Issue navigation
Volume 2014, Issue 10, October 2014
Case Reports
Right atrial myxoma with a large tumor embolus in the left pulmonary artery
Akihiko Ikeda and others
Journal of Surgical Case Reports, Volume 2014, Issue 10, October 2014, rju115, https://doi.org/10.1093/jscr/rju115
A traumatic superficial temporal artery aneurysm after a bicycle accident
Egbert J.D. Veen and others
Journal of Surgical Case Reports, Volume 2014, Issue 10, October 2014, rju112, https://doi.org/10.1093/jscr/rju112
Fatal fungal infection: the living dead
Sankar Narayanan ML and others
Journal of Surgical Case Reports, Volume 2014, Issue 10, October 2014, rju104, https://doi.org/10.1093/jscr/rju104
Rare skeletal muscle metastasis after radical nephrectomy for renal cell carcinoma: evaluation of two cases
Guray Togral and others
Journal of Surgical Case Reports, Volume 2014, Issue 10, October 2014, rju101, https://doi.org/10.1093/jscr/rju101
Unusual cause of pneumomediastinum in a laparoscopic extraperitoneal inguinal hernia repair
Tze Yeong Teng and Cheryl Chien-Li Lau
Journal of Surgical Case Reports, Volume 2014, Issue 10, October 2014, rju106, https://doi.org/10.1093/jscr/rju106
Chronic cough as a presenting feature of cerebral lymphoma
Stephen P. Williams and Mahmood F. Bhutta
Journal of Surgical Case Reports, Volume 2014, Issue 10, October 2014, rju109, https://doi.org/10.1093/jscr/rju109
Transverse testicular ectopia: a rare association with inguinal hernia
Prakash Dahal and others
Journal of Surgical Case Reports, Volume 2014, Issue 10, October 2014, rju097, https://doi.org/10.1093/jscr/rju097
A case of loss of consciousness with contralateral acute subdural haematoma during awake craniotomy
Kotoe Kamata and others
Journal of Surgical Case Reports, Volume 2014, Issue 10, October 2014, rju098, https://doi.org/10.1093/jscr/rju098
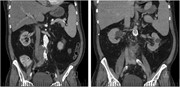
A rare case of ovarian cancer in pregnancy complicated by pulmonary embolus and myocardial infarction: management dilemmas
Sara Nasser and others
Journal of Surgical Case Reports, Volume 2014, Issue 10, October 2014, rju099, https://doi.org/10.1093/jscr/rju099
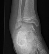
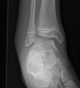
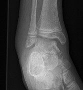
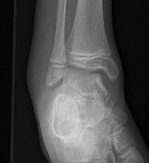
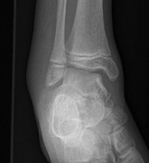
Unusual fracture combination in a paediatric acute ankle (combined medial talar compression fracture with medial malleolus fracture in an immature skeleton): a case report
Sebastien Crosswell and others
Journal of Surgical Case Reports, Volume 2014, Issue 10, October 2014, rju100, https://doi.org/10.1093/jscr/rju100
Traumatic ventricular septal defect resulting in severe pulmonary hypertension
Joseph G. Crompton and others
Journal of Surgical Case Reports, Volume 2014, Issue 10, October 2014, rju107, https://doi.org/10.1093/jscr/rju107
Stent graft infection secondary to appendicitis: an unusual complication of endovascular abdominal aortic aneurysm repair
Kalpa G. Perera and others
Journal of Surgical Case Reports, Volume 2014, Issue 10, October 2014, rju108, https://doi.org/10.1093/jscr/rju108
Advertisement
Advertisement










