Issue navigation
Volume 2014, Issue 1, January 2014
Case reports
Primary spindle cell sarcoma of the breast masquerading as necrotizing fasciitis
Kanellos Gesakis and others
Journal of Surgical Case Reports, Volume 2014, Issue 1, January 2014, rjt096, https://doi.org/10.1093/jscr/rjt096
Mucinous adenocarcinoma of the umbilicus 8 years following anterior resection for villous adenoma of the rectum
Benjamin W.P. Rossi and others
Journal of Surgical Case Reports, Volume 2014, Issue 1, January 2014, rjt098, https://doi.org/10.1093/jscr/rjt098
Laparoscopic reconstruction of the extrahepatic bile duct using a jejunal tube: an innovative, more physiological and anatomical technique for biliodigestive derivation
Eduardo Crema and others
Journal of Surgical Case Reports, Volume 2014, Issue 1, January 2014, rjt106, https://doi.org/10.1093/jscr/rjt106
Internal hernia and small bowel obstruction caused by a linear cutter staple at appendiceal stump following laparoscopic appendectomy
Lindsay F. Petersen and others
Journal of Surgical Case Reports, Volume 2014, Issue 1, January 2014, rjt114, https://doi.org/10.1093/jscr/rjt114
Synchronous asymptomatic colonic metastasis from primary esophageal squamous cell carcinoma
Yutaka Shimada and others
Journal of Surgical Case Reports, Volume 2014, Issue 1, January 2014, rjt117, https://doi.org/10.1093/jscr/rjt117
Confirmed testicular torsion in a 67 year old
Nicola L. Farrington and others
Journal of Surgical Case Reports, Volume 2014, Issue 1, January 2014, rjt119, https://doi.org/10.1093/jscr/rjt119
Complexities of abdominoperineal surgery: synchronous resection of an ano-rectal adenocarcinoma and pelvic schwannoma
Ryan P.C. Higgin and others
Journal of Surgical Case Reports, Volume 2014, Issue 1, January 2014, rjt120, https://doi.org/10.1093/jscr/rjt120
Twenty-year-old female with leiomyosarcoma of the breast
Parker Bassett and others
Journal of Surgical Case Reports, Volume 2014, Issue 1, January 2014, rjt121, https://doi.org/10.1093/jscr/rjt121
Laparoscopic resection of a retroperitoneal pelvic schwannoma
Takashi Okuyama and others
Journal of Surgical Case Reports, Volume 2014, Issue 1, January 2014, rjt122, https://doi.org/10.1093/jscr/rjt122
A mystifying mass
Gary Sharp and others
Journal of Surgical Case Reports, Volume 2014, Issue 1, January 2014, rjt123, https://doi.org/10.1093/jscr/rjt123
Postoperative radiotherapy in diffuse idiopathic skeletal hyperostosis: prophylaxis of recurrence after resection of osteophytes from C3 to C5 in a case of dysphagia
Florian F.P. Proescholdt and others
Journal of Surgical Case Reports, Volume 2014, Issue 1, January 2014, rjt124, https://doi.org/10.1093/jscr/rjt124
Placental infarction probably associated with late term premature delivery
Takeshi Kondo
Journal of Surgical Case Reports, Volume 2014, Issue 1, January 2014, rjt125, https://doi.org/10.1093/jscr/rjt125
Human papilloma virus-16 causing giant condyloma acuminata
Pallipuram Seshadrinathan Bhageerathy and others
Journal of Surgical Case Reports, Volume 2014, Issue 1, January 2014, rjt126, https://doi.org/10.1093/jscr/rjt126
Breast filariasis
Mohim Thakur and Yangshen Lhamo
Journal of Surgical Case Reports, Volume 2014, Issue 1, January 2014, rjt128, https://doi.org/10.1093/jscr/rjt128
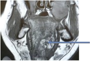
Metastatic breast cancer in the mandibular condyle mimicking temporomandibular joint (TMJ) disease
Andrea Della Chiesa and others
Journal of Surgical Case Reports, Volume 2014, Issue 1, January 2014, rjt130, https://doi.org/10.1093/jscr/rjt130
Major complications following total en bloc spondylectomy for giant-cell tumor
Renato P.M. Neves and others
Journal of Surgical Case Reports, Volume 2014, Issue 1, January 2014, rjt131, https://doi.org/10.1093/jscr/rjt131
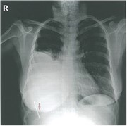
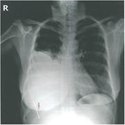
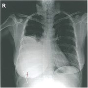
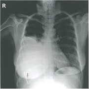
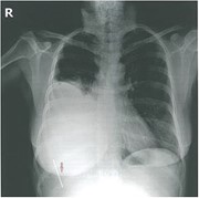
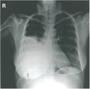
Intrathoracic migration of a Kirschner wire
Fatma Özarslan and others
Journal of Surgical Case Reports, Volume 2014, Issue 1, January 2014, rjt132, https://doi.org/10.1093/jscr/rjt132
Component separation in abdominal trauma
Edward Rawstorne and others
Journal of Surgical Case Reports, Volume 2014, Issue 1, January 2014, rjt133, https://doi.org/10.1093/jscr/rjt133
The Trotter procedure: a forgotten approach?
Neil Scott and others
Journal of Surgical Case Reports, Volume 2014, Issue 1, January 2014, rjt134, https://doi.org/10.1093/jscr/rjt134
Advertisement
Advertisement

















