Issue navigation
Volume 2014, Issue 9, September 2014
Case Reports
Schwannoma: an unexpected diagnosis from a breast lump
Qing Ting Tan and others
Journal of Surgical Case Reports, Volume 2014, Issue 9, September 2014, rju085, https://doi.org/10.1093/jscr/rju085
Severe rectal haemorrhage after treatment for faecal incontinence
Deepa Taggarshe and Jeffrey J. Visco
Journal of Surgical Case Reports, Volume 2014, Issue 9, September 2014, rju086, https://doi.org/10.1093/jscr/rju086
Subglottic granuloma after aortic replacement: resection via flexible bronchoscopy after an emergency tracheostomy
Naohiro Nose and others
Journal of Surgical Case Reports, Volume 2014, Issue 9, September 2014, rju088, https://doi.org/10.1093/jscr/rju088
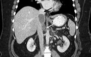
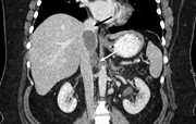
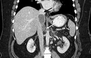
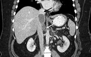
Accelerated development of mesenteric and renal artery calcific atherosclerosis following radiotherapy for testicular cancer
Rachel J. Walker and others
Journal of Surgical Case Reports, Volume 2014, Issue 9, September 2014, rju089, https://doi.org/10.1093/jscr/rju089
Nonfunctioning symptomatic paraganglioma: Is there an optimal follow-up for patients with extra-adrenal benign paragangliomas
D. Mantas and others
Journal of Surgical Case Reports, Volume 2014, Issue 9, September 2014, rju092, https://doi.org/10.1093/jscr/rju092
An interesting case of an aortopulmonary artery fistula
A.Z. Nghiem and others
Journal of Surgical Case Reports, Volume 2014, Issue 9, September 2014, rju079, https://doi.org/10.1093/jscr/rju079
Recurrent intravenous leiomyosarcoma of the uterus in the retrohepatic vena cava
Logan R. Mckenna and others
Journal of Surgical Case Reports, Volume 2014, Issue 9, September 2014, rju090, https://doi.org/10.1093/jscr/rju090
Presentation of metastatic renal cell carcinoma as a lip lesion
Alex Kotak and Graham Merrick
Journal of Surgical Case Reports, Volume 2014, Issue 9, September 2014, rju083, https://doi.org/10.1093/jscr/rju083
Conservative management of a large keratocystic odontogenic tumour
Pavan Padaki and others
Journal of Surgical Case Reports, Volume 2014, Issue 9, September 2014, rju091, https://doi.org/10.1093/jscr/rju091
Systemic amyloidosis causing intestinal hemorrhage and pseudo-obstruction
Rachelle Y. Leong and others
Journal of Surgical Case Reports, Volume 2014, Issue 9, September 2014, rju087, https://doi.org/10.1093/jscr/rju087
Surviving catastrophic disintegration of a large left atrial myxoma: the importance of multi-disciplinary team
Louay Habbab and others
Journal of Surgical Case Reports, Volume 2014, Issue 9, September 2014, rju093, https://doi.org/10.1093/jscr/rju093
Primary thyroid schwannoma masquerading as a thyroid nodule
Harsh Dhar and others
Journal of Surgical Case Reports, Volume 2014, Issue 9, September 2014, rju094, https://doi.org/10.1093/jscr/rju094
A rare cause of chronic dysphagia: eosinophilic esophagitis
Sebahattin Destek and others
Journal of Surgical Case Reports, Volume 2014, Issue 9, September 2014, rju096, https://doi.org/10.1093/jscr/rju096
The use of foam sclerotherapy to treat low-flow vascular malformations of the head and neck
I. Balasundaram and others
Journal of Surgical Case Reports, Volume 2014, Issue 9, September 2014, rju095, https://doi.org/10.1093/jscr/rju095
Advertisement
Advertisement












