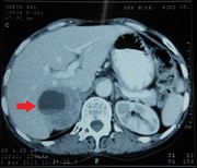
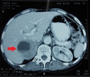
Adrenocortical carcinoma posing as a pheochromocytoma: a diagnostic dilemma
Sumita Jain and others
Journal of Surgical Case Reports, Volume 2014, Issue 5, May 2014, rju030, https://doi.org/10.1093/jscr/rju030
Small bowel obstruction caused by sigmoid mesocolic hernia
Chunseok Yang and Daedong Kim
Journal of Surgical Case Reports, Volume 2014, Issue 5, May 2014, rju036, https://doi.org/10.1093/jscr/rju036
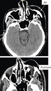
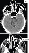
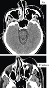
Mediastinal emphysema following fracture of the orbital floor
Husham Abdelrahman and others
Journal of Surgical Case Reports, Volume 2014, Issue 5, May 2014, rju032, https://doi.org/10.1093/jscr/rju032
Advertisement
Advertisement
















