Volume 2014, Issue 8, August 2014
Case reports
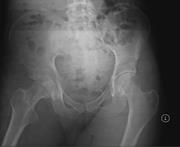
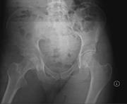
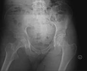
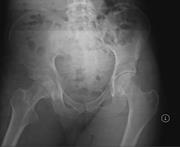
Girdlestone procedure for avascular necrosis of the hip in an intravenous drug user
Nicola Maguire and others
Journal of Surgical Case Reports, Volume 2014, Issue 8, August 2014, rju039, https://doi.org/10.1093/jscr/rju039
A histological surprise: a rare case of myoepithelial tumour of the scrotum and review of literature
Stephen Obidike and others
Journal of Surgical Case Reports, Volume 2014, Issue 8, August 2014, rju064, https://doi.org/10.1093/jscr/rju064
Vertebral discitis after laparoscopic resection rectopexy: a rare differential diagnosis
Pascal Probst and others
Journal of Surgical Case Reports, Volume 2014, Issue 8, August 2014, rju075, https://doi.org/10.1093/jscr/rju075
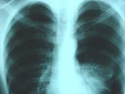
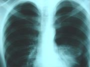
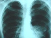
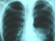
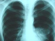
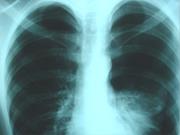
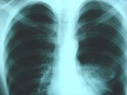
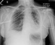
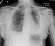
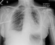
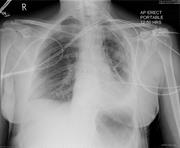
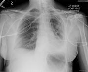
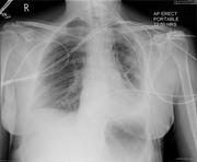
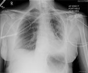
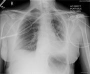
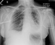
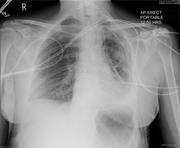
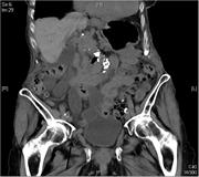
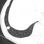
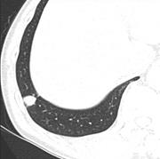
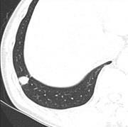
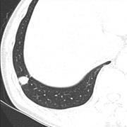
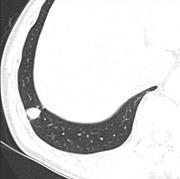
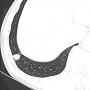
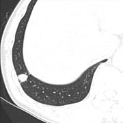
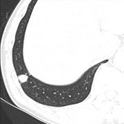
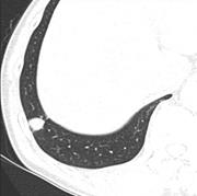
Bilateral primary spontaneous pneumothorax in an otherwise-healthy overweight young man
Anestis Hatzigeorgiadis and others
Journal of Surgical Case Reports, Volume 2014, Issue 8, August 2014, rju076, https://doi.org/10.1093/jscr/rju076
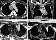
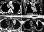
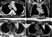
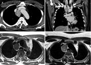
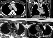
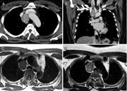
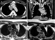
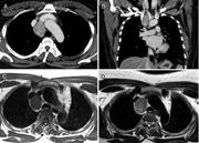
A case of a resected thymoma in the middle mediastinum
Junko Tokuno and others
Journal of Surgical Case Reports, Volume 2014, Issue 8, August 2014, rju077, https://doi.org/10.1093/jscr/rju077
Left lower lobe torsion following upper lobectomy-prompt recognition and treatment improve survival
Aiman Alassar and Adrian Marchbank
Journal of Surgical Case Reports, Volume 2014, Issue 8, August 2014, rju078, https://doi.org/10.1093/jscr/rju078
Ethanol sclerotherapy of rectal venous abnormalities in Klippel–Trenaunay syndrome
Nelson Agostinho and others
Journal of Surgical Case Reports, Volume 2014, Issue 8, August 2014, rju080, https://doi.org/10.1093/jscr/rju080
Incarcerated obturator hernia–laparoscopic repair with intraoperative view of the corona mortis
Michaela Ramser and others
Journal of Surgical Case Reports, Volume 2014, Issue 8, August 2014, rju081, https://doi.org/10.1093/jscr/rju081
Pulmonary dirofilariasis in a 59-year-old man
Tetsuya So and others
Journal of Surgical Case Reports, Volume 2014, Issue 8, August 2014, rju082, https://doi.org/10.1093/jscr/rju082
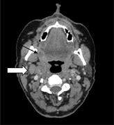
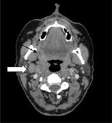
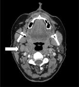
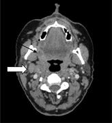
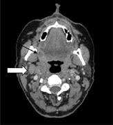
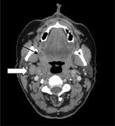
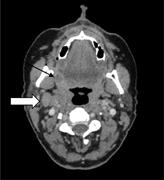
A rare case and literature review of primary neuroendocrine carcinoma of the tongue
Apresh Singla and others
Journal of Surgical Case Reports, Volume 2014, Issue 8, August 2014, rju084, https://doi.org/10.1093/jscr/rju084
Advertisement
Advertisement









