Volume 2015, Issue 12
December 2015
EISSN 2042-8812
Issue navigation
Volume 2015, Issue 12, December 2015
Case reports
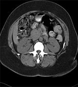
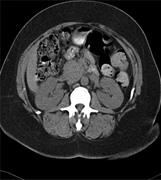
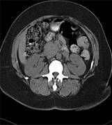
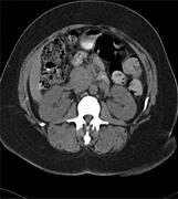
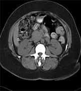
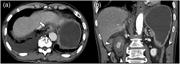
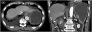
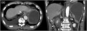
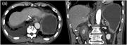
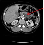
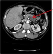
Solitary fibrous tumor of the pancreas
Andrew R. Baxter and others
Journal of Surgical Case Reports, Volume 2015, Issue 12, December 2015, rjv144, https://doi.org/10.1093/jscr/rjv144
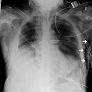
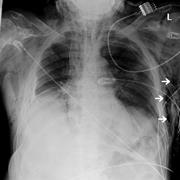
Blunt trauma resulting in pneumothorax with progression to pneumoperitoneum: a unique diagnosis with predicament in management
Karleigh R. Curfman and others
Journal of Surgical Case Reports, Volume 2015, Issue 12, December 2015, rjv147, https://doi.org/10.1093/jscr/rjv147
A difficult surgical approach for primary orbital hydatid cyst: transconjunctival medial orbitotomy
Selam Yekta Sendul and others
Journal of Surgical Case Reports, Volume 2015, Issue 12, December 2015, rjv150, https://doi.org/10.1093/jscr/rjv150
Transabdominal approach assisted by thoracoscopic drainage for lower esophageal perforation
Harufumi Maki and others
Journal of Surgical Case Reports, Volume 2015, Issue 12, December 2015, rjv151, https://doi.org/10.1093/jscr/rjv151
Gastro-cutaneous fistula 4 years after a fully resolved staple line leak in sleeve gastrectomy
Daniela Zanotti and others
Journal of Surgical Case Reports, Volume 2015, Issue 12, December 2015, rjv152, https://doi.org/10.1093/jscr/rjv152
Intraoperative identification of the human communicating nerve during thyroidectomy
Benjamin L. Hodnett and others
Journal of Surgical Case Reports, Volume 2015, Issue 12, December 2015, rjv154, https://doi.org/10.1093/jscr/rjv154
Diffuse lymphatic leakage after continuous vacuum-assisted closure therapy for thoracic wound infection after rib stabilization
Sandrine Dackam and others
Journal of Surgical Case Reports, Volume 2015, Issue 12, December 2015, rjv155, https://doi.org/10.1093/jscr/rjv155
Traumatic arteriovenous fistula of the superficial temporal artery
Katsunori Asai and others
Journal of Surgical Case Reports, Volume 2015, Issue 12, December 2015, rjv156, https://doi.org/10.1093/jscr/rjv156
Innovation in Surgery
Innovative technique for gastric retraction during laparoscopic distal pancreatectomy: the marionette
Rodrigo C. Surjan and others
Journal of Surgical Case Reports, Volume 2015, Issue 12, December 2015, rjv157, https://doi.org/10.1093/jscr/rjv157
Case reports
Minimally invasive surgical technique integrating multiple procedures with large specimen extraction via inguinal hernia orifice
Vishnu R. Mani and Leaque Ahmed
Journal of Surgical Case Reports, Volume 2015, Issue 12, December 2015, rjv158, https://doi.org/10.1093/jscr/rjv158
Langer's arch: a rare anomaly affects axillary lymphadenectomy
Ahmed M. Al Maksoud and others
Journal of Surgical Case Reports, Volume 2015, Issue 12, December 2015, rjv159, https://doi.org/10.1093/jscr/rjv159
A novel approach: how an intracoronary shunt proved to be lifesaving
Karen Booth and others
Journal of Surgical Case Reports, Volume 2015, Issue 12, December 2015, rjv160, https://doi.org/10.1093/jscr/rjv160
A case of pancreatic cancer with concomitant median arcuate ligament syndrome treated successfully using an allograft arterial transposition
Sebahattin Celik and others
Journal of Surgical Case Reports, Volume 2015, Issue 12, December 2015, rjv161, https://doi.org/10.1093/jscr/rjv161
A giant phyllodes tumor causing ulceration and severe breast disfigurement: case report and review of giant phyllodes
Mohammed A. Sbeih and others
Journal of Surgical Case Reports, Volume 2015, Issue 12, December 2015, rjv162, https://doi.org/10.1093/jscr/rjv162
Advertisement
Advertisement












