Issue navigation
Volume 2013, Issue 2, February 2013
Case Reports
Pericecal hernia: a rare form of internal hernias
Svetlana Kleyman and others
Journal of Surgical Case Reports, Volume 2013, Issue 2, February 2013, rjs021, https://doi.org/10.1093/jscr/rjs021
Internal iliac aneurysm presenting with lower back pain, sciatica and foot drop
Rohit Singh and others
Journal of Surgical Case Reports, Volume 2013, Issue 2, February 2013, rjs032, https://doi.org/10.1093/jscr/rjs032
Poly implant breast implants (PIP) and the rupture risk in asymptomatic patients: a warning for greater clinician suspicion in assessment and counselling
Senthurun Mylvaganam and others
Journal of Surgical Case Reports, Volume 2013, Issue 2, February 2013, rjs044, https://doi.org/10.1093/jscr/rjs044
Beware: the inguinoscrotal hernia with urological origins
Robert Tyler and others
Journal of Surgical Case Reports, Volume 2013, Issue 2, February 2013, rjt001, https://doi.org/10.1093/jscr/rjt001
A case of metaplastic breast cancer in a man
James Geoffrey Barr and others
Journal of Surgical Case Reports, Volume 2013, Issue 2, February 2013, rjs047, https://doi.org/10.1093/jscr/rjs047
Nasopharyngeal amyloidosis: an unusual cause of unilateral hearing loss
A.H. Mirza and others
Journal of Surgical Case Reports, Volume 2013, Issue 2, February 2013, rjs048, https://doi.org/10.1093/jscr/rjs048
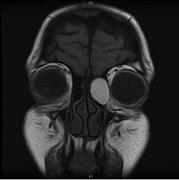
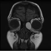
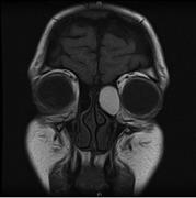
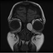
Lacrimal sac compression by an anterior ethmoidal mucocele presenting as a late complication of dacryocystorhinostomy
Oladejo Olaleye and others
Journal of Surgical Case Reports, Volume 2013, Issue 2, February 2013, rjt002, https://doi.org/10.1093/jscr/rjt002
Upper limb gangrene following intramuscular diclofenac: a rare side effect
Ranendra Hajong
Journal of Surgical Case Reports, Volume 2013, Issue 2, February 2013, rjs039, https://doi.org/10.1093/jscr/rjs039
Oesophageal stent migration following Billroth I gastrectomy: an unusual cause of small bowel obstruction
Morgan Quinn and David Luke
Journal of Surgical Case Reports, Volume 2013, Issue 2, February 2013, rjt004, https://doi.org/10.1093/jscr/rjt004
A case of hypospadias, anterior and posterior urethral valves
James Carvell and Roopa Mulik
Journal of Surgical Case Reports, Volume 2013, Issue 2, February 2013, rjt003, https://doi.org/10.1093/jscr/rjt003
Inflammatory fibroid polyp presenting as intussusception
Tennika M. Jacobs and Andreas L. Lambrianides
Journal of Surgical Case Reports, Volume 2013, Issue 2, February 2013, rjt005, https://doi.org/10.1093/jscr/rjt005
A rare case of tumor-to-tumor metastasis: breast cancer metastatic to a benign renal mass
Emilia Diego and Kandace P McGuire
Journal of Surgical Case Reports, Volume 2013, Issue 2, February 2013, rjt006, https://doi.org/10.1093/jscr/rjt006
Advertisement
Advertisement










