- 
        
            
PDF
 - Split View
 - 
                            
                                
                                Views
 - 
    Cite
Cite
Rachelle Y. Leong, Kusuma Nio, Lauren Plumley, Ernesto Molmenti, Jonathan D.S. Klein, Systemic amyloidosis causing intestinal hemorrhage and pseudo-obstruction, Journal of Surgical Case Reports, Volume 2014, Issue 9, September 2014, rju087, https://doi.org/10.1093/jscr/rju087
Close - Share Icon Share
 
Abstract
There are two major forms of amyloidosis, primary amyloidosis (AL) and secondary amyloidosis. AL amyloidosis results from deposition of immunoglobulin light chains or their fragments. One such example is AL amyloidosis associated with multiple myeloma, in which overproduced immunoglobulin light chains get deposited onto tissues, leading to tissue dysfunction. Amyloidosis in the intestines can present as a wide spectrum of non-specific gastrointestinal (GI) complaints including abdominal pain, changes in bowel habits, overt gastrointestinal bleeding and complaints related to altered motility in over 95% of the patients. In our case report, we describe a 70-year-old male taken to the operating room (OR) for non-resolving small bowel obstruction, found to have pseudo-obstruction and hemorrhagic enteritis. He was also diagnosed with multiple myeloma from a bone marrow biopsy and later biopsy of stomach and duodenum revealed amyloid deposition consistent with amyloidosis. In conclusion, patients with multiple myeloma and vague abdominal complaints should raise suspicion of amyloidosis.
INTRODUCTION
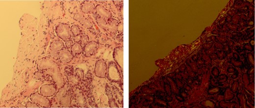
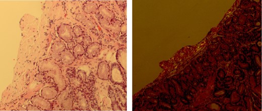
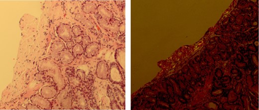
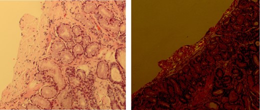
Amyloidosis is a pathologic diagnosis characterized by deposition of specific proteins arranged in a β-pleated sheet structure onto organs. This protein deposition when stained with Congo Red stain appears apple green when viewed under polarized light [1, 9]. Systemic amyloidosis occurs when these protein structures accumulate throughout the body, leading to organ dysfunction secondary to destruction of normal tissue architecture (Figures 1–3).

Intraoperative findings of massively distended small bowel loops with hemorrhagic enteritis.

H&E and Congo Red stains showing amyloid deposition in the muscularis propria of the stomach.

H&E and Congo Red stains showing amyloid deposition in the muscularis propria of the duodenum.
Systemic amyloidosis is a rare entity. Most diagnosis are made late in the disease process, mainly due to lack of any specific presenting symptoms. The majority of literature published on this disease entity consists of mostly individual case reports, and presenting symptoms on these reports include non-specific abdominal pain, diarrhea, malabsorption, pseudo-obstruction and severe gastrointestinal (GI) hemorrhage [2]. A case series published in 2007 reports 19 patients diagnosed with systemic amyloidosis of the GI tract between January 1992 and January 2006 at a major tertiary referral center in the USA [3]. These patients presented with a wide spectrum of non-specific GI complaints including abdominal pain, changes in bowel habits, overt gastrointestinal bleeding and complaints related to altered motility in over 95% of the patients [3].
Here we report a case of AL amyloidosis involving the stomach and small intestine presenting with pseudo-obstruction and hemorrhagic enteritis on a patient who was newly diagnosed with multiple myeloma.
CASE REPORT
Our patient is a 70-year-old male with a past medical history of GERD and hypertension who complaint of fatigue, bright red blood per rectum, weight loss and poor appetite for 1 day. Previous colonoscopies were significant for internal hemorrhoids.
A surgical consult was called on hospital day #1 when the patient was noted to have a small bowel obstruction on CT. A nasogastric tube was placed. Hematology was consulted secondary to proteinemia and an M spike on the laboratory work. A diagnosis of multiple myeloma was entertained. He underwent a bone marrow biopsy, which confirmed the diagnosis.
A repeat CT Abd/Pelvis was performed given the lack of improvement. This showed worsening dilatation of small bowel loops and a transition point in the distal ileum with thickening and mesenteric edema, and it was decided that the patient should be taken to the operating room (OR).
The patient underwent an exploratory laparotomy. No obvious transition points were observed. The small bowel appeared friable and hemorrhagic. Two enterotomies were made and the patient started bleeding profusely from within the lumen (EBL 2L). Intraoperative EGD revealed diffuse mucosal sloughing and bleeding from the duodenal mucosa. Patient's abdomen was closed with a temporary abdominal closure device.
Subsequent take-backs to the OR revealed improvement and subsequently the abdomen was closed. A biopsy taken from the stomach and duodenal mucosa showed amyloid deposition in the lamina propria and submucosal tissue of duodenum consistent with amyloidosis. He was started on high-dose steroids. Nasogastric tube decompression was continued. Despite declining IgG levels, he remained with an unresolving ileus. Following an extensive family discussion regarding the risks and benefits of any procedure, he underwent an open venting gastrostomy tube placement in hope for discharge to hospice.
During this operative procedure, dilated loops of small bowel and multiple serosal tears were again noted. Our patient did not show much improvement from his previous operations, which were well over a month ago. At the conclusion of the case, sanguinous drainage was noted from the gastrostomy tube. The patient continued to decline clinically following the gastrostomy tube placement and eventually expired.
DISCUSSION
There are two major forms of amyloidosis: primary amyloidosis (AL) and secondary amyloidosis (AA). AL amyloidosis results from deposition of immunoglobulin light chains or their fragments, produced by aberrant clone of B cells, as is the case with multiple myeloma. AA is a result of deposition of serum amyloid AA in response to inflammation. This most commonly occurs in patients with chronic inflammatory disorders, such as rheumatoid arthritis and inflammatory bowel diseases [2].
Multiple myeloma, smoldering multiple myeloma, AL amyloidosis and monoclonal gammopathy of undetermined significance (MGUS) all represent a spectrum of plasma cell disorders (PCDs). AL amyloidosis can often co-exist with either of the PCDs [4]. Previous studies have estimated that up to 10% of patients with AL may have multiple myeloma (MM) at the time of diagnosis, and only a minority of these patients will go on to develop delayed MM. On the other hand, up to 30% of MM patients may have amyloid depositions at the time of diagnosis [5].
Patients with AL amyloidosis typically present with fatigue and weight loss, and more specific symptoms depending on the main organ system involved. Amyloidosis of the GI tract can present with symptoms secondary to direct involvement of the GI tract, or from the deposition of amyloid within the autonomic nervous system. Infiltration of stomach results in prominent gastric fold, gastric outlet obstruction, ulcers or bleeding. Amyloid deposition in the muscle layers of the small bowel can manifest as malabsorption, motility issues, ulcers and bleeding. Bleeding can result from sloughing due to mucosal ischemia or from direct amyloid deposition within the blood vessels [6].
Pseudo-obstruction and/or intestinal dysmotility have been described in a small number of patients with AL and AA amyloidosis. This is often thought to be due to amyloid deposition within the smooth muscle of the small bowel (myopathy) or infiltration of the myenteric plexus (neuropathy) [7]. In 1993, Tada et al. described clinicopathological differences in main deposition patterns and chronicity of symptoms. It was suggested that AL patients typically presented with chronic pseudo-obstruction secondary to amyloid infiltration of the muscularis propria (myopathic), while AA patients typically present more acutely with acute pseudo-obstruction due to deposition of amyloid within the myenteric plexus (neuropathic) [8]. Koppelman et al. [7] however, questioned the validity of this when they reported what was believed to be the first case of AL amyloidosis that presented with acute myopathic pseudo-obstruction in 2000.
The duodenal biopsy showed extensive amyloid deposition within the lamina propria, whereas the gastric biopsy showed extensive amyloid deposition within the lamina propria. Our patient, therefore, presented with an acute intestinal pseudo-obstruction and hemorrhagic enteritis secondary to myopathic AL. In conclusion, patients with multiple myeloma and vague abdominal complaints should be worked up for amyloidosis.
ACKNOWLEDGEMENTS
Jianyi Li M.D., SICU at North Shore University Hospital, and our families for their support.
REFERENCES
- amyloid
 - amyloidosis
 - abdominal pain
 - small bowel obstruction
 - hemorrhage
 - defecation
 - enteritis
 - gastrointestinal bleeding
 - cell motility
 - immunoglobulin light chains
 - intestines
 - operating room
 - multiple myeloma
 - abdomen
 - duodenum
 - amyloidosis, secondary
 - amyloidosis, systemic
 - bone marrow biopsy
 - immunoglobulin deposition disease
 - gastric biopsy