Issue navigation
Volume 2015, Issue 8, August 2015
Case reports
Post-traumatic pancreatic pseudocyst managed by Roux-en-Y drainage
Elroy P. Weledji and others
Journal of Surgical Case Reports, Volume 2015, Issue 8, August 2015, rjv094, https://doi.org/10.1093/jscr/rjv094
Laparoscopic removal of gastric band after laparoscopic gastric bypass and following placement of adjustable gastric band
Andrea Lanaia and others
Journal of Surgical Case Reports, Volume 2015, Issue 8, August 2015, rjv095, https://doi.org/10.1093/jscr/rjv095
Infected urinoma secondary to a ruptured renal calyx from a partial staghorn stone
Michelle Christodoulidou and others
Journal of Surgical Case Reports, Volume 2015, Issue 8, August 2015, rjv096, https://doi.org/10.1093/jscr/rjv096
Endometriosis causing acute appendicitis complicated with hemoperitoneum
Yuhamy Curbelo-Peña and others
Journal of Surgical Case Reports, Volume 2015, Issue 8, August 2015, rjv097, https://doi.org/10.1093/jscr/rjv097
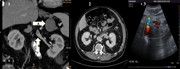
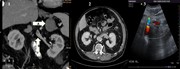
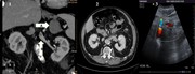
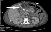
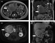
Left adrenal tumor extending into the renal vein: surgical management with ipsilateral kidney preservation
Arnaud Doerfler and others
Journal of Surgical Case Reports, Volume 2015, Issue 8, August 2015, rjv098, https://doi.org/10.1093/jscr/rjv098
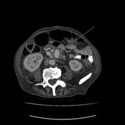
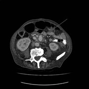
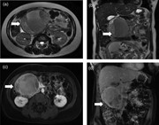
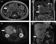
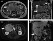
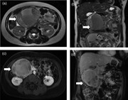
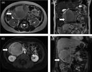
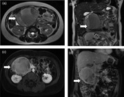
A case of a huge gastroepiploic arterial aneurysm
Hirokuni Ikeda and others
Journal of Surgical Case Reports, Volume 2015, Issue 8, August 2015, rjv100, https://doi.org/10.1093/jscr/rjv100
Acute and chronic acalculous cholecystitis associated with aortic dissection
Fuyuki F. Inagaki and others
Journal of Surgical Case Reports, Volume 2015, Issue 8, August 2015, rjv101, https://doi.org/10.1093/jscr/rjv101
Ileo-ileal knotting as an uncommon cause of acute intestinal obstruction
Engida Abebe and others
Journal of Surgical Case Reports, Volume 2015, Issue 8, August 2015, rjv102, https://doi.org/10.1093/jscr/rjv102
Technique to manage persistent leak from a prepyloric ulcer where a distal gastrectomy is not appropriate
Kirk Bowling and others
Journal of Surgical Case Reports, Volume 2015, Issue 8, August 2015, rjv103, https://doi.org/10.1093/jscr/rjv103
Chilaiditi's sign secondary to Richter's hernia or Chilaiditi's syndrome?
Vikal Chandra Shakya
Journal of Surgical Case Reports, Volume 2015, Issue 8, August 2015, rjv104, https://doi.org/10.1093/jscr/rjv104
Piriformis muscle syndrome: a recurrent case after surgical release
Ali Haghnegahdar and others
Journal of Surgical Case Reports, Volume 2015, Issue 8, August 2015, rjv105, https://doi.org/10.1093/jscr/rjv105
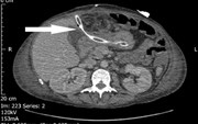
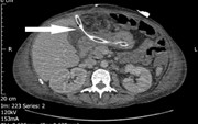
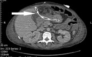
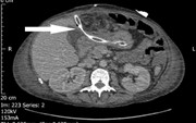
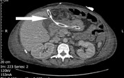
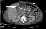
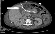
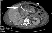
Cryptogenic mycotic aneurysm of the superior mesenteric artery
Ali Kordzadeh and others
Journal of Surgical Case Reports, Volume 2015, Issue 8, August 2015, rjv106, https://doi.org/10.1093/jscr/rjv106
Solid pseudopapillary neoplasm of the pancreas head in a pregnant woman: safe pancreaticoduodenectomy postpartum
Alisa M. Yee and others
Journal of Surgical Case Reports, Volume 2015, Issue 8, August 2015, rjv108, https://doi.org/10.1093/jscr/rjv108
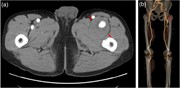
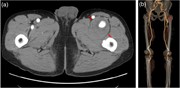
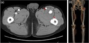
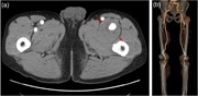
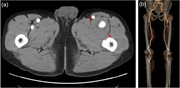
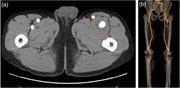
A case of deep femoral artery aneurysm
Hirokuni Ikeda and others
Journal of Surgical Case Reports, Volume 2015, Issue 8, August 2015, rjv111, https://doi.org/10.1093/jscr/rjv111
Advertisement
Advertisement













