-
PDF
- Split View
-
Views
-
Cite
Cite
Hirokuni Ikeda, Masahiko Takeo, Ryuuichi Mikami, Mistuo Yamamoto, A case of a huge gastroepiploic arterial aneurysm, Journal of Surgical Case Reports, Volume 2015, Issue 8, August 2015, rjv100, https://doi.org/10.1093/jscr/rjv100
Close - Share Icon Share
Abstract
An 85-year-old man complaining of vague abdominal discomfort was admitted to our hospital. A pulsatile 8 × 7-cm mass in the right upper abdomen was noticed on clinical examination. Computed tomography of the abdomen showed a huge arterial aneurysm in the right gastroepiploic artery, and the left gastroepiploic artery was meandering and expanding. An image diagnosis of gastroepiploic arterial aneurysm (GEAA) was made. Because of the huge size of the aneurysm and the predicted high risk of perforation, surgical intervention was planned. The aneurysm was identified in the greater curve and was found to adhere firmly to the transverse colon. Partial resection of the stomach, aneurysmectomy and partial resection of the transverse colon were performed. Clinically, splanchnic arterial aneurysms are rare. Among them, GEAA is especially rare. We report a rare case of a huge GEAA that was treated successfully by surgery.
INTRODUCTION
Clinically, splanchnic arterial aneurysms are rare. Among them, gastroepiploic arterial aneurysm (GEAA) is especially rare [1, 2]. The risk of rupture of GEAA is high, and GEAA rupture is associated with a high mortality rate [3]. Most commonly, GEAA is identified after rupture or as a result of other secondary complications. Here, we report a rare case of a huge GEAA that was diagnosed preoperatively without any complications and that was treated successfully by surgery.
CASE REPORT
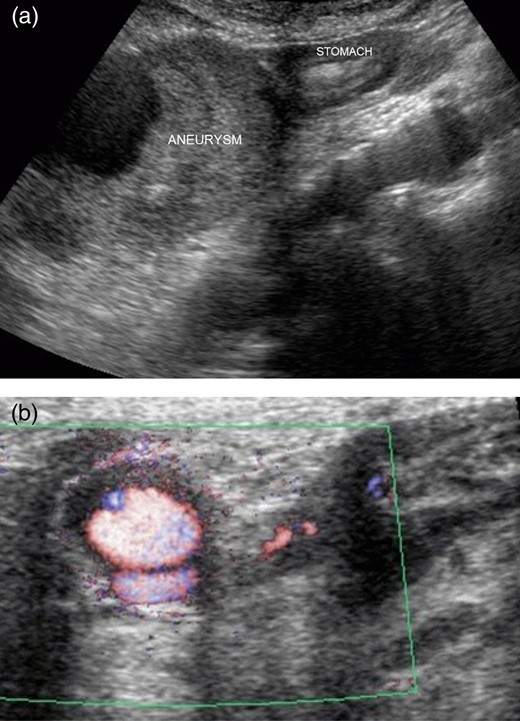
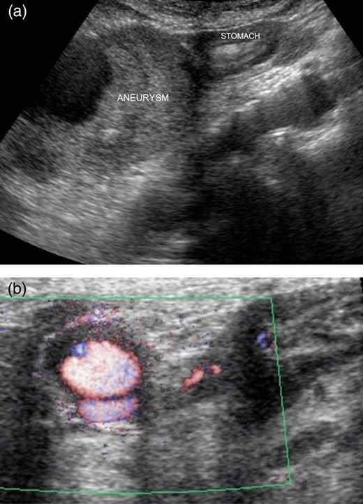
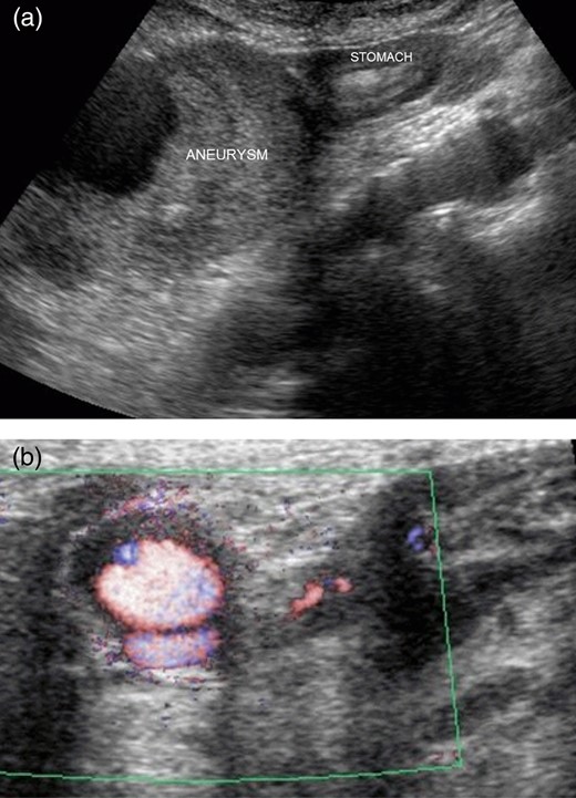
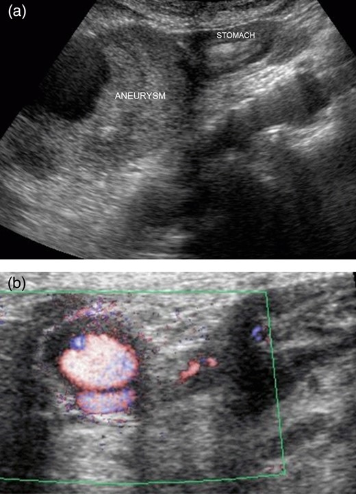
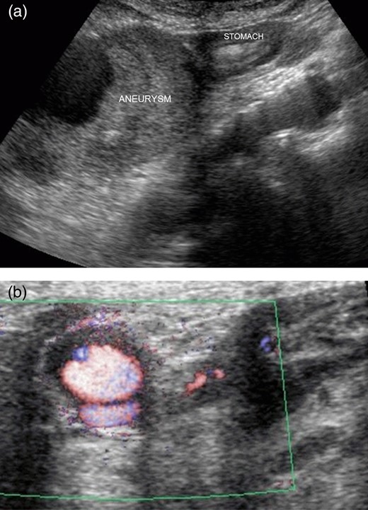
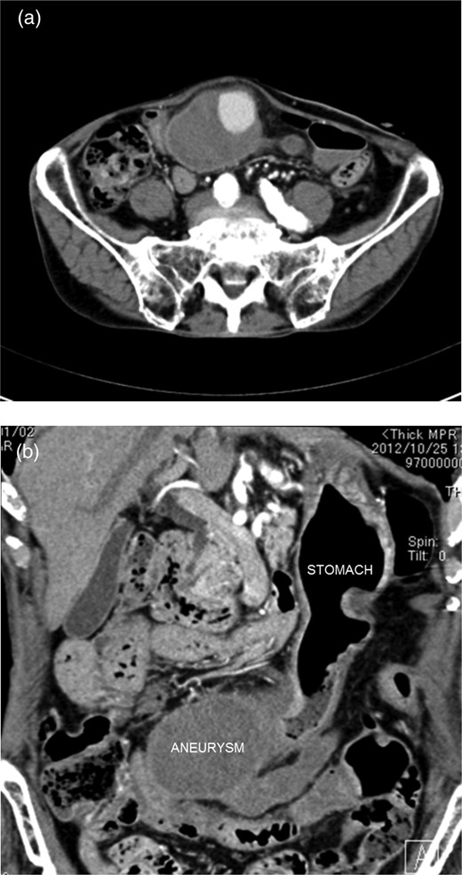
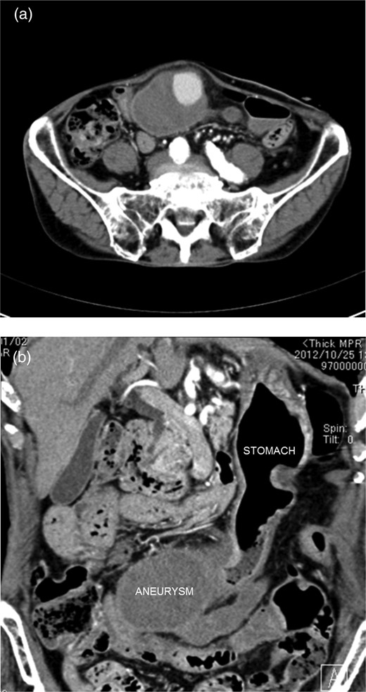
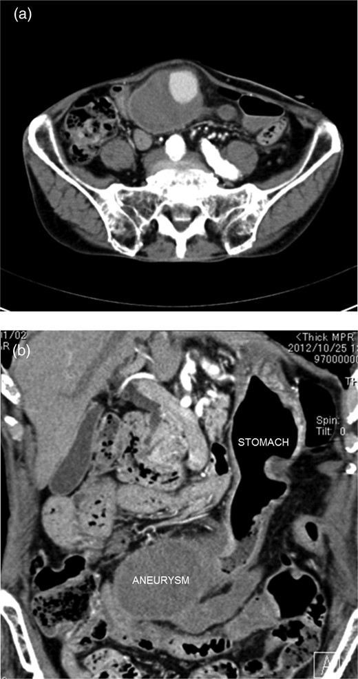
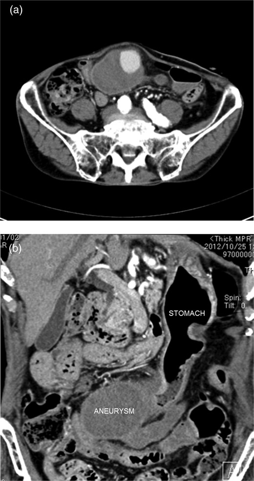
An 85-year-old man complaining of vague abdominal discomfort was admitted to our hospital. He had a medical history of arterial hypertension. Upon admission, his general status was stable. A pulsatile 8 × 7-cm mass in the right upper abdomen was noticed on clinical examination. Abdominal arterial aneurysm was diagnosed, and imaging studies were performed. Abdominal ultrasonography showed that the mass was present on the border of the greater curvature of the stomach, and blood flow was observed inside it (Fig. 1a and b). The mass was not connected to the abdominal artery. Computed tomography of the abdomen showed a huge arterial aneurysm in the right gastroepiploic artery, and the left gastroepiploic artery was meandering and expanding (Fig. 2a and b). There was no bleeding or ascites in abdominal cavity. Accordingly, an image diagnosis of GEAA was made. Because of the huge size of the aneurysm and the predicted high risk of perforation, surgical intervention was planned.

(a) Abdominal ultrasonography showed that the mass was present on the border of the greater curvature of the stomach. (b) Blood flow was observed inside the mass.

Computed tomography of the abdomen showed a huge arterial aneurysm in the right gastroepiploic artery.
Laparotomy was performed through a midline incision. The aneurysm was easily identified in the greater curvature of the stomach (Fig. 3) and was found to adhere firmly to the transverse colon. Partial resection of the stomach, aneurysmectomy and partial resection of the transverse colon were performed. These organs were resected en bloc. The right gastroepiploic artery was ligated and cut at the root. The expanded left gastroepiploic artery was also resected. The resected aneurysm was 7.1 × 7.0 × 6.8 cm in size, and the aneurysmal sacs contained mural thrombi. There were no other feeder vessels to the aneurysm apart from the gastroepiploic artery. Pathological examination of the specimen showed atherosclerosis in the vascular wall.

The aneurysm was easily identified in the greater curvature of the stomach and was found to adhere firmly to the transverse colon.
The patient had an uneventful postoperative recovery and was discharged to home on Day 12 after the surgery.
DISCUSSION
Splanchnic artery aneurysms are the rarest of all aneurysms of the arterial system, and GEAA accounts for only ∼4% of all splanchnic artery aneurysms [1, 2]. GEAA is not associated with any characteristic symptoms and is often diagnosed incidentally. The risk of rupture is high, and rupture is associated with a high mortality rate [3]. The previously reported huge GEAAs were found after rupture or other secondary complications [1, 4]. Thus, we considered our case as extremely rare because it was found in the absence of any noticeable complication and was treated safely and effectively.
In this case, laparotomy was selected as the surgical procedure. Aneurysmectomy and surrounding structure resections could be performed safely, and we hence considered the decision as appropriate. Due to the high rupture risk, GEAA must be treated promptly upon diagnosis. With the recent advancements in imaging study technology, cases of early diagnosis of GEAA have been reported [5, 6]. In these cases, laparoscopic aneurysmectomy or an endovascular procedure was performed as minimally invasive treatment [5, 7].
To identify the cause of aneurysms, pathological examination of the resected specimen is necessary, particularly since the aneurysm may be only part of a crucial disease. Arteriosclerosis, trauma, infection, congenial vascular anomaly and segmental arterial mediolysis are recognized as causes of splanchnic artery aneurysms [8]. However, the lesion in our case was confirmed to be a true aneurysm by pathological examination.
In conclusion, huge GEAAs found without any observed complications are extremely rare. Because of the rarity of GEAAs, little is known about the surgical findings or indications for intervention. In this case, we established the definitive diagnosis preoperatively and successfully performed surgical resection.
CONFLICT OF INTEREST STATEMENT
None declared.