Issue navigation
Volume 2016, Issue 9, September 2016
Case Report
A rare case of concurrent signet-ring carcinoma of breast and microangiopathic hemolytic anemia
Kelly Lara and others
Journal of Surgical Case Reports, Volume 2016, Issue 9, September 2016, rjw132, https://doi.org/10.1093/jscr/rjw132
Perimenopausal invasive hyadatidiform mole treated by total abdominal hysterectomy followed by chemotherapy
Ayaka Nakashima and others
Journal of Surgical Case Reports, Volume 2016, Issue 9, September 2016, rjw142, https://doi.org/10.1093/jscr/rjw142
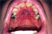
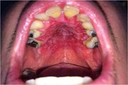
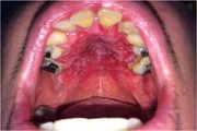
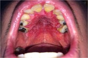
Extramammary Paget's disease of the oral tissues—literature review and a rare case report
Hana Kennedy and others
Journal of Surgical Case Reports, Volume 2016, Issue 9, September 2016, rjw152, https://doi.org/10.1093/jscr/rjw152
A unique case of venous air embolus with survival
Dafney L. Davare and others
Journal of Surgical Case Reports, Volume 2016, Issue 9, September 2016, rjw153, https://doi.org/10.1093/jscr/rjw153
Bipaddled anterolateral thigh perforator flap for simultaneous reconstruction of bilateral buccal defects following oral cancer ablation or release of oral submucous fibrosis
Wei-Chen Chen and others
Journal of Surgical Case Reports, Volume 2016, Issue 9, September 2016, rjw154, https://doi.org/10.1093/jscr/rjw154
Early postpartum gastric band slippage after bariatric surgery in an adolescent obese girl
Françoise Schmitt and others
Journal of Surgical Case Reports, Volume 2016, Issue 9, September 2016, rjw155, https://doi.org/10.1093/jscr/rjw155
A variety of gene polymorphisms associated with idiopathic granulomatous mastitis
Sebahattin Destek and others
Journal of Surgical Case Reports, Volume 2016, Issue 9, September 2016, rjw156, https://doi.org/10.1093/jscr/rjw156
Multiple cerebrospinal cavernous angiomas
M. Kodeeswaran and others
Journal of Surgical Case Reports, Volume 2016, Issue 9, September 2016, rjw157, https://doi.org/10.1093/jscr/rjw157
Intracranial subdural empyema mimicking a recurrent chronic subdural hematoma
Ninh Doan and others
Journal of Surgical Case Reports, Volume 2016, Issue 9, September 2016, rjw158, https://doi.org/10.1093/jscr/rjw158
Treatment of a giant inguinal hernia using transabdominal pre-peritoneal repair
Masato Momiyama and others
Journal of Surgical Case Reports, Volume 2016, Issue 9, September 2016, rjw159, https://doi.org/10.1093/jscr/rjw159
Adverse reaction to metal debris in a painful hemiarthroplasty of the hip
Jonathan Simon Palmer and others
Journal of Surgical Case Reports, Volume 2016, Issue 9, September 2016, rjw160, https://doi.org/10.1093/jscr/rjw160
An alternative technique for direct implantation of an anomalous left coronary artery arising from the pulmonary artery with complex coronary arteries
Kazuhiko Ishimaru and others
Journal of Surgical Case Reports, Volume 2016, Issue 9, September 2016, rjw161, https://doi.org/10.1093/jscr/rjw161
A rare presentation of breast cancer: near obstructing rectal mass and gastric outlet obstruction
Rachel Martin and others
Journal of Surgical Case Reports, Volume 2016, Issue 9, September 2016, rjw162, https://doi.org/10.1093/jscr/rjw162
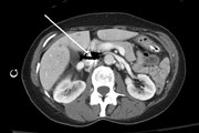
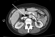
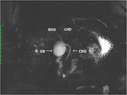
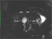
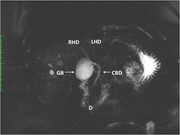
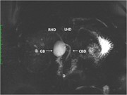
Laparoscopic removal of a gallbladder remnant in a patient with severe biliary pancreatitis
Shamir O Cawich and others
Journal of Surgical Case Reports, Volume 2016, Issue 9, September 2016, rjw163, https://doi.org/10.1093/jscr/rjw163
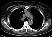
Port-site implantation of Type A Masaoka Stage I thymoma after video-assisted thoracic surgery: a case report
Naohiro Nose and others
Journal of Surgical Case Reports, Volume 2016, Issue 9, September 2016, rjw164, https://doi.org/10.1093/jscr/rjw164
Advertisement
Advertisement














