Issue navigation
Volume 2021, Issue 9, September 2021
Editorial
Call for emergency action to limit global temperature increases, restore biodiversity, and protect health: Wealthy nations must do much more, much faster
Lukoye Atwoli and others
Journal of Surgical Case Reports, Volume 2021, Issue 9, September 2021, rjab377, https://doi.org/10.1093/jscr/rjab377
Case Report
Rupture of a superficial temporal artery pseudoaneurysm following craniotomy
Jessica Shields and others
Journal of Surgical Case Reports, Volume 2021, Issue 9, September 2021, rjab379, https://doi.org/10.1093/jscr/rjab379
Colonic actinomycosis presenting as a palpable colonic mass with normal colonic mucosa
Mai Charernsuk and others
Journal of Surgical Case Reports, Volume 2021, Issue 9, September 2021, rjab381, https://doi.org/10.1093/jscr/rjab381
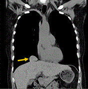
Intrathoracic lipoma in the horizontal fissure of the right lung: a case report
Eiji Nakajima and others
Journal of Surgical Case Reports, Volume 2021, Issue 9, September 2021, rjab385, https://doi.org/10.1093/jscr/rjab385
Diagnostic laparoscopy and oophorectomy for ovarian vein thrombosis in a patient with COVID-19: a surgical case report and literature review
Rebecca Glanzer and others
Journal of Surgical Case Reports, Volume 2021, Issue 9, September 2021, rjab389, https://doi.org/10.1093/jscr/rjab389
A case of ultrashort-segment Hirschsprung’s disease discovered after taking polyethylene glycol electrolyte solution for chronic constipation
Yukihiro Tatekawa
Journal of Surgical Case Reports, Volume 2021, Issue 9, September 2021, rjab390, https://doi.org/10.1093/jscr/rjab390
Surgical management of spinal tuberculosis with a two-stage posterior instrumentation with bridging: a case report
Faisal Mohammedsaleh Konbaz and others
Journal of Surgical Case Reports, Volume 2021, Issue 9, September 2021, rjab406, https://doi.org/10.1093/jscr/rjab406
Laparoscopic management of strangulated paracaecal hernia causing small bowel obstruction. Case report and review of the literature
Mahmoud Al-Ardah and others
Journal of Surgical Case Reports, Volume 2021, Issue 9, September 2021, rjab353, https://doi.org/10.1093/jscr/rjab353
A case of effective Delorme’s procedure for colonic mucosal prolapse after intersphincteric resection
Akihiro Kohata and others
Journal of Surgical Case Reports, Volume 2021, Issue 9, September 2021, rjab359, https://doi.org/10.1093/jscr/rjab359
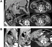
Nontraumatic liver herniation mimicking a right lower lobe lung mass
Muhammad Adeel Samad and others
Journal of Surgical Case Reports, Volume 2021, Issue 9, September 2021, rjab387, https://doi.org/10.1093/jscr/rjab387
Infrarenal aortic reconstruction using autologous femoral vein for a mycotic aneurysm caused by Streptococcus equi
Paul Ghaly and others
Journal of Surgical Case Reports, Volume 2021, Issue 9, September 2021, rjab388, https://doi.org/10.1093/jscr/rjab388
A comparison of transhepatic versus transperitoneal cholecystostomy for acute calculous cholecystitis: a 5-year experience
Stephen Bennett and others
Journal of Surgical Case Reports, Volume 2021, Issue 9, September 2021, rjab410, https://doi.org/10.1093/jscr/rjab410
Rapidly growing sclerosing angiomatoid nodular transformation of the spleen
Amir Humza Sohail and others
Journal of Surgical Case Reports, Volume 2021, Issue 9, September 2021, rjab323, https://doi.org/10.1093/jscr/rjab323
Peritoneal mesothelioma with invasion of the urinary bladder 20 years post radiation therapy for colon adenocarcinoma
Nicole Ong Mingjing and others
Journal of Surgical Case Reports, Volume 2021, Issue 9, September 2021, rjab392, https://doi.org/10.1093/jscr/rjab392
Inguinal bladder hernia: a case report
Ramzi Mejri and others
Journal of Surgical Case Reports, Volume 2021, Issue 9, September 2021, rjab386, https://doi.org/10.1093/jscr/rjab386
Reconstruction for rupture of profunda femoris artery aneurysm in a patient with sarcopenia
Chiharu Tanaka and others
Journal of Surgical Case Reports, Volume 2021, Issue 9, September 2021, rjab384, https://doi.org/10.1093/jscr/rjab384
Multiple caecal granular cell tumours—a case report
Kar Yin Fok and others
Journal of Surgical Case Reports, Volume 2021, Issue 9, September 2021, rjab396, https://doi.org/10.1093/jscr/rjab396
Fully laparoscopic pancreaticojejunostomy, Puestow procedure (with video)
B Gamez and others
Journal of Surgical Case Reports, Volume 2021, Issue 9, September 2021, rjab397, https://doi.org/10.1093/jscr/rjab397
Giant primary scrotal lipoma in a low-resource setting: challenges with diagnosis and review of literature
Anwar Sadat Seidu and others
Journal of Surgical Case Reports, Volume 2021, Issue 9, September 2021, rjab398, https://doi.org/10.1093/jscr/rjab398
Delayed mesh infection after inguinal hernia repair: a case report
Homare Ito and others
Journal of Surgical Case Reports, Volume 2021, Issue 9, September 2021, rjab399, https://doi.org/10.1093/jscr/rjab399
Acute hemorrhagic necrotizing pancreatitis in patient with COVID-19: a case report and review of literature
Sunil Basukala and others
Journal of Surgical Case Reports, Volume 2021, Issue 9, September 2021, rjab401, https://doi.org/10.1093/jscr/rjab401
Aspergillus fumigatus cerebral abscess and sphenoid sinus osteomyelitis in an immunocompetent patient following previous nasopharyngeal carcinoma and radiotherapy
Bernard J H Kim and others
Journal of Surgical Case Reports, Volume 2021, Issue 9, September 2021, rjab402, https://doi.org/10.1093/jscr/rjab402
A delayed diagnosis of obturator hernia hoodwinked by previous laparoscopic inguinal hernia repair
Melanie Mercado and others
Journal of Surgical Case Reports, Volume 2021, Issue 9, September 2021, rjab407, https://doi.org/10.1093/jscr/rjab407
Solitary pleural tuberculoma diagnosed by thoracoscopic surgical resection
Ryusuke Sumiya and others
Journal of Surgical Case Reports, Volume 2021, Issue 9, September 2021, rjab408, https://doi.org/10.1093/jscr/rjab408
Synchronous caecal and sigmoid volvulus: a surprise twist
Enda Hannan and others
Journal of Surgical Case Reports, Volume 2021, Issue 9, September 2021, rjab413, https://doi.org/10.1093/jscr/rjab413
Colonic leiomyoma mimicking a liver tumor: an unusual diagnosis after en-block robotic resection
Nicolás H Dreifuss and others
Journal of Surgical Case Reports, Volume 2021, Issue 9, September 2021, rjab418, https://doi.org/10.1093/jscr/rjab418
Gallbladder adenosquamous carcinoma: a case report and literature review
Tyler Davis and others
Journal of Surgical Case Reports, Volume 2021, Issue 9, September 2021, rjab365, https://doi.org/10.1093/jscr/rjab365
Petrous apex lesion following meningitis: management and discussion
Charles Elmaraghy and others
Journal of Surgical Case Reports, Volume 2021, Issue 9, September 2021, rjab371, https://doi.org/10.1093/jscr/rjab371
Lumbar radiculopathy due to foraminal stenosis with ossification of the ligamentum flavum: a case report
Shuta Ushio
Journal of Surgical Case Reports, Volume 2021, Issue 9, September 2021, rjab405, https://doi.org/10.1093/jscr/rjab405
Small lymphocytic lymphoma and lung malignancy coincidence in a male patient: a case report and literature review
Christos D Kakos and others
Journal of Surgical Case Reports, Volume 2021, Issue 9, September 2021, rjab412, https://doi.org/10.1093/jscr/rjab412
Automatic implantable cardioverter defibrillator (AICD) within the abdomen as a cause of adhesive small bowel obstruction (ASBO): a case report
Christopher J W Shean and Amir Butt
Journal of Surgical Case Reports, Volume 2021, Issue 9, September 2021, rjab423, https://doi.org/10.1093/jscr/rjab423
Posterior classical caesarean section in a myomatous gravid uterus at term: a case report
Christian C Makwe and others
Journal of Surgical Case Reports, Volume 2021, Issue 9, September 2021, rjab424, https://doi.org/10.1093/jscr/rjab424
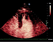
Treatment of device thrombus in the HeartWare HVAD: surgical exchange through thoracotomy
Amale Ghandour and Renzo Cecere
Journal of Surgical Case Reports, Volume 2021, Issue 9, September 2021, rjab425, https://doi.org/10.1093/jscr/rjab425
Trans-aortic left ventricular thrombo-embolectomy following COVID-19 infection
Michael Janula and others
Journal of Surgical Case Reports, Volume 2021, Issue 9, September 2021, rjab426, https://doi.org/10.1093/jscr/rjab426
Surgical repair of severely incompetent quadricuspid truncal valve
Rodrigo Sandoval Boburg and others
Journal of Surgical Case Reports, Volume 2021, Issue 9, September 2021, rjab427, https://doi.org/10.1093/jscr/rjab427
Application of the Konno procedure for infective endocarditis in native bicuspid aortic valve with annular abscess extending into the interventricular septum
Toshio Doi and others
Journal of Surgical Case Reports, Volume 2021, Issue 9, September 2021, rjab428, https://doi.org/10.1093/jscr/rjab428
Duplication of the urethra in an adult male presenting with scrotal fistula: a rare case report
Ghassen Tlili and others
Journal of Surgical Case Reports, Volume 2021, Issue 9, September 2021, rjab429, https://doi.org/10.1093/jscr/rjab429
Spontaneous soft tissue un-puckering of a surgical neck of humerus fracture: a case report
Alistair Olive and others
Journal of Surgical Case Reports, Volume 2021, Issue 9, September 2021, rjab430, https://doi.org/10.1093/jscr/rjab430
Chylous ascites as a marker for intestinal viability in a small bowel obstruction: a case report
Tia Morosin and M Shella De Robles
Journal of Surgical Case Reports, Volume 2021, Issue 9, September 2021, rjab411, https://doi.org/10.1093/jscr/rjab411
Perforated viscus as first presentation of Crohn’s disease: a case report
Jia Hui Lee and others
Journal of Surgical Case Reports, Volume 2021, Issue 9, September 2021, rjab415, https://doi.org/10.1093/jscr/rjab415
A rare case of extraluminally pedunculated gastrointestinal stromal tumor with postoperative metastasis to pancreas
Shoko Ogawa and others
Journal of Surgical Case Reports, Volume 2021, Issue 9, September 2021, rjab422, https://doi.org/10.1093/jscr/rjab422
SMARCB1 (INI1) retained but SMARCA4 (BRG1) negative atypical teratoid/rhabdoid tumor arising at the bilateral cerebellopontine angles: a case report
Nobuyuki Mitsui and others
Journal of Surgical Case Reports, Volume 2021, Issue 9, September 2021, rjab400, https://doi.org/10.1093/jscr/rjab400
Litrre’s hernia: partially reduced inguinal hernia in a 3-year-old boy
Bardisan Gawrieh and others
Journal of Surgical Case Reports, Volume 2021, Issue 9, September 2021, rjab421, https://doi.org/10.1093/jscr/rjab421
Large mediastinal germ cell tumor with disease progression during systemic therapy
Diana S Hsu and others
Journal of Surgical Case Reports, Volume 2021, Issue 9, September 2021, rjab416, https://doi.org/10.1093/jscr/rjab416
Case report of ureteric transection of lower moiety in high-speed road traffic collision
Carol-Ann McCorgray and others
Journal of Surgical Case Reports, Volume 2021, Issue 9, September 2021, rjab417, https://doi.org/10.1093/jscr/rjab417
Surgical Technique
Single-session laparoscopic cystectomy and nephroureterectomy: is it real and useful choice of treatment or fiction?
Raffaele Baio and others
Journal of Surgical Case Reports, Volume 2021, Issue 9, September 2021, rjab409, https://doi.org/10.1093/jscr/rjab409
Use of electrochemotherapy in a combined surgical treatment of local recurrence of rectal cancer
Paola Caprino and others
Journal of Surgical Case Reports, Volume 2021, Issue 9, September 2021, rjab403, https://doi.org/10.1093/jscr/rjab403
Corrigendum
Right-sided Bochdalek hernia in an adult: a case report
Ashis Pun and others
Journal of Surgical Case Reports, Volume 2021, Issue 9, September 2021, rjab432, https://doi.org/10.1093/jscr/rjab432
Advertisement
Advertisement