-
PDF
- Split View
-
Views
-
Cite
Cite
Haider Twaij, Dev Damany, PHILOS humerus plate for a distal tibial fracture, Journal of Surgical Case Reports, Volume 2013, Issue 1, January 2013, rjs036, https://doi.org/10.1093/jscr/rjs036
Close - Share Icon Share
Abstract
This report discusses the use of an alternative implant in the emergency fixation of a distal tibial fracture. We planned to fix the shear-type medial malleolar fracture in a closed, tri-malleolar fracture with a locking distal tibial plate. Intra-operatively, it was noted that the required plate was unavailable. A PHILOS humeral plate seemed to fit the contours of the distal tibia. The broad end of the PHILOS, when placed distally, gave options to place locking screws in the medial malleolar fragment. The fracture was stable after fixation. The patient made a full post-operative recovery and follow-up at 4 months was satisfactory. Despite adequate planning, there will be instances where one has to improvise. An understanding of the principles of fracture management can aid in finding solutions. PHILOS humeral plate may be used to stabilize a distal tibial fracture if an appropriate distal tibial locking plate is not available.
INTRODUCTION
Ankle fractures are among the most common fracture injury and, if not managed correctly, can be debilitating in the long term. The most common ankle fracture is an isolated malleolar fracture that represents 66% of all ankle fractures. Bi-malleolar fractures account for 25% with the remainder being tri-malleolar [1].
Management of these varies depending on the severity, stability and pattern of fracture. Options can range from conservative management (plaster of Paris) to external fixation; especially in the case of an open fracture. Unfortunately, the ideal fixation option is not always an available option, this can be second to a lack of skills or resources. Stock problems, equipment availability ordering errors and expertize can all affect either the choice of management or method of fixation.
This case report describes the use of a 3.5 mm LCP® Proximal Humerus plate for the fixation of a distal tibia fracture.
CASE REPORT
A 51-year-old Afro-Caribbean man sustained a traumatic, closed, tri-malleolar fracture dislocation of his right ankle after falling down 10 steps under the influence of alcohol. He was otherwise fit and well; he is a smoker of 3 per day with occasional binge drinking habits. He was neurovascularly intact; his fracture was reduced in A&E with adequate analgesia before radiographs were taken. He had a lateral malleolar fracture with a vertical shear of the medial malleolus and comminution at the joint line. The fracture may be classified as a Weber A, or Lauge Hansen type 2 (Fig. 1).

AP and lateral radiographs of the fracture post-reduction and immobilization.
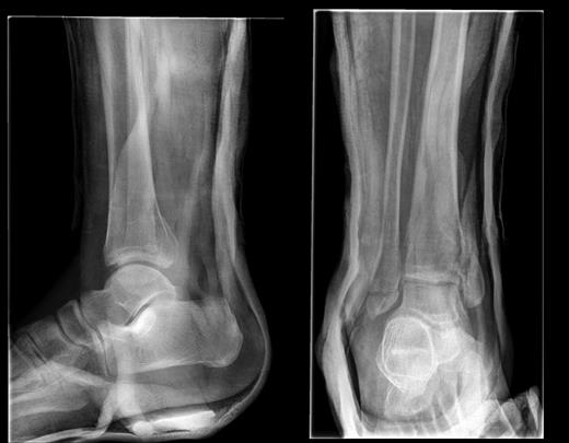
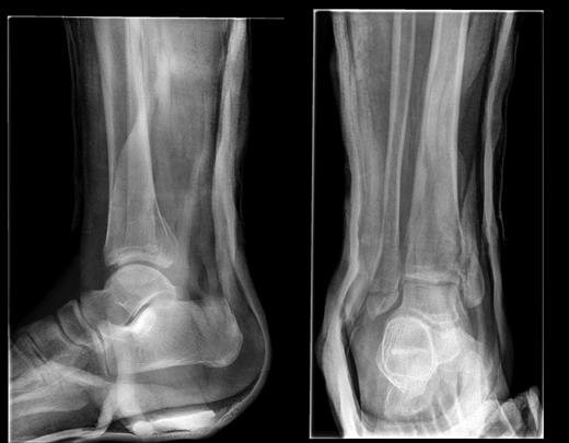
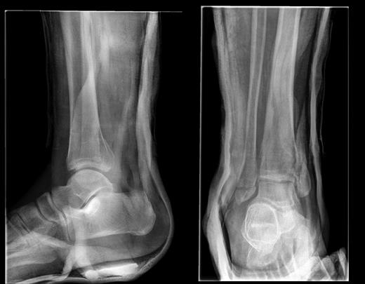
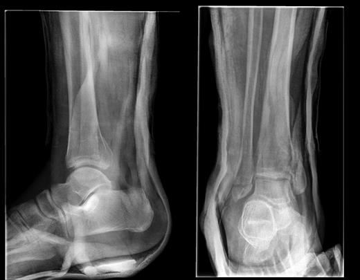
The fracture was unstable and required fixation, but due to extensive soft tissue damage and swelling and a lack of sickle cell testing, the operation was delayed for 6 days (Fig. 2). The operation was performed under a General Anaesthetic with Popliteal Block with the patient supine and a sandbag placed under the right buttock. A tourniquet was applied and a lateral approach to the fibula was taken with standard washout and fracture reduction achieved. The distal fibular fracture was fixed using three partially threaded cancellous screws.

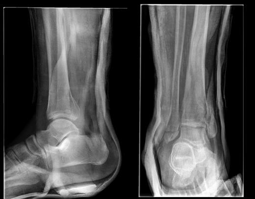
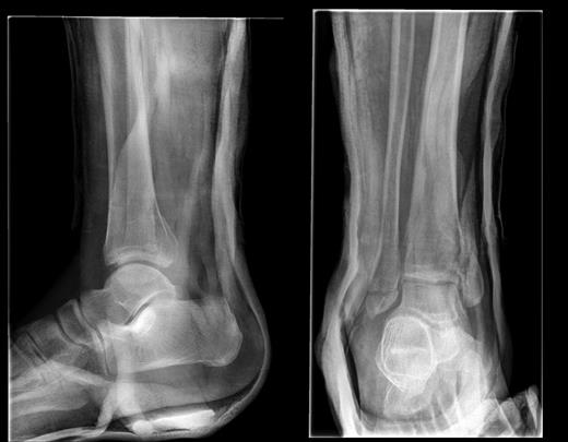
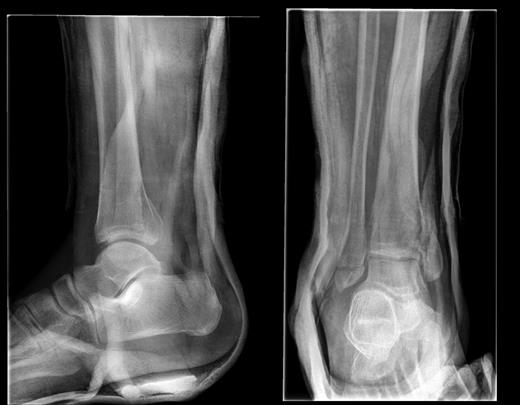
The distal tibia was approached via a direct medial approach. This revealed an extensively comminuted fracture extending proximally. The fracture site was identified, reduced and held in place with 2 × 2.0 mm k-wires. This medial fracture was not amenable to screw fixation or tension band wiring; an LCP plate was applied which did not have an adequate fit. A four-hole medial distal tibial LCP was not available. The next alternative was to use a PHILOS plate as it appeared to fit the contours appropriately. An intraoperative decision was made to use a 3.5 mm LCP® Proximal Humerus Plate (PHILOS) plate. The plate fit the distal tibial contours well once the fracture was reduced. Three proximal non-locking cortical screws and multiple distal locking screws were applied producing a stable construct (Fig. 2).
The wounds were then washed out with normal saline and closed with 2–0 Vicryl to deep tissue, and interrupted 3–0 ethilon to skin. Gelonet and non-adhesive dressings were covered with crepe and a backslab.
Post-operatively, antibiotics were prescribed as per local hospital protocol (two further doses of flucloxacillin) and 48 h of strict elevation. The patient was instructed to remain non-weight bearing (NWB) for 6 weeks.
There were no concerns on Day 1 post-operatively, with minimal pain and warm peripheries. There were some residual effects of the block with reduced sensation on the right foot. The patient was discharged 2 days post-operatively once he was mobilizing safely NWB, he was requested to return to clinic.
A review of the operative wound 1 week post-operatively showed a mildly inflamed medial wound which was treated with oral flucloxacillin (250 mg QDS) for 1 week. The patient re-attended as an ‘in trouble’ case 5 days later complaining of worsening pain. The wounds were reviewed and both the lateral and medial wounds looked good and the cast was replaced to a below knee POP.
The next clinic was over 7 weeks following surgery. At this point, the cast was removed revealing well-healed wounds. Understandably, his ankle was stiff and X-rays showed an odd-looking cystic area in the distal tibia. He was referred on to physiotherapy and reviewed 6 weeks later. The cystic lesion noted previously had settled and he had regained his range of motion, mobilizing well with one crutch when outside the home only. At this point, there remained only some residual swelling in his right ankle which was not causing any functional problems.
He is due a final review in 4 months.
DISCUSSION
In our review of the literature, the only use of the PHILOS plate in the ankle was for ankle arthrodesis [2], other uses were limited to the shoulder.
Locking plate technology, advances in prostheses and fixation methods have changed the way we look at fractures. The principle of holding a fracture in place with locking screws and plates means that the distance of the plate from the bone is less important, in contrast to the importance of adequate proximal and distal hold [3]. The stable monoblock is achieved by threading of the screws into the plate and the bone. Although the locking plate does not need to be opposed to the bone with these prostheses, problems may occur if it is not close enough. Any prostheses too big or distant from the ankle will result in difficult closures, tenting skin and wound-healing problems.
The other difficulty faced by the trauma surgeon is in today's NHS is the financial implications of prostheses and stock management. It is becoming more prevalent for stock to be ordered ‘just-in-time’ as a means of reducing stock costs. This can easily result in the wrong prosthesis being ordered, or the appropriate stock not being available.
From this report, it can be seen that in situations where the appropriate prosthesis is not available, either as a result of changes second to austerity, or reduced stock, alternatives need to be considered. A PHILOS plate is an acceptable substitute for distal tibial fracture fixation in cases where other equipment is unavailable, but its use in this setting has to be undertaken in exceptional circumstances and not as a routine. It is not a substitute for using the right device.