Issue navigation
Volume 2012, Issue 12, December 2012
Case Reports
A rare cause of faecal peritonitis: jejunal perforation in a patient undergoing treatment for pulmonary tuberculosis
Sheena Patel and others
Journal of Surgical Case Reports, Volume 2012, Issue 12, December 2012, rjs014, https://doi.org/10.1093/jscr/rjs014
Caecum herniation through the Foramen of Winslow
Sarah F. Powell-Brett and others
Journal of Surgical Case Reports, Volume 2012, Issue 12, December 2012, rjs016, https://doi.org/10.1093/jscr/rjs016
Direct nerve suture and knee immobilization in 90° flexion as a technique for treatment of common peroneal, tibial and sural nerve injuries in complex knee trauma
Robert Döring and others
Journal of Surgical Case Reports, Volume 2012, Issue 12, December 2012, rjs019, https://doi.org/10.1093/jscr/rjs019
An unusual case of bilateral verrucous carcinoma of the foot (epithelioma cuniculatum)
Kary Suen and others
Journal of Surgical Case Reports, Volume 2012, Issue 12, December 2012, rjs020, https://doi.org/10.1093/jscr/rjs020
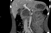
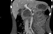
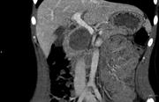
An unusual presentation of a solid pseudopapillary pancreatic tumor
Christopher Månsson and Britt-Marie Karlson
Journal of Surgical Case Reports, Volume 2012, Issue 12, December 2012, rjs022, https://doi.org/10.1093/jscr/rjs022
Massive traumatic abdominal hernia repair with biologic mesh
Simon R. Davey and others
Journal of Surgical Case Reports, Volume 2012, Issue 12, December 2012, rjs023, https://doi.org/10.1093/jscr/rjs023
Ectopic gynaecomastia on the inner aspect of the thigh in an otherwise healthy man
Ramsay George and others
Journal of Surgical Case Reports, Volume 2012, Issue 12, December 2012, rjs025, https://doi.org/10.1093/jscr/rjs025
Congenital cholesteatoma presenting with Luc's abscess
Kalimuthu Santhi and others
Journal of Surgical Case Reports, Volume 2012, Issue 12, December 2012, rjs026, https://doi.org/10.1093/jscr/rjs026
Ectopic parapharyngeal meningioma: diagnosis of a rare entity on FNAC
Sanjay Kumar and others
Journal of Surgical Case Reports, Volume 2012, Issue 12, December 2012, rjs024, https://doi.org/10.1093/jscr/rjs024
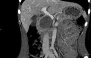
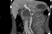
Transection of left common pulmonary vein during left upper lobectomy: how should it be reconstructed?
Tetsuya Endo and others
Journal of Surgical Case Reports, Volume 2012, Issue 12, December 2012, rjs030, https://doi.org/10.1093/jscr/rjs030
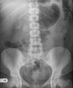
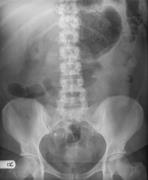
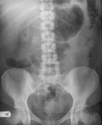
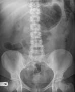
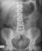
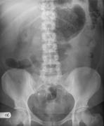
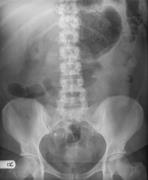
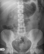
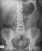
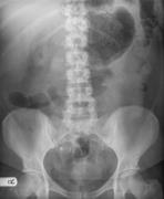
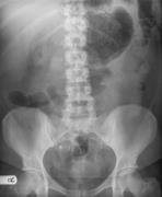
A rare cause of bowel obstruction in pregnancy
Yingda Li and others
Journal of Surgical Case Reports, Volume 2012, Issue 12, December 2012, rjs034, https://doi.org/10.1093/jscr/rjs034
Advertisement
Advertisement









