Issue navigation
Volume 2013, Issue 1, January 2013
Case Reports
Rare case of concurrent intussusception and volvulus after Roux-en-Y gastric bypass for morbid obesity
Marilyn Ng and others
Journal of Surgical Case Reports, Volume 2013, Issue 1, January 2013, rjs018, https://doi.org/10.1093/jscr/rjs018
The twisted diversion: a paralyzing complication
Kenneth Hiew and others
Journal of Surgical Case Reports, Volume 2013, Issue 1, January 2013, rjs027, https://doi.org/10.1093/jscr/rjs027
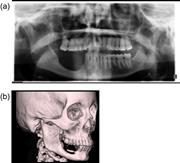
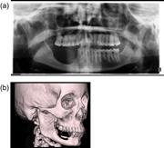
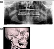
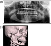
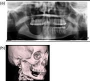
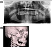
Surgical repair of a mandibular bony defect following the removal of an amelobalstoma
Kandi Ejiofor
Journal of Surgical Case Reports, Volume 2013, Issue 1, January 2013, rjs028, https://doi.org/10.1093/jscr/rjs028
Solitary isolated neurofibroma of the soft palate
Aliyu M. Kodiya and others
Journal of Surgical Case Reports, Volume 2013, Issue 1, January 2013, rjs029, https://doi.org/10.1093/jscr/rjs029
A presentation of facial necrotizing fasciitis with orbital involvement
Peter McAllister and others
Journal of Surgical Case Reports, Volume 2013, Issue 1, January 2013, rjs033, https://doi.org/10.1093/jscr/rjs033
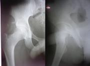
A rare case of open anterior hip dislocation
Akhil A. Tawari and others
Journal of Surgical Case Reports, Volume 2013, Issue 1, January 2013, rjs035, https://doi.org/10.1093/jscr/rjs035
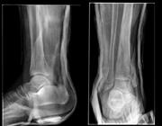
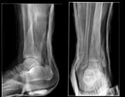
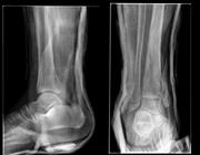
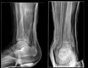
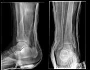
PHILOS humerus plate for a distal tibial fracture
Haider Twaij and Dev Damany
Journal of Surgical Case Reports, Volume 2013, Issue 1, January 2013, rjs036, https://doi.org/10.1093/jscr/rjs036
Abdominal wall abscess containing gallstones as a late complication to laparoscopic cholecystectomy performed 17 years earlier
Anders Mark Christensen and Mads Mark Christensen
Journal of Surgical Case Reports, Volume 2013, Issue 1, January 2013, rjs038, https://doi.org/10.1093/jscr/rjs038
Duodenal rupture secondary to blunt trauma from a football
Alison Luther and others
Journal of Surgical Case Reports, Volume 2013, Issue 1, January 2013, rjs041, https://doi.org/10.1093/jscr/rjs041
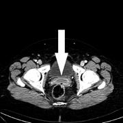
Ulnar nerve compression in Guyon's canal: MRI does not always have the answer
James Paget and others
Journal of Surgical Case Reports, Volume 2013, Issue 1, January 2013, rjs043, https://doi.org/10.1093/jscr/rjs043
A rare cause of gastrointestinal haemorrhage: gastric invasion by hepatocellular carcinoma
Winson Jianhong Tan and others
Journal of Surgical Case Reports, Volume 2013, Issue 1, January 2013, rjs050, https://doi.org/10.1093/jscr/rjs050
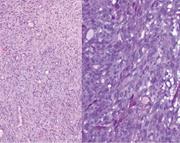
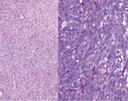
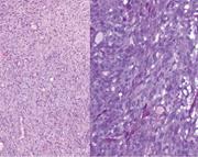
Post radiation myofibrosarcoma of hypopharynx
T.S. Korampalli and others
Journal of Surgical Case Reports, Volume 2013, Issue 1, January 2013, rjs049, https://doi.org/10.1093/jscr/rjs049
Advertisement
Advertisement











