-
PDF
- Split View
-
Views
-
Cite
Cite
Ibraheim El-Daly, Brenavan Natarajan, Karthig Rajakulendran, Sean Symons, Colo-articular fistula following a Girdlestone resection arthroplasty, Journal of Surgical Case Reports, Volume 2014, Issue 5, May 2014, rju043, https://doi.org/10.1093/jscr/rju043
Close - Share Icon Share
Abstract
Colo-articular fistulas are rare complications that are usually associated with inflammatory, infective or malignant bowel disease. We report the case of a 44-year-old male who was found to have a colo-articular fistula intra-operatively during the washout of a septic hip joint. The patient had no pre-existing bowel disease, but was an intravenous drug user, who had previously undergone a Girdlestone procedure for osteomyelitis of the proximal femur. The patient was managed through a multi-disciplinary team approach with subsequent debridement and formation of a transverse loop colostomy to control the faeculent fistulous discharge.
INTRODUCTION
Colo-articular fistulas involving the hip joint are rare entities associated with significant morbidity. They have previously been reported in the literature in patients with inflammatory bowel disease (IBD) [1], diverticular disease (DD) [2] and bowel carcinoma [3]. In addition, solitary case reports have described their formation following total hip arthroplasty [4, 5]. To our knowledge we report the first case where a colo-articular fistula has developed between healthy sigmoid colon and the hip joint in a patient with a history of intravenous drug use (IVDU) and previous Girdlestone procedure.
CASE REPORT
A 44-year-old Caucasian male presented to the Emergency department with a 3-day history of increasing abdominal pain, melaena, coffee ground vomit and left hip pain with difficulty in walking. The patient was a known IVDU, with a history of hepatitis C. He previously underwent multiple incision and drainage procedures for left groin abscesses and on one occasion required an emergency fasciectomy for suspected necrotizing fasciitis. The patient subsequently developed chronic osteomyelitis in the left proximal femur with avascular necrosis of the femoral head. Whilst under the care of a specialist bone infection unit he underwent a left Girdlestone resection arthroplasty 1 year prior to this presentation.
On admission, the patient was afebrile, but tachycardic. He had epigastric tenderness without guarding. Scrotal oedema and a necrotic patch of skin in the perineum were noted. Digital rectal examination demonstrated an empty rectum with no blood. Examination of the left hip revealed indurated tender skin to the upper outer thigh without discharging sinus. All passive and active movements of the left hip were irritable and reduced. He was unable to weight bear on that side.
Blood investigations showed elevated inflammatory markers (CRP 213 mg/l and WCC 13.5 × 109/l). The rest of his blood profile and urinalysis were normal. He was commenced on intravenous antibiotic therapy (pipperacillin and tazobactam) for sepsis and proton pump inhibitors for a presumed upper gastro-intestinal bleed and admitted under the care of the physicians.
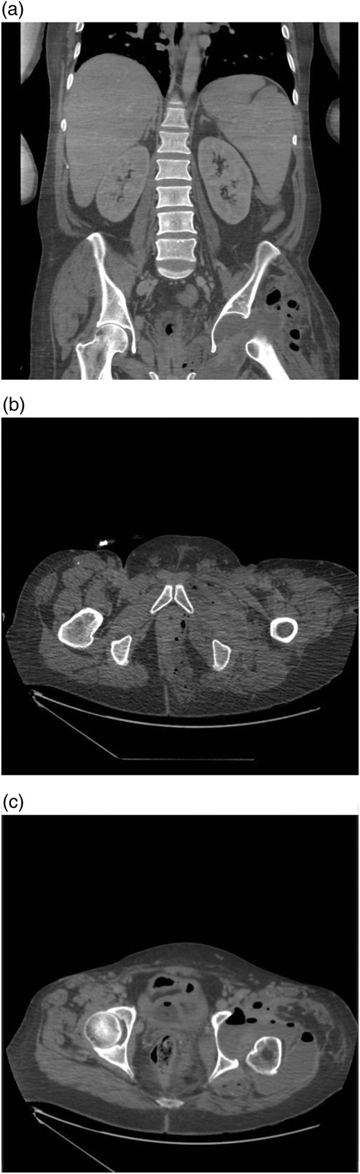
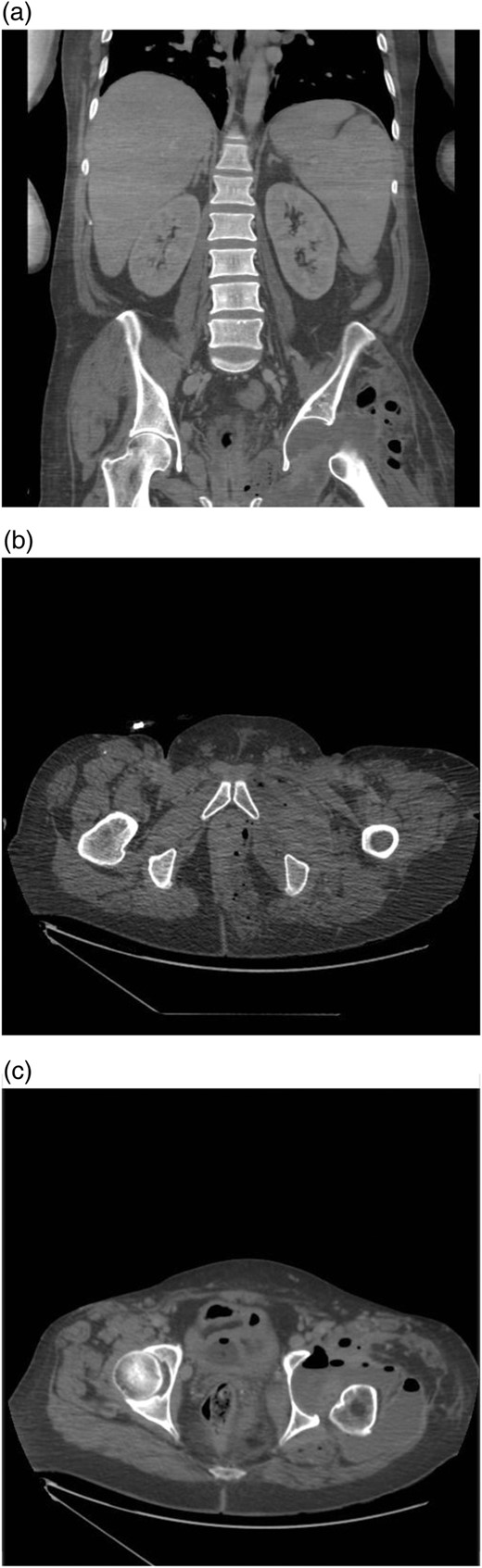
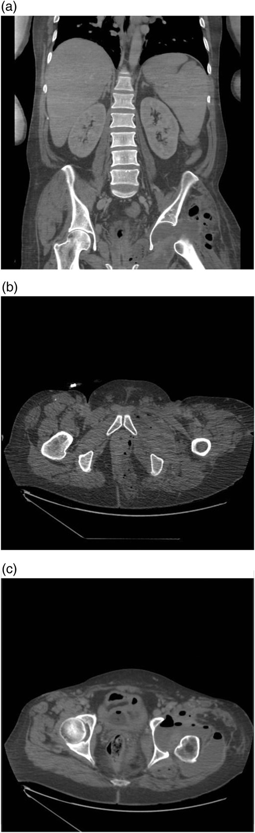
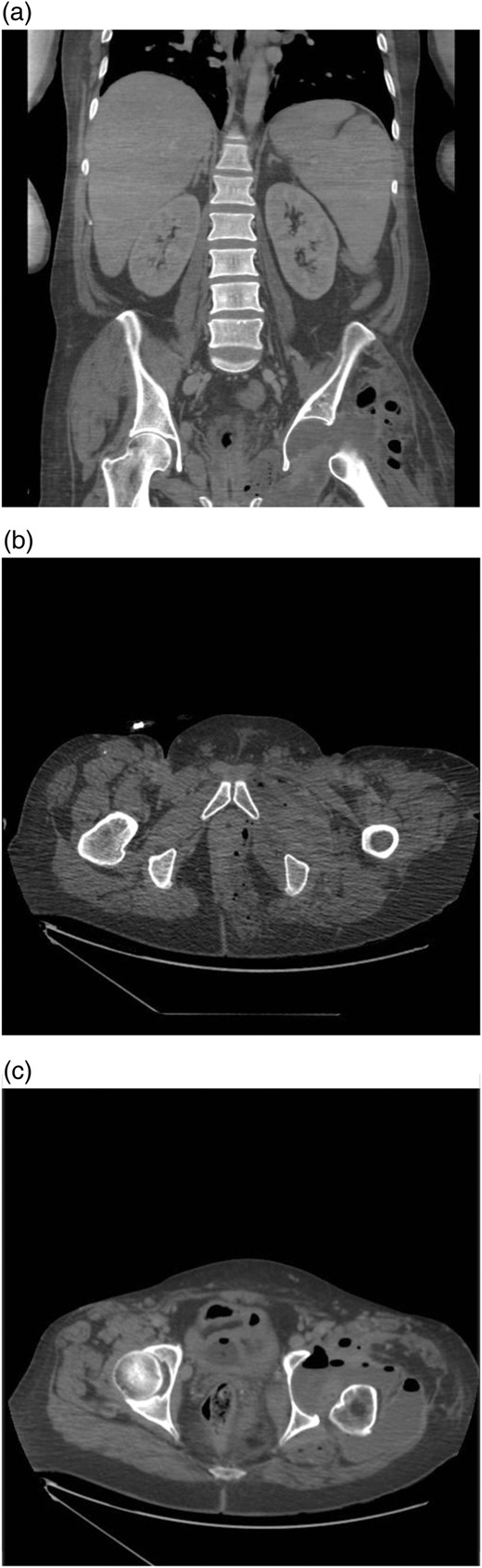
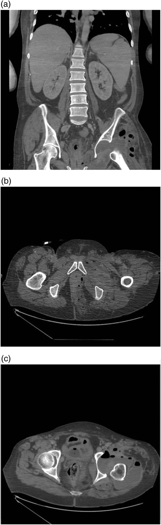
The patient's condition deteriorated and complained of increasing left sided lower abdominal and hip pain. Despite vigorous administration of intravenous fluids, serial lactate levels demonstrated a rapid increase. A computed tomography (CT) scan of the abdomen and pelvis demonstrated a moderate collection involving the musculature surrounding the left hip with gas within the soft tissue, extending to the left ischiorectal fossa and left obturator internus muscle, suggesting a communication between the bowel and hip joint. There were no features of IBD, DD or bowel carcinoma (Fig. 1).

(a) Coronal slice from a CT scan of the abdomen and pelvis showing the left hip gridlestone with the presence of air in the joint space. (b and c) Axial images demonstrating air in the lower rectum with involvement of the left ischial fossa and passage along the obturator canal to the left hip joint.
Following review by the orthopaedic team, the patient underwent an urgent open hip washout. Surgery was performed under general anaesthesia with the patient in the lateral decubitus position. An anterolateral approach to the hip joint was utilized. On opening the hip capsule, copious amount of faeculant fluid was found inside the joint. A colorectal surgeon was called to theatre and identified a fistula between the hip joint and the bowel through the obturator foramen, from which faeculent fluid could be expressed. The hip joint was washed thoroughly, packed and a negative pressure wound dressing was applied. Fluid cultures taken intra-operatively grew Escherichia coli and Streptococcus anginosus. Following discussion with the microbiologist, the patient was commenced on piperacillin and tazobactam with good response.
The patient underwent contrast enhanced magnetic resonance imaging of the pelvis. This revealed areas of gas and an abscess in the upper thigh with extensive oedema and collections surrounding the rectum but due to significant movement artefact a fistula could not be visualized. Forty-eight hours post-operatively, a diagnosis of Fournier's gangrene was made and the patient was taken back to theatre for debridement of the perineal region. An open transverse loop defunctioning colostomy was fashioned to control the faeculent drainage. The hip joint had further washouts and the wound was treated with a negative pressure dressing.
Subsequent OGD demonstrated oesophagitis, with two small duodenal ulcers that were not actively bleeding. Following surgery, the patient reported significant improvement in his left hip pain over the course of 10 days. He demonstrated a good range of hip movement and was able to weight bear and mobilize pain free. He was discharged home on oral antibiotics for 4 weeks.
DISCUSSION
Colo-articular fistulas involving the hip joint are predominantly rare sequale of underlying inflammatory or malignant gastro-intestinal disease. Fistula formation in Crohn's disease and DD are recognized complications, and communication with the hip joint has been documented with associated psoas abscess formation [1]. This can result in septic arthritis of the hip joint and proximal femoral osteomyelitis [6]. These conditions can also produce thigh abscess and other significant soft tissue infections from colo-cutaneous fistula [7]. Colo-articular fistulas have also been reported following surgery and radiotherapy for primary bowel carcinoma [3] and post-total hip arthroplasty, where the components have migrated [4, 5].
Our patient had no history of IBD or DD nor any evidence of malignancy. His current CT and MRI images did not reveal any evidence of any underlying disease process. The patient did have a history of chronic infection in the left hip, as a result of his IVDU. He had experienced multiple soft tissue groin abscesses and presented with acute-on-chronic soft tissue infection to the proximal thigh and perineum. The subsequent diagnosis was Fournier's gangrene; it is likely that his infection started from an extra-abdominal source becoming intra-peritoneal. The presence of gas within the hip, gram-negative anaerobes in the aspirate and marked improvement of symptoms following defunctioning loop colostomy are in keeping with an appropriately managed fistula.
Although rare, this case serves to raise awareness amongst orthopaedic surgeons about the possibility of colo-articular fistulas in patients with soft tissue infections. The case also highlights the importance of a multi-disciplinary team approach to obtain a good outcome. Early involvement of the colorectal surgeons is essential to manage the fistula output and combined surgery with the orthopaedic team ensures that aggressive debridement of infected tissues is undertaken to control the infection. In addition, microbiologist input must be sought to ensure that the correct antibiotic regime is commenced promptly.