-
PDF
- Split View
-
Views
-
Cite
Cite
Neil Scott, Robert Sudderick, Michael Bater, The Trotter procedure: a forgotten approach?, Journal of Surgical Case Reports, Volume 2014, Issue 1, January 2014, rjt134, https://doi.org/10.1093/jscr/rjt134
Close - Share Icon Share
Abstract
Anatomically, the surgical management of tongue base lesions is a challenging prospect for any head and neck surgeon. William Trotter described a median labio-mandibular glossotomy for access to such lesions (Meis JM, Enzinger FM. Myolipoma of soft tissue. Am J Surg Pathol 1991;15:121–5). Not widely reported, this approach still remains an important tool in the armamentarium of head and neck surgeons. We outline the use of this approach to remove a myolipoma from the tongue base.
INTRODUCTION
In 1920 William Trotter first described the median labio-mandibular glossotomy [1]. Although seldom undertaken, this approach still remains important for head and neck surgeons in accessing lesions of the tongue base, pharyngeal wall and cervical spine. We report the use of this technique to remove a rare benign mass from the tongue base.
CASE REPORT
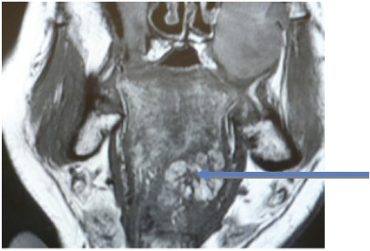
A 42-year-old male with Gorlin syndrome was referred by his General Practitioner to the Ear, Nose and Throat department with progressive dysphagia and voice change. Examination including fibre-optic nasendoscopy was normal, whilst magnetic resonance imaging (MRI) of the tongue base revealed no pathology. Following a period of observation, his symptoms progressed and a repeat MRI showed a discrete mass in the tongue base (Fig. 1). A panendoscopy was performed and biopsies demonstrated a myolipoma.

Coronal view MRI with arrow showing the myolipoma at the tongue base.
As the diagnosis was benign, the head and neck multidisciplinary team recommended laser de-bulking, and this was subsequently carried out on two separate occasions. The patient's dysphagia, however, became progressively worse, and it was therefore decided to resect the tumour via a median labiomandibular glossotomy (Trotter procedure) for access.
Following a prophylactic tracheostomy, access to the tongue base lesion was achieved by successive midline divisions of the lip, mandible, floor of mouth and tongue (Fig. 2). The tongue was divided avascularly along its midline raphe.

The tumour was successfully removed and the tongue and floor of mouth closed in layers. The mandible was reduced and fixed using pre-bent 2.0 miniplates and screws, before placement of a suction drain and closure of the lip.
The patient underwent an uneventful recovery. The tracheostomy was removed on the third post-operative day and a soft diet was re-established by the fifth day. The patient was discharged 7 days after the procedure. At 3-month follow-up, he reported no functional impairment and the surgical site had healed well (Fig. 3). Too date, 3 years post-operatively, he remains asymptomatic with no evidence of tumour recurrence.

DISCUSSION
First reported in 1991, a myolipoma is a benign tumour of mature adipose and smooth muscles, most commonly seen in the abdomen [2]. To our knowledge, myolipoma of the tongue base has only been reported in the literature on one occasion and this was also in association with Gorlin syndrome [2]. Meis et al. advise that caution must be applied if the lesion is situated in deep tissue as it may be confused with a well-differentiated liposarcoma [3]. With this in mind, surgical resection must be considered and at the tongue base this can prove particularly challenging.
The Trotter procedure or median labio-mandibular glossotomy is an important technique to access and excise both benign and malignant tumours located in the tongue base, oropharynx and the cranio-cervical junction. When undertaking this approach, the surgeon should pay meticulous attention to remaining in the midline of the tongue, thereby utilizing its relatively avascular median plane and preserving the neurovascular bundles bilaterally.
Patient consent for publication of images has been given in writing.
CONFLICT OF INTEREST STATEMENT
None declared.